相关产品推荐更多 >

EpCAM Rabbit pAb, Cy5 conjugated(bs-1513R-Cy5)-100ul
¥2980
Galectin 3 Mouse mAb, HRP conjugated(bsm-33049M-HRP)-100ul
¥2980
Placental lactogen Rabbit pAb(bs-10628R)-50ul/100ul/200ul
¥1180
phospho-FoxO1 (Ser329) Rabbit pAb, AP conjugated(bs-13207R-AP)-100ul
¥2980
phospho-P70 S6 Kinase beta (Thr228) Rabbit pAb(bs-1656R)-50ul/100ul/200ul
¥1180
万千商家帮你免费找货
0 人在求购买到急需产品
- 详细信息
- 文献和实验
- 技术资料
- 应用范围:
产品信息以Bioss网站为准
- 规格:
50ul/100ul/200ul
| 规格: | 50ul | 产品价格: | ¥1180.0 |
|---|---|---|---|
| 规格: | 100ul | 产品价格: | ¥1980.0 |
| 规格: | 200ul | 产品价格: | ¥2800.0 |
| 产品编号 | bs-20151R |
| 英文名称 | SOCS7 Rabbit pAb |
| 中文名称 | 信号转导和转录激活因子7抗体 |
| 英文别名 | NAP 4; NAP 4 Fragment; NAP4; Nck Ash and phospholipase C binding protein; Nck Ash and phospholipase C gamma binding protein; Nck associated protein 4; NCKAP4; SH2 domain containing SOCS box protein; SOCS 7; SOCS4; SOCS6; Suppressor of cytokine signaling 7; SOCS7_HUMAN. |
| 产品应用 | WB=1:500-2000, IHC-P=1:100-500, IHC-F=1:100-500, IF=1:100-500 Not yet tested in other applications. |
| 交叉反应 | Human, Mouse, Rat (Rabbit) |
| 抗体来源 | Rabbit |
| 免疫原 | KLH conjugated synthetic peptide derived from human SOCS7 |
| 亚型 | IgG |
| 性状 | Liquid |
| 纯化方法 | affinity purified by Protein A |
| 克隆类型 | Polyclonal |
| 理论分子量 | 63 kDa |
| 浓度 | 1mg/ml |
| 储存液 | Preservative: 0.02% Proclin300, Constituents: 1% BSA, 0.01M PBS, pH7.4. |
| 研究领域 | Signal Transduction > Adapters > Cytoplasmic |
| 亚基 | Interacts with phosphorylated IRS4 and PIK3R1 (By similarity). Interacts, via the third proline-rich region, with the second SH3 domain of the adapter protein NCK1. Also interacts with GRB2, INSR, IRS1, PLCG1, SORBS3/vinexin, and phosphorylated STAT3 and STAT5. Interacts with SEPT6. |
| 亚细胞定位 | Cytoplasm. Cell membrane; Peripheral membrane protein; Cytoplasmic side. Nucleus. Note=Mostly cytoplasmic, but shuttles between the cytoplasm and the nucleus. Rapidly relocalizes to the nucleus after UV irradiation. Cytoplasmic location depends upon SEPT7 presence. |
| 组织特异性 | Expressed in brain and leukocytes. Also in fetal lung fibroblasts and fetal brain. |
| 相似性 | Contains 1 SH2 domain.
Contains 1 SOCS box domain. |
| 功能 | Regulates signaling cascades probably through protein ubiquitination and/or sequestration. Functions in insulin signaling and glucose homeostasis through IRS1 ubiquitination and subsequent proteasomal degradation. Inhibits also prolactin, growth hormone and leptin signaling by preventing STAT3 and STAT5 activation, sequestering them in the cytoplasm and reducing their binding to DNA. May be a substrate recognition component of a SCF-like E3 ubiquitin-protein ligase complex which mediates the ubiquitination and subsequent proteasomal degradation of target proteins. |
| 保存条件 | Shipped at 4℃. Store at -20℃ for one year. Avoid repeated freeze/thaw cycles. |
| 注意事项 | This product as supplied is intended for research use only, not for use in human, therapeutic or diagnostic applications. |
| 背景资料 | The eight members of the recently identified Suppressor of Cytokines Signaling (SOCS) family are SOCS1, SOCS2, SOCS3, SOCS4, SOCS5, SOCS6, SOCS7, and CIS. Structurally the SOCS proteins are composed of an N- terminal region of variable length and amino acid composition, a central SH2 domain, and a C-terminal motif called the SOCS box. The SOCS proteins appear to form part of a classical negative feedback loop that regulates cytokine signal transduction. Transcription of each of the SOCS genes occurs rapidly in vitro and in vivo in response to cytokines, and once produced, the various members of the SOCS family appear to inhibit signaling in different ways. SOCS1 and SOCS6 interact with the insulin receptor (IR) when expressed in human hepatoma cells (HepG2) or in rat hepatoma cells overexpressing human IR. SOCS1 and SOCS6 inhibit insulin-dependent activation of ERK1/2 and protein kinase B in vivo and IR- directed phosphorylation of IRS1 in vitro. These results suggest that SOCS proteins may be inhibitors of IR signalling and could mediate cytokine-induced insulin resistance and contribute to the pathogenesis of type II diabetes. SOCS6 and SOCS7 are expressed ubiquitously in murine tissues and SOCS6 knockout mice are growth retarded. |
| 应用 | 推荐稀释比例 |
| {WB} | {1:500-2000} |
| {IHC-P} | {1:100-500} |
| {IHC-F} | {1:100-500} |
| {IF} | {1:100-500} |

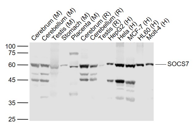
Lane 1: Cerebrum (Mouse) Lysate at 40 ug
Lane 2: Cerebellum (Mouse) Lysate at 40 ug
Lane 3: Testis (Mouse) Lysate at 40 ug
Lane 4: Stomach (Mouse) Lysate at 40 ug
Lane 5: Placenta (Mouse) Lysate at 40 ug
Lane 6: Cerebrum (Rat) Lysate at 40 ug
Lane 7: Cerebellum (Rat) Lysate at 40 ug
Lane 8: Testis (Rat) Lysate at 40 ug
Lane 9: HepG2 (Human) Cell Lysate at 30 ug
Lane 10: Hela (Human) Cell Lysate at 30 ug
Lane 11: MCF-7 (Human) Cell Lysate at 30 ug
Lane 12: HL60 (Human) Cell Lysate at 30 ug
Lane 13: Molt-4 (Human) Cell Lysate at 30 ug
Primary:
Anti-SOCS7 (bs-20151R) at 1/1000 dilution
Secondary: IRDye800CW Goat Anti-Rabbit IgG at 1/20000 dilution
Predicted band size: 63 kD
Observed band size: 60 kD

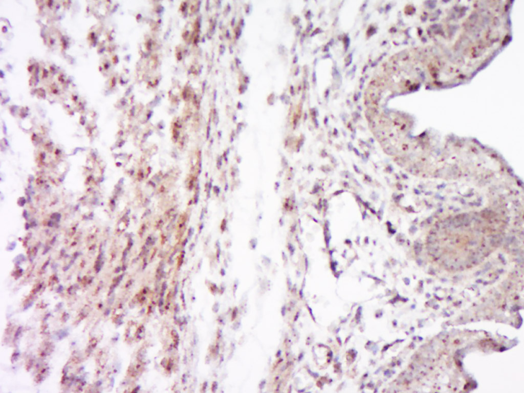
Antigen retrieval: citrate buffer ( 0.01M, pH 6.0 ), Boiling bathing for 15min; Block endogenous peroxidase by 3% Hydrogen peroxide for 30min; Blocking buffer (normal goat serum,C-0005) at 37℃ for 20 min;
Incubation: Anti-SOCS7 Polyclonal Antibody, Unconjugated(bs-20151R) 1:500, overnight at 4°C, followed by conjugation to the secondary antibody(SP-0023) and DAB(C-0010) staining
风险提示:丁香通仅作为第三方平台,为商家信息发布提供平台空间。用户咨询产品时请注意保护个人信息及财产安全,合理判断,谨慎选购商品,商家和用户对交易行为负责。对于医疗器械类产品,请先查证核实企业经营资质和医疗器械产品注册证情况。
文献和实验[IF={{ 11.161 }}] {Du, Yanhua. et al. SOCS7/HuR/FOXM1 signaling axis inhibited high-grade serous ovarian carcinoma progression. J EXP CLIN CANC RES. 2022 Dec;41(1):1-16} {IHC} {Human}
= NAL), appears to form upon oxidative cyclization of the nonfluorescent 2:1 lysine-HNE Michael adduct-Schiff base cross-link (Scheme 1). Polyclonal antibody (PAb) to the NAL-HNE fluorophore was raised in rabbit and found to be highly specific
生长因子 (rabbit HGF) ELISA 48T/96T 1800/2800 进口分装 F20150 兔透明质酸 (rabbit HA) ELISA 48T/96T 2000/3000 进口分装 F20151 兔心脂肪酸结合蛋白 (rabbit
GE Healthcare Benzamidine Sepharose™ 6B is p-aminobenzamidine covalently attached to Sepharose 6B by the epoxy coupling method. p-Aminobenzamidine (PAB), is a synthetic inhibitor of trypsin-like serine protease. Trypsin and trypsin
技术资料暂无技术资料 索取技术资料





