相关产品推荐更多 >

FANCA Rabbit pAb, Biotin conjugated(bs-13138R-Bio)-100ul
¥2980
APOBEC3G Rabbit pAb, Biotin conjugated(bs-15407R-Bio)-100ul
¥2980
EZH2 Rabbit pAb, Cy7 conjugated(bs-3521R-Cy7)-100ul
¥2980
GPR65 Rabbit pAb(bs-7668R)-50ul/100ul/200ul
¥1180
phospho-Amyloid Precursor Protein (Ser730) Rabbit pAb(bs-5168R)-50ul/100ul/200ul
¥1180
万千商家帮你免费找货
0 人在求购买到急需产品
- 详细信息
- 文献和实验
- 技术资料
- 应用范围:
产品信息以Bioss网站为准
- 规格:
50ul/100ul/200ul
| 规格: | 50ul | 产品价格: | ¥1180.0 |
|---|---|---|---|
| 规格: | 100ul | 产品价格: | ¥1980.0 |
| 规格: | 200ul | 产品价格: | ¥2800.0 |
| 产品编号 | bs-15353R |
| 英文名称 | GPR84 Rabbit pAb |
| 中文名称 | G蛋白偶联受体84抗体 |
| 英文别名 | G protein coupled receptor 84; G-protein coupled receptor 84; G protein coupled receptor EX33; GPCR 4; GPCR4; GPR 84; GPR84_HUMAN; GPR84(EX33); EX33; Inflammation related G protein coupled receptor EX33; Inflammation-related G-protein coupled receptor EX33; GPCR EX33; EX 33; GPCR GPR84; |
| 产品应用 | IHC-P=1:100-500, IHC-F=1:100-500, IF=1:100-500, Flow-Cyt=1μg/Test Not yet tested in other applications. |
| 交叉反应 | Human, Mouse, Rabbit (Pig, Cow) |
| 抗体来源 | Rabbit |
| 免疫原 | KLH conjugated synthetic peptide derived from human GPCR EX33 protein |
| 亚型 | IgG |
| 性状 | Liquid |
| 纯化方法 | affinity purified by Protein A |
| 克隆类型 | Polyclonal |
| 理论分子量 | 44 kDa |
| 浓度 | 1mg/ml |
| 储存液 | 0.01M TBS (pH7.4) with 1% BSA, 0.02% Proclin300 and 50% Glycerol. |
| 研究领域 | Signal Transduction > Signaling Pathway > G Protein Signaling > GPCR |
| 亚细胞定位 | Cell membrane; Multi-pass membrane protein. |
| 组织特异性 | Expressed predominantly in hematopoietic tissues. High levels detected in the bone marrow and lower levels in the peripheral leukocytes and lung. Also expressed in brain, heart, muscle, colon, thymus, spleen, kidney, liver, placenta and intestine. Within the leukocyte population expression is higher in neutrophils and eosinophils relative to T- or B-lymphocytes. |
| 相似性 | Belongs to the G-protein coupled receptor 1 family. |
| 功能 | Receptor for medium-chain free fatty acid (FFA) with carbon chain lengths of C9 to C14. Capric acid (C10:0), undecanoic acid (C11:0) and lauric acid (C12:0) are the most potent agonists. Not activated by short-chain and long-chain saturated and unsaturated FFAs. Activation by medium-chain free fatty acid is coupled to a pertussis toxin sensitive G(i/o) protein pathway. May have important roles in processes from fatty acid metabolism to regulation of the immune system. |
| 保存条件 | Shipped at 4℃. Store at -20℃ for one year. Avoid repeated freeze/thaw cycles. |
| 注意事项 | This product as supplied is intended for research use only, not for use in human, therapeutic or diagnostic applications. |
| 背景资料 | G protein-coupled receptors (GPCRs), also designated seven transmembrane (7TM) receptors and heptahelical receptors, are a protein family which interact with G proteins (heterotrimeric GTPases) to synthesize intracellular second messengers such as diacylglycerol, cyclic AMP, inositol phosphates, and calcium ions. Their diverse biological functions range from vision and olfaction to neuronal and endocrine signaling and are involved in many pathological conditions. G protein receptor 84 (GPR84), a member of the GCPR 1 family, is an orphan GCPR expressed in bone marrow, brain, heart, muscle, colon, thymus, spleen, kidney, liver, placenta, intestine, lung and peripheral blood leukocytes. In activated T cells, GPR84 regulates early interleukin-4 (IL-4) gene expression |
| 应用 | 推荐稀释比例 |
| {IHC-P} | {1:100-500} |
| {IHC-F} | {1:100-500} |
| {IF} | {1:100-500} |
| {Flow-Cyt} | {1μg/Test} |

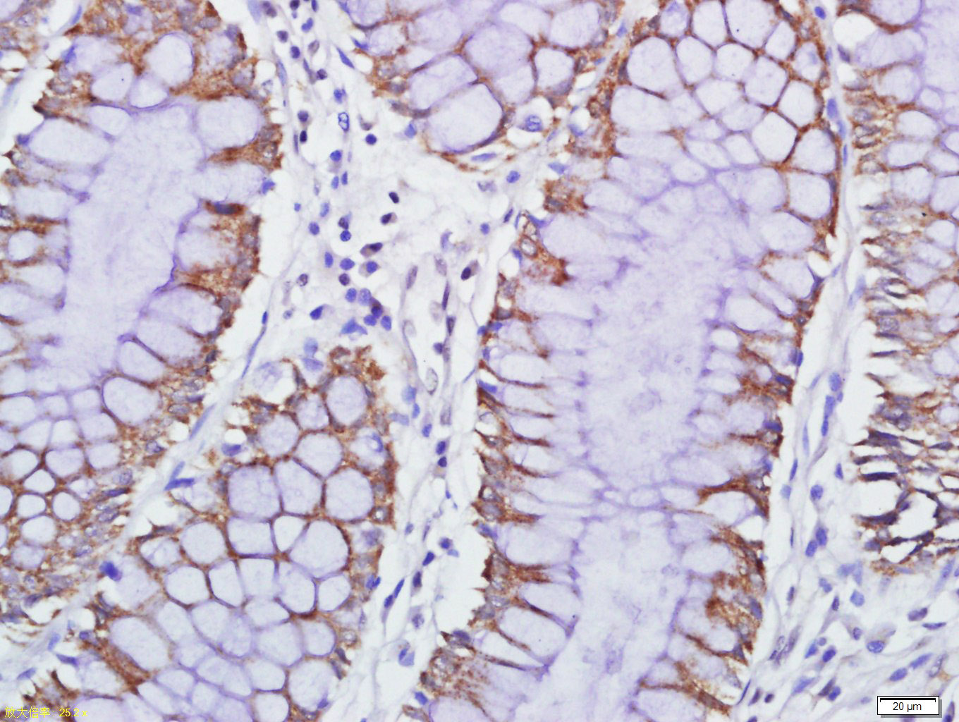
Antigen retrieval: citrate buffer ( 0.01M, pH 6.0 ), Boiling bathing for 15min; Block endogenous peroxidase by 3% Hydrogen peroxide for 30min; Blocking buffer (normal goat serum,C-0005) at 37∩ for 20 min;
Incubation: Anti-GPCR EX33 Polyclonal Antibody, Unconjugated(bs-15353R) 1:500, overnight at 4∑C, followed by conjugation to the secondary antibody(SP-0023) and DAB(C-0010) staining

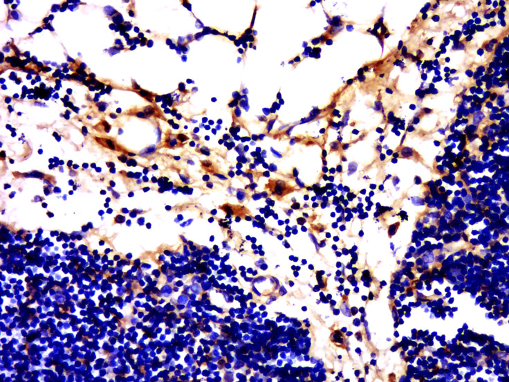
Antigen retrieval: citrate buffer ( 0.01M, pH 6.0 ), Boiling bathing for 15min; Block endogenous peroxidase by 3% Hydrogen peroxide for 30min; Blocking buffer (normal goat serum,C-0005) at 37∩ for 20 min;
Incubation: Anti-EX33 Polyclonal Antibody, Unconjugated(bs-15353R) 1:500, overnight at 4∑C, followed by conjugation to the secondary antibody(SP-0023) and DAB(C-0010) staining

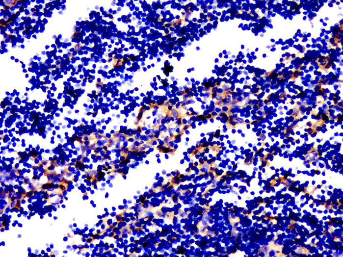
Antigen retrieval: citrate buffer ( 0.01M, pH 6.0 ), Boiling bathing for 15min; Block endogenous peroxidase by 3% Hydrogen peroxide for 30min; Blocking buffer (normal goat serum,C-0005) at 37∩ for 20 min;
Incubation: Anti-EX33 Polyclonal Antibody, Unconjugated(bs-15353R) 1:500, overnight at 4∑C, followed by conjugation to the secondary antibody(SP-0023) and DAB(C-0010) staining

Primary Antibody:Rabbit Anti- GPCR EX33 antibody(bs-15353R), Dilution: 1ug in 100 uL 1X PBS containing 0.5% BSA;
Isotype Control Antibody: Rabbit IgG(orange) ,used under the same conditions );
Secondary Antibody: Goat anti-rabbit IgG-PE(white blue), Dilution: 1:200 in 1 X PBS containing 0.5% BSA.



Primary Antibody (green line): Rabbit Anti-GPR84 antibody (bs-15353R)
Dilution: 1ug/Test;
Secondary Antibody (white blue line) : Goat anti-rabbit IgG-AF488
Dilution: 0.5ug/Test.
Isotype control(orange line):Normal Rabbit IgG
Protocol
The cells were incubated in 5%BSA to block non-specific protein-protein interactions for 30 min at room temperature .Cells stained with Primary Antibody for 30 min at room temperature. The secondary antibody used for 40 min at room temperature. Acquisition of 20,000 events was performed.
风险提示:丁香通仅作为第三方平台,为商家信息发布提供平台空间。用户咨询产品时请注意保护个人信息及财产安全,合理判断,谨慎选购商品,商家和用户对交易行为负责。对于医疗器械类产品,请先查证核实企业经营资质和医疗器械产品注册证情况。
文献和实验[IF={{ 6.1 }}] {Liang Xiong. et al. Maternal consumption of glycerol monolaurate optimizes milk fatty acid profile and enhances piglet gut health in association with G protein-coupled receptor 84 (GPR84) activation. ANIM NUTR. 2024 Dec;:} {WB} {Pig}
= NAL), appears to form upon oxidative cyclization of the nonfluorescent 2:1 lysine-HNE Michael adduct-Schiff base cross-link (Scheme 1). Polyclonal antibody (PAb) to the NAL-HNE fluorophore was raised in rabbit and found to be highly specific
GE Healthcare Benzamidine Sepharose™ 6B is p-aminobenzamidine covalently attached to Sepharose 6B by the epoxy coupling method. p-Aminobenzamidine (PAB), is a synthetic inhibitor of trypsin-like serine protease. Trypsin and trypsin
Nucleic Acid Programmable Protein Arrays: Versatile Tools for Array‐Based Functional Protein Studies
.g., Sigma) 50 mg/ml bis‐sulfosuccinimdylsuberate (BS3 ;Pierce, cat. no. PI 21580) in dimethylsulfoxide (DMSO) 5 mg/ml
技术资料暂无技术资料 索取技术资料






