相关产品推荐更多 >

Influenza A Neuraminidase 1 Rabbit pAb(bs-16645R)-50ul/100ul/200ul
¥1180
FUK Rabbit pAb, AP conjugated(bs-16193R-AP)-100ul
¥2980
DNASE1L1 Rabbit pAb, BF680 conjugated(bs-12995R-BF680)-100ul
¥2980
Hyaluronidase3 Rabbit pAb, Cy5 conjugated(bs-5889R-Cy5)-100ul
¥2980
Tankyrase Rabbit pAb(bs-9104R)-50ul/100ul/200ul
¥1180
万千商家帮你免费找货
0 人在求购买到急需产品
- 详细信息
- 文献和实验
- 技术资料
- 应用范围:
产品信息以Bioss网站为准
- 规格:
50ul/100ul/200ul
| 规格: | 50ul | 产品价格: | ¥1180.0 |
|---|---|---|---|
| 规格: | 100ul | 产品价格: | ¥1980.0 |
| 规格: | 200ul | 产品价格: | ¥2800.0 |
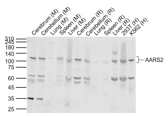
| 产品编号 | bs-1603R |
| 英文名称 | AARS2 Rabbit pAb |
| 中文名称 | 丙氨酰tRNA合成酶2抗体 |
| 英文别名 | alanyl tRNA synthetase 2; AARSL; bA444E17.1; Gm89; MT ALARS; MTALARS; AARS 2; AARS2; Alanine tRNA ligase 2 mitochondrial; Alanine tRNA ligase; Alanyl tRNA synthetase 2 mitochondrial; Alanyl tRNA synthetase like; AlaRS; KIAA1270; MGC69820; Probable alanyl tRNA synthetase mitochondrial; RP11-444E17.1. |
| 产品应用 | WB=1:500-2000 Not yet tested in other applications. |
| 交叉反应 | Human, Mouse, Rat (Dog) |
| 抗体来源 | Rabbit |
| 免疫原 | KLH conjugated synthetic peptide derived from human AARS2 |
| 亚型 | IgG |
| 性状 | Liquid |
| 纯化方法 | affinity purified by Protein A |
| 克隆类型 | Polyclonal |
| 理论分子量 | 115 kDa |
| 浓度 | 1mg/ml |
| 储存液 | 0.01M TBS (pH7.4) with 1% BSA, 0.02% Proclin300 and 50% Glycerol. |
| 研究领域 | Epigenetics and Nuclear Signaling > DNA / RNA > Translation > tRNA synthetase |
| 亚细胞定位 | Mitochondrion matrix. |
| 功能 | The human alanyl-tRNA synthetase (AlaRS) belongs to a family of tRNA synthases, of the class II enzymes. Class II tRNA synthases evolved early in evolution and are highly conserved. This is reflected by the fact that 498 of the 968-residue polypeptide human AlaRS shares 41% identity witht the E.coli protein. tRNA synthases are the enzymes that interpret the RNA code and attach specific aminoacids to the tRNAs that contain the cognate trinucleotide anticodons. They consist of a catalytic domain which interacts with the amino acid acceptor-T psi C helix of the tRNA, and a second domain which interacts with the rest of the tRNA structure. Alanyl-tRNA synthetase (AlaRS) catalyzes the ligation of alanine with alanyl-tRNA using ATP. |
| 保存条件 | Shipped at 4℃. Store at -20℃ for one year. Avoid repeated freeze/thaw cycles. |
| 注意事项 | This product as supplied is intended for research use only, not for use in human, therapeutic or diagnostic applications. |
| 背景资料 | The protein encoded by this gene belongs to the class-II aminoacyl-tRNA synthetase family. Aminoacyl-tRNA synthetases play critical roles in mRNA translation by charging tRNAs with their cognate amino acids. The encoded protein is a mitochondrial enzyme that specifically aminoacylates alanyl-tRNA. Mutations in this gene are a cause of combined oxidative phosphorylation deficiency 8. [provided by RefSeq, Dec 2011]. |
| 应用 | 推荐稀释比例 |
| {WB} | {1:500-2000} |

Lane 1: Cerebrum (Mouse) Lysate at 40 ug
Lane 2: Cerebellum (Mouse) Lysate at 40 ug
Lane 3: Lung (Mouse) Lysate at 40 ug
Lane 4: Spleen (Mouse) Lysate at 40 ug
Lane 5: Liver (Mouse) Lysate at 40 ug
Lane 6: Cerebrum (Rat) Lysate at 40 ug
Lane 7: Cerebellum (Rat) Lysate at 40 ug
Lane 8: Lung (Rat) Lysate at 40 ug
Lane 9: Spleen (Rat) Lysate at 40 ug
Lane 10: Liver (Rat) Lysate at 40 ug
Lane 11: 293T (Human) Cell Lysate at 30 ug
Lane 12: K562 (Human) Cell Lysate at 30 ug
Primary: Anti-AARS2 (bs-1603R) at 1/1000 dilution
Secondary: IRDye800CW Goat Anti-Rabbit IgG at 1/20000 dilution
Predicted band size: 107 kD
Observed band size: 110 kD
风险提示:丁香通仅作为第三方平台,为商家信息发布提供平台空间。用户咨询产品时请注意保护个人信息及财产安全,合理判断,谨慎选购商品,商家和用户对交易行为负责。对于医疗器械类产品,请先查证核实企业经营资质和医疗器械产品注册证情况。
文献和实验= NAL), appears to form upon oxidative cyclization of the nonfluorescent 2:1 lysine-HNE Michael adduct-Schiff base cross-link (Scheme 1). Polyclonal antibody (PAb) to the NAL-HNE fluorophore was raised in rabbit and found to be highly specific
GE Healthcare Benzamidine Sepharose™ 6B is p-aminobenzamidine covalently attached to Sepharose 6B by the epoxy coupling method. p-Aminobenzamidine (PAB), is a synthetic inhibitor of trypsin-like serine protease. Trypsin and trypsin
Nucleic Acid Programmable Protein Arrays: Versatile Tools for Array‐Based Functional Protein Studies
.g., Sigma) 50 mg/ml bis‐sulfosuccinimdylsuberate (BS3 ;Pierce, cat. no. PI 21580) in dimethylsulfoxide (DMSO) 5 mg/ml
技术资料暂无技术资料 索取技术资料






