相关产品推荐更多 >

phospho-EIF2S1 (Ser51) Recombinant Rabbit mAb(bsm-52306R)-50ul/100ul/25ul
¥800
CD200R Rabbit pAb(bs-7351R)-50ul/100ul/200ul
¥1180
BCL2L13 Rabbit pAb, HRP conjugated(bs-7584R-HRP)-100ul
¥2980
IGF2 Rabbit pAb, APC conjugated(bs-0015R-APC)-100ul
¥2980
Band3 Rabbit pAb, FITC conjugated(bs-7620R-FITC)-100ul
¥2980
万千商家帮你免费找货
0 人在求购买到急需产品
- 详细信息
- 文献和实验
- 技术资料
- 应用范围:
产品信息以Bioss网站为准
- 规格:
50ul/100ul/200ul
| 规格: | 50ul | 产品价格: | ¥1180.0 |
|---|---|---|---|
| 规格: | 100ul | 产品价格: | ¥1980.0 |
| 规格: | 200ul | 产品价格: | ¥2800.0 |
| 产品编号 | bs-20187R |
| 英文名称 | Dematin Rabbit pAb |
| 中文名称 | 红细胞膜带4.9蛋白抗体 |
| 英文别名 | DEMA; DEMA_HUMAN; Dematin; DMT; EPB49; erythrocyte membrane protein band 4.9(dematin); Erythrocyte membrane protein band 4.9. |
| 产品应用 | IHC-P=1:100-500, IHC-F=1:100-500, IF=1:100-500 Not yet tested in other applications. |
| 交叉反应 | Human |
| 抗体来源 | Rabbit |
| 免疫原 | KLH conjugated synthetic peptide derived from human Dematin |
| 亚型 | IgG |
| 性状 | Liquid |
| 纯化方法 | affinity purified by Protein A |
| 克隆类型 | Polyclonal |
| 理论分子量 | 45 kDa |
| 浓度 | 1mg/ml |
| 储存液 | 0.01M TBS (pH7.4) with 1% BSA, 0.02% Proclin300 and 50% Glycerol. |
| 亚基 | Monomeric (isoform 2); under reducing conditions. Self-associates. Exists under oxidizing condition as a trimer of two isoforms 2 and isoform 1 linked by disulfide bonds (Probable). Found in a complex with DMTN, F-actin and spectrin. Found in a complex with ADD2, DMTN and SLC2A1. Interacts with F-actin, ITPKB, RASGRF2 and spectrin. Isoform 2 interacts with SLC2A1 (via C-terminus cytoplasmic region). Isoform 1 and isoform 2 interact (phosphorylated form) with plasmodium berghei 14-3-3 protein; the interaction occurs in a PKA-dependent manner. |
| 亚细胞定位 | Cytoplasm. Cytoplasm, cytosol. Cytoplasm, perinuclear region. Cytoplasm, cytoskeleton. Cell membrane. Membrane. Endomembrane system. Cell projection. Note=Localized at the spectrin-actin junction of erythrocyte plasma membrane. Localized to intracellular membranes and the cytoskeletal network. Localized at intracellular membrane-bounded organelle compartment in platelets that likely represent the dense tubular network membrane. Detected at the cell membrane and at the parasitophorous vacuol in malaria-infected erythrocytes at late stages of plasmodium berghei or falciparum development. |
| 组织特异性 | Expressed in platelets (at protein level). Expressed in heart, brain, lung, skeletal muscle, and kidney. |
| 翻译后修饰 | Phosphorylated. Phosphorylation at Ser-403 by PKA causes the C-terminal headpiece domain to associate with the N-terminal core domain, and leads to the inhibition of its actin bundling activity.
The N-terminus is blocked. |
| 相似性 | Belongs to the villin/gelsolin family.
Contains 1 HP (headpiece) domain. |
| 功能 | Membrane-cytoskeleton-associated protein with F-actin-binding activity that induces F-actin bundles formation and stabilization. Its F-actin-bundling activity is reversibly regulated upon its phosphorylation by the cAMP-dependent protein kinase A (PKA). Binds to the erythrocyte membrane glucose transporter-1 SLC2A1/GLUT1, and hence stabilizes and attaches the spectrin-actin network to the erythrocytic plasma membrane. Plays a role in maintaining the functional integrity of PKA-activated erythrocyte shape and the membrane mechanical properties. Plays also a role as a modulator of actin dynamics in fibroblasts; acts as a negative regulator of the RhoA activation pathway. In platelets, functions as a regulator of internal calcium mobilization across the dense tubular system that affects platelet granule secretion pathways and aggregation. Also required for the formation of a diverse set of cell protrusions, such as filopodia and lamellipodia, necessary for platelet cell spreading, motility and migration. Acts as a tumor suppressor and inhibits malignant cell transformation. |
| 保存条件 | Shipped at 4℃. Store at -20℃ for one year. Avoid repeated freeze/thaw cycles. |
| 注意事项 | This product as supplied is intended for research use only, not for use in human, therapeutic or diagnostic applications. |
| 背景资料 | The protein encoded by this gene is an actin binding and bundling protein that plays a structural role in erythrocytes, by stabilizing and attaching the spectrin/actin cytoskeleton to the erythrocyte membrane in a phosphorylation-dependent manner. This protein contains a core domain in the N-terminus, and a headpiece domain in the C-terminus that binds F-actin. When purified from erythrocytes, this protein exists as a trimer composed of two 48 kDa polypeptides and a 52 kDa polypeptide. The different subunits arise from alternative splicing in the 3' coding region, where the headpiece domain is located. Disruption of this gene has been correlated with the autosomal dominant Marie Unna hereditary hypotrichosis disease, while loss of heterozygosity of this gene is thought to play a role in prostate cancer progression. Alternative splicing results in multiple transcript variants encoding different isoforms. [provided by RefSeq, Nov 2014] |
| 应用 | 推荐稀释比例 |
| {IHC-P} | {1:100-500} |
| {IHC-F} | {1:100-500} |
| {IF} | {1:100-500} |

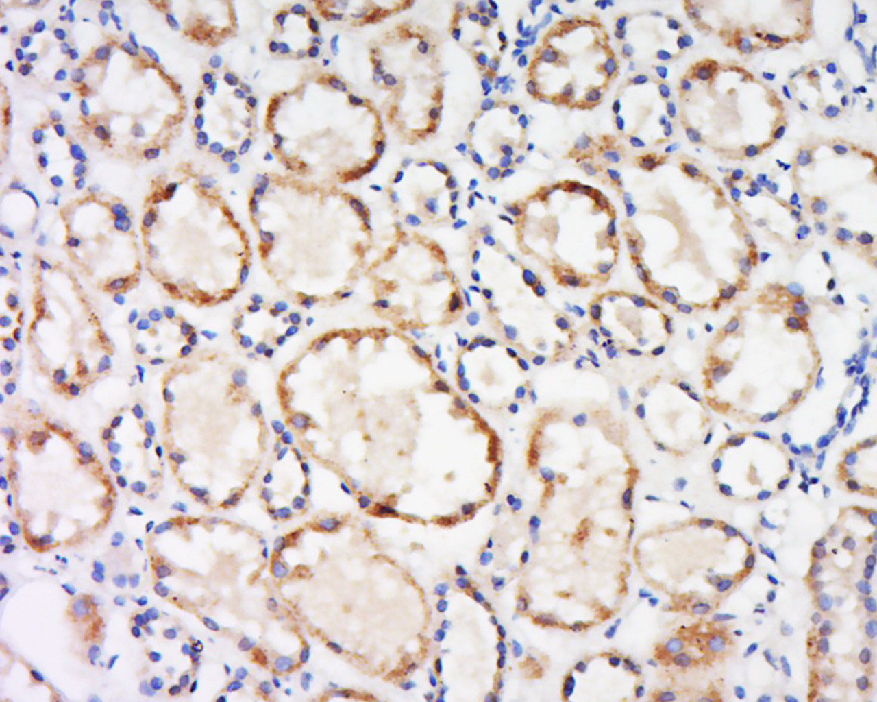
Antigen retrieval: citrate buffer ( 0.01M, pH 6.0 ), Boiling bathing for 15min; Block endogenous peroxidase by 3% Hydrogen peroxide for 30min; Blocking buffer (normal goat serum,C-0005) at 37℃ for 20 min;
Incubation: Anti-Dematin Polyclonal Antibody, Unconjugated(bs-20187R) 1:500, overnight at 4°C, followed by conjugation to the secondary antibody(SP-0023) and DAB(C-0010) staining
风险提示:丁香通仅作为第三方平台,为商家信息发布提供平台空间。用户咨询产品时请注意保护个人信息及财产安全,合理判断,谨慎选购商品,商家和用户对交易行为负责。对于医疗器械类产品,请先查证核实企业经营资质和医疗器械产品注册证情况。
文献和实验= NAL), appears to form upon oxidative cyclization of the nonfluorescent 2:1 lysine-HNE Michael adduct-Schiff base cross-link (Scheme 1). Polyclonal antibody (PAb) to the NAL-HNE fluorophore was raised in rabbit and found to be highly specific
GE Healthcare Benzamidine Sepharose™ 6B is p-aminobenzamidine covalently attached to Sepharose 6B by the epoxy coupling method. p-Aminobenzamidine (PAB), is a synthetic inhibitor of trypsin-like serine protease. Trypsin and trypsin
Nucleic Acid Programmable Protein Arrays: Versatile Tools for Array‐Based Functional Protein Studies
.g., Sigma) 50 mg/ml bis‐sulfosuccinimdylsuberate (BS3 ;Pierce, cat. no. PI 21580) in dimethylsulfoxide (DMSO) 5 mg/ml
技术资料暂无技术资料 索取技术资料






