相关产品推荐更多 >

PTPN13 Rabbit pAb, Cy5 conjugated(bs-5760R-Cy5)-100ul
¥2980
GTPBP9 Rabbit pAb, APC-Cy7 conjugated(bs-9554R-APC-Cy7)-100ul
¥2980
IRF9/ISGF3 Rabbit pAb(bs-18169R)-50ul/100ul/200ul
¥1180
HSP60 Rabbit pAb, PE-Cy7 conjugated(bs-0191R-PE-Cy7)-100ul
¥2980
E1 Ubiquitin Activating Enzyme Rabbit pAb(bs-6835R)-50ul/100ul/200ul
¥1180
万千商家帮你免费找货
0 人在求购买到急需产品
- 详细信息
- 文献和实验
- 技术资料
- 应用范围:
产品信息以Bioss网站为准
- 规格:
50ul/100ul/200ul
| 规格: | 50ul | 产品价格: | ¥1180.0 |
|---|---|---|---|
| 规格: | 100ul | 产品价格: | ¥1980.0 |
| 规格: | 200ul | 产品价格: | ¥2800.0 |
| 产品编号 | bs-12657R |
| 英文名称 | SNRNP200 Rabbit pAb |
| 中文名称 | SNRNP200蛋白抗体 |
| 英文别名 | Activating signal cointegrator 1 complex subunit 3 like 1; ASCC3L1; BRR2; BRR2 homolog; HELIC2; RP33; SNRNP200; U5 200KD; U5 small nuclear ribonucleoprotein 200 kDa helicase; U5 snRNP specific 200 kDa protein. |
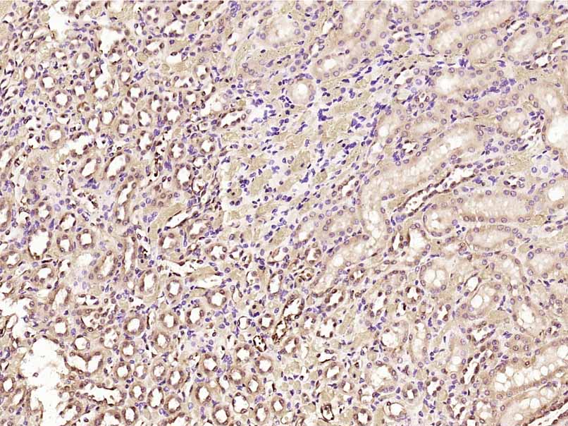
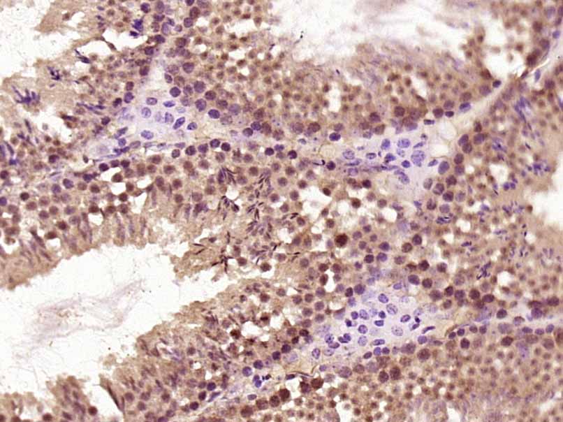
| 产品应用 | IHC-P=1:100-500, IHC-F=1:100-500, IF=1:100-500 Not yet tested in other applications. |
| 交叉反应 | Mouse, Rat (Human) |
| 抗体来源 | Rabbit |
| 免疫原 | KLH conjugated synthetic peptide derived from human SNRNP200 |
| 亚型 | IgG |
| 性状 | Liquid |
| 纯化方法 | affinity purified by Protein A |
| 克隆类型 | Polyclonal |
| 理论分子量 | 244 kDa |
| 浓度 | 1mg/ml |
| 储存液 | 0.01M TBS (pH7.4) with 1% BSA, 0.02% Proclin300 and 50% Glycerol. |
| 研究领域 | Epigenetics and Nuclear Signaling > DNA / RNA > RNA Processing > Splicing |
| 亚细胞定位 | Nucleus. |
| 组织特异性 | Widely expressed. |
| 相似性 | Belongs to the helicase family. SKI2 subfamily. Contains 2 helicase ATP-binding domains. Contains 2 helicase C-terminal domains. Contains 2 SEC63 domains. |
| 功能 | Putative RNA helicase involved in the second step of RNA splicing. May promote one or more conformational changes in the dynamic network of RNA-RNA interactions in the spliceosome. Appears to catalyze an ATP-dependent unwinding of U4/U6 RNA duplices. |
| 保存条件 | Shipped at 4℃. Store at -20℃ for one year. Avoid repeated freeze/thaw cycles. |
| 注意事项 | This product as supplied is intended for research use only, not for use in human, therapeutic or diagnostic applications. |
| 背景资料 | Pre-mRNA splicing is catalyzed by the spliceosome, a complex of specialized RNA and protein subunits that removes introns from a transcribed pre-mRNA segment. The spliceosome consists of small nuclear RNA proteins (snRNPs) U1, U2, U4, U5 and U6, together with approximately 80 conserved proteins. U5 snRNP contains nine specific proteins. This gene encodes one of the U5 snRNP-specific proteins. This protein belongs to the DEXH-box family of putative RNA helicases. It is a core component of U4/U6-U5 snRNPs and appears to catalyze an ATP-dependent unwinding of U4/U6 RNA duplices. Mutations in this gene cause autosomal-dominant retinitis pigmentosa. Alternatively spliced transcript variants encoding different isoforms have been found, but the full-length nature of these variants has not been determined. [provided by RefSeq, Mar 2010] |
| 应用 | 推荐稀释比例 |
| {IHC-P} | {1:100-500} |
| {IHC-F} | {1:100-500} |
| {IF} | {1:100-500} |


风险提示:丁香通仅作为第三方平台,为商家信息发布提供平台空间。用户咨询产品时请注意保护个人信息及财产安全,合理判断,谨慎选购商品,商家和用户对交易行为负责。对于医疗器械类产品,请先查证核实企业经营资质和医疗器械产品注册证情况。
文献和实验= NAL), appears to form upon oxidative cyclization of the nonfluorescent 2:1 lysine-HNE Michael adduct-Schiff base cross-link (Scheme 1). Polyclonal antibody (PAb) to the NAL-HNE fluorophore was raised in rabbit and found to be highly specific
GE Healthcare Benzamidine Sepharose™ 6B is p-aminobenzamidine covalently attached to Sepharose 6B by the epoxy coupling method. p-Aminobenzamidine (PAB), is a synthetic inhibitor of trypsin-like serine protease. Trypsin and trypsin
GE Healthcare Benzamidine Sepharose™ 6B is p-aminobenzamidine covalently attached to Sepharose 6B by the epoxy coupling method. p-Aminobenzamidine (PAB), is a synthetic inhibitor of trypsin-like serine protease. Trypsin and trypsin
技术资料暂无技术资料 索取技术资料





