相关产品推荐更多 >
万千商家帮你免费找货
0 人在求购买到急需产品
- 详细信息
- 技术资料
- 供应商:
上海康朗生物科技有限公司
- 库存:
大量
- 目录编号:
kl-19007R
- 克隆性:
多克隆
- 抗原来源:
Rabbit
- 保质期:
12个月
- 抗体英文名:
Nance-Horan Syndrome Protein antibody
- 宿主:
Rabbit
- 适应物种:
Human, Mouse, Rat, Chicken, Dog, Pig, Cow, Horse, Rabbit, Sheep,
- 免疫原:
KLH conjugated synthetic peptide derived from human Nance-Horan Syndrome Protein:1451-1550/1651
- 亚型:
IgG
- 形态:
冻干粉或液体
- 应用范围:
ELISA=1:500-1000 IHC-P=1:400-800 IHC-F=1:400-800 ICC=1:100-500 IF=1:100-500
- 浓度:
1mg/ml
- 保存条件:
-20 °C
- 规格:
100ul 200ul
Nance-Horan Syndrome Protein antibody
| 中文名称 | 南斯-霍兰综合征蛋白抗体 |
| 别 名 | Congenital cataracts and dental anomalies protein; CXN; Nance-Horan syndrome protein; nhs; NHS_HUMAN; RP3-389A20.6; SCML1. |
| 规格价格 | 100ul/1380元 购买 200ul/2200元 购买 大包装/询价 |
| 说 明 书 | 100ul 200ul |
| 研究领域 | 细胞生物 神经生物学 干细胞 |
| 抗体来源 | Rabbit |
| 克隆类型 | Polyclonal |
| 交叉反应 | Human, Mouse, Rat, Chicken, Dog, Pig, Cow, Horse, Rabbit, Sheep, |
| 产品应用 | ELISA=1:500-1000 IHC-P=1:400-800 IHC-F=1:400-800 ICC=1:100-500 IF=1:100-500 (石蜡切片需做抗原修复) not yet tested in other applications. optimal dilutions/concentrations should be determined by the end user. |
| 分 子 量 | 179kDa |
| 细胞定位 | 细胞核 |
| 性 状 | Lyophilized or Liquid |
| 浓 度 | 1mg/ml |
| 免 疫 原 | KLH conjugated synthetic peptide derived from human Nance-Horan Syndrome Protein:1451-1550/1651 |
| 亚 型 | IgG |
| 纯化方法 | affinity purified by Protein A |
| 储 存 液 | 0.01M TBS(pH7.4) with 1% BSA, 0.03% Proclin300 and 50% Glycerol. |
| 保存条件 | Store at -20 °C for one year. Avoid repeated freeze/thaw cycles. The lyophilized antibody is stable at room temperature for at least one month and for greater than a year when kept at -20°C. When reconstituted in sterile pH 7.4 0.01M PBS or diluent of antibody the antibody is stable for at least two weeks at 2-4 °C. |
| PubMed | PubMed |
| 产品介绍 | background: This gene encodes a protein containing four conserved nuclear localization signals. The encoded protein functions in eye, tooth, craniofacial and brain development, and it can regulate actin remodeling and cell morphology. Mutations in this gene have been shown to cause Nance-Horan syndrome, and also X-linked cataract-40. Alternatively spliced transcript variants encoding different isoforms have been described for this gene. [provided by RefSeq, May 2014] Function: May function in cell morphology by maintaining the integrity of the circumferential actin ring and controlling lamellipod formation. Involved in the regulation eye, tooth, brain and craniofacial development. Subunit: Interacts with the tight junction protein TJP1/ZO-1. Associates with actin-rich structures. Interacts with BRK1 and with all three members of the WAVE protein family, WASF1, WASF2 and WASF3. Subcellular Location: Nucleus. Tissue Specificity: Detected at low levels in all tissues analyzed. Detected in fetal and adult brain, lens, retina, retinal pigment epithelium, placenta, lymphocytes and fibroblasts. Levels in retinal pigment epithelium, placenta, lymphocytes, and fibroblasts are very low. Expressed also in kidney, lung and thymus. DISEASE: Nance-Horan syndrome (NHS) [MIM:302350]: Rare X-linked disorder characterized by congenital cataracts, dental anomalies, dysmorphic features, and, in some cases, mental retardation. Distinctive dental anomalies are seen in affected males, including supernumerary incisors and crown shaped permanent teeth. Characteristic facial features are anteverted pinnae, long face, and prominent nasal bridge and nose. Carrier females display milder variable symptoms of disease with lens opacities often involving the posterior Y sutures, and on occasion dental anomalies and the characteristic facial features described. Note: The disease is caused by mutations affecting the gene represented in this entry. Cataract 40 (CTRCT40) [MIM:302200]: An opacification of the crystalline lens of the eye that frequently results in visual impairment or blindness. Opacities vary in morphology, are often confined to a portion of the lens, and may be static or progressive. CTRCT40 manifests as a congenital nuclear opacity with severe visual impairment in affected males. Heterozygous females have suture cataracts and only slight reduction in vision. In some cases, cataract is associated with microcornea without any other systemic anomaly or dysmorphism. Microcornea is defined by a corneal diameter inferior to 10 mm in both meridians in an otherwise normal eye. Note: The disease is caused by mutations affecting the gene represented in this entry. Caused by copy number variations predicted to result in altered transcriptional regulation of the NHS gene: a 0.8 Mb segmental duplication-triplication encompassing the NHS, SCML1 and RAI2 genes, and an 4.8 kb intragenic deletion in NHS intron 1. Similarity: Belongs to the NHS family. SWISS: Q6T4R5 Gene ID: 4810 Database links: Entrez Gene: 4810 Human Omim: 300457 Human SwissProt: Q6T4R5 Human Unigene: 201623 Human Important Note: This product as supplied is intended for research use only, not for use in human, therapeutic or diagnostic applications. |
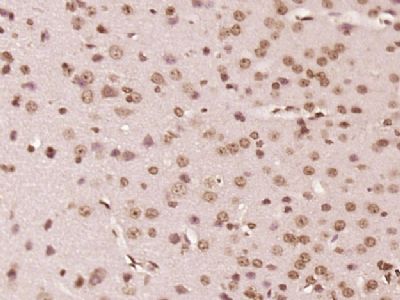
| 产品图片 | ![]() Paraformaldehyde-fixed, paraffin embedded (Rat liver); Antigen retrieval by boiling in sodium citrate buffer (pH6.0) for 15min; Block endogenous peroxidase by 3% hydrogen peroxide for 20 minutes; Blocking buffer (normal goat serum) at 37°C for 30min; Antibody incubation with (Nance-Horan Syndrome Protein) Polyclonal Antibody, Unconjugated (bs-19007R) at 1:400 overnight at 4°C, followed by operating according to SP Kit(Rabbit) (sp-0023) instructionsand DAB staining. ![]() Paraformaldehyde-fixed, paraffin embedded (Mouse brain); Antigen retrieval by boiling in sodium citrate buffer (pH6.0) for 15min; Block endogenous peroxidase by 3% hydrogen peroxide for 20 minutes; Blocking buffer (normal goat serum) at 37°C for 30min; Antibody incubation with (Nance-Horan Syndrome Protein) Polyclonal Antibody, Unconjugated (bs-19007R) at 1:400 overnight at 4°C, followed by operating according to SP Kit(Rabbit) (sp-0023) instructionsand DAB staining. |
风险提示:丁香通仅作为第三方平台,为商家信息发布提供平台空间。用户咨询产品时请注意保护个人信息及财产安全,合理判断,谨慎选购商品,商家和用户对交易行为负责。对于医疗器械类产品,请先查证核实企业经营资质和医疗器械产品注册证情况。
技术资料暂无技术资料 索取技术资料
Nance-Horan Syndrome Protein antibody
¥1380 - 2200










