相关产品推荐更多 >
万千商家帮你免费找货
0 人在求购买到急需产品
- 详细信息
- 文献和实验
- 技术资料
- 应用范围:
产品信息以Bioss网站为准
- 规格:
50ul/100ul/200ul
| 规格: | 50ul | 产品价格: | ¥1180.0 |
|---|---|---|---|
| 规格: | 100ul | 产品价格: | ¥1980.0 |
| 规格: | 200ul | 产品价格: | ¥2800.0 |
| 产品编号 | bs-19007R |
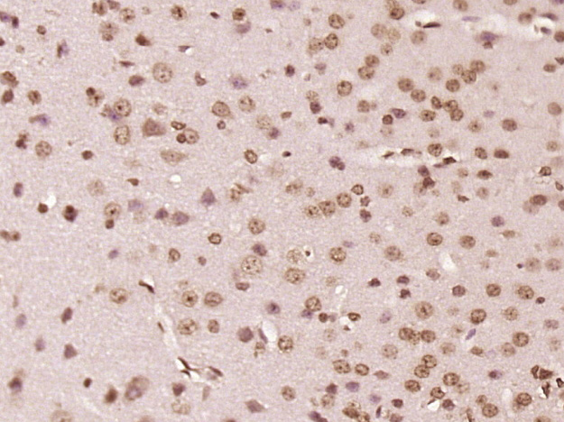
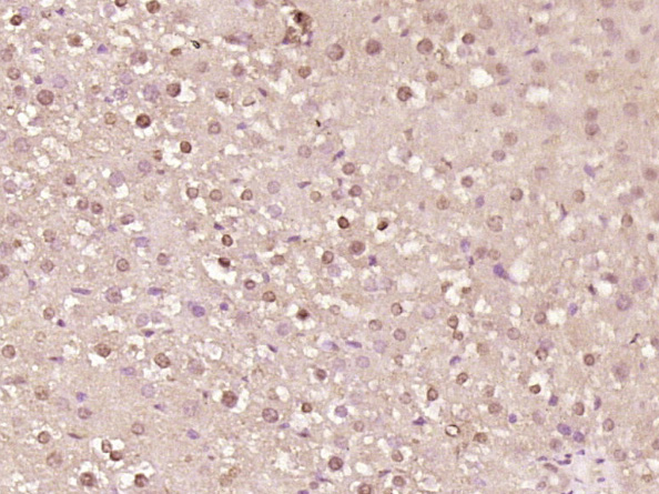
| 英文名称 | Nance-Horan Syndrome Protein Rabbit pAb |
| 中文名称 | 南斯-霍兰综合征蛋白抗体 |
| 英文别名 | Congenital cataracts and dental anomalies protein; CXN; Nance-Horan syndrome protein; nhs; NHS_HUMAN; RP3-389A20.6; SCML1. |
| 产品应用 | IHC-P=1:100-500, IHC-F=1:100-500, IF=1:100-500 Not yet tested in other applications. |
| 交叉反应 | Mouse, Rat (Human, Chicken, Dog, Pig, Cow, Horse, Rabbit, Sheep) |
| 抗体来源 | Rabbit |
| 免疫原 | KLH conjugated synthetic peptide derived from human Nance-Horan Syndrome Protein |
| 亚型 | IgG |
| 性状 | Liquid |
| 纯化方法 | affinity purified by Protein A |
| 克隆类型 | Polyclonal |
| 理论分子量 | 179 kDa |
| 浓度 | 1mg/ml |
| 储存液 | 0.01M TBS (pH7.4) with 1% BSA, 0.02% Proclin300 and 50% Glycerol. |
| 亚基 | Interacts with the tight junction protein TJP1/ZO-1. Associates with actin-rich structures. Interacts with BRK1 and with all three members of the WAVE protein family, WASF1, WASF2 and WASF3. |
| 亚细胞定位 | Nucleus. |
| 组织特异性 | Detected at low levels in all tissues analyzed. Detected in fetal and adult brain, lens, retina, retinal pigment epithelium, placenta, lymphocytes and fibroblasts. Levels in retinal pigment epithelium, placenta, lymphocytes, and fibroblasts are very low. Expressed also in kidney, lung and thymus. |
| 相似性 | Belongs to the NHS family. |
| 功能 | May function in cell morphology by maintaining the integrity of the circumferential actin ring and controlling lamellipod formation. Involved in the regulation eye, tooth, brain and craniofacial development. |
| 保存条件 | Shipped at 4℃. Store at -20℃ for one year. Avoid repeated freeze/thaw cycles. |
| 注意事项 | This product as supplied is intended for research use only, not for use in human, therapeutic or diagnostic applications. |
| 背景资料 | This gene encodes a protein containing four conserved nuclear localization signals. The encoded protein functions in eye, tooth, craniofacial and brain development, and it can regulate actin remodeling and cell morphology. Mutations in this gene have been shown to cause Nance-Horan syndrome, and also X-linked cataract-40. Alternatively spliced transcript variants encoding different isoforms have been described for this gene. [provided by RefSeq, May 2014] |
| 应用 | 推荐稀释比例 |
| {IHC-P} | {1:100-500} |
| {IHC-F} | {1:100-500} |
| {IF} | {1:100-500} |


风险提示:丁香通仅作为第三方平台,为商家信息发布提供平台空间。用户咨询产品时请注意保护个人信息及财产安全,合理判断,谨慎选购商品,商家和用户对交易行为负责。对于医疗器械类产品,请先查证核实企业经营资质和医疗器械产品注册证情况。
文献和实验Rabbit Models of Pneumonia, Peritoneal Sepsis, and Lung Injury
The Acute Respiratory Distress Syndrome (ARDS) is a form of lung injury characterized by the rapid onset of severe hypoxemia and diffuse pulmonary infiltrates, with normal cardiac filling pressures (1 ). The pathology of ARDS includes
Nucleic Acid Programmable Protein Arrays: Versatile Tools for Array‐Based Functional Protein Studies
scale. Methods Mol. Biol. 375:57‐78. Li, Q.Z., Zhou, J., Wandstrat, A.E., Carr‐Johnson, F., Branch, V., Karp, D.R., Mohan, C., Wakeland, E.K., and Olsen, N.J. 2007. Protein
= NAL), appears to form upon oxidative cyclization of the nonfluorescent 2:1 lysine-HNE Michael adduct-Schiff base cross-link (Scheme 1). Polyclonal antibody (PAb) to the NAL-HNE fluorophore was raised in rabbit and found to be highly specific
技术资料暂无技术资料 索取技术资料









