相关产品推荐更多 >

BRN3B Rabbit pAb, APC-Cy7 conjugated(bs-6985R-APC-Cy7)-100ul
¥2980
Beclin 1 Rabbit pAb, Biotin conjugated(bs-1353R-Bio)-100ul
¥2980
ROM1 Rabbit pAb(bs-11125R)-50ul/100ul/200ul
¥1180
Parvalbumin Recombinant Mouse mAb(bsm-60264M)-50ul/100ul/25ul
¥800
Glypican 3 Rabbit pAb, AP conjugated(bs-1112R-AP)-100ul
¥2980
万千商家帮你免费找货
0 人在求购买到急需产品
- 详细信息
- 文献和实验
- 技术资料
- 应用范围:
产品信息以Bioss网站为准
- 规格:
50ul/100ul/200ul
| 规格: | 50ul | 产品价格: | ¥1180.0 |
|---|---|---|---|
| 规格: | 100ul | 产品价格: | ¥1980.0 |
| 规格: | 200ul | 产品价格: | ¥2800.0 |
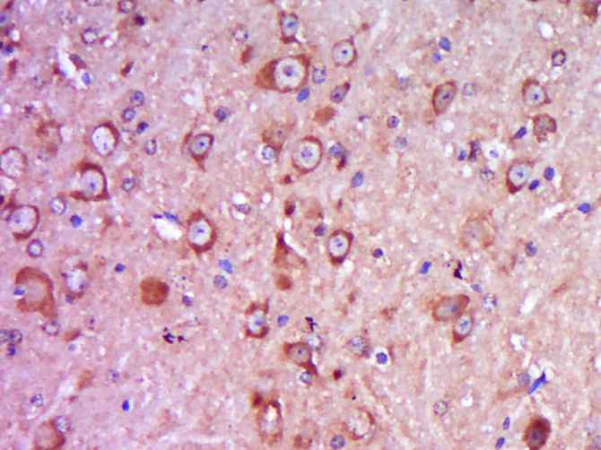
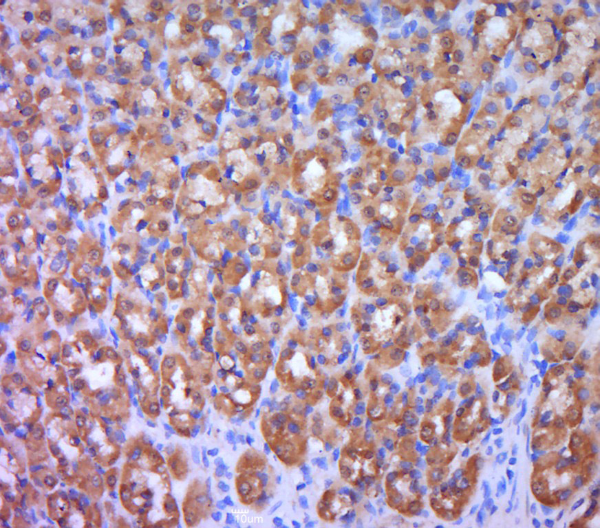
| 产品编号 | bs-23114R |
| 英文名称 | ITSN2 Rabbit pAb |
| 中文名称 | Intersectin 2抗体 |
| 英文别名 | Intersectin-2; Intersectin 2; ITSN2_HUMAN; KIAA1256; PRO2015; SH3 domain-containing protein 1B; SH3D1B; SH3P18; SH3P18-like WASP-associated protein; SWA; SWAP. |
| 产品应用 | IHC-P=1:100-500, IHC-F=1:100-500, IF=1:100-500 Not yet tested in other applications. |
| 交叉反应 | Mouse, Rat (Human) |
| 抗体来源 | Rabbit |
| 免疫原 | KLH conjugated synthetic peptide derived from human ITSN2 |
| 亚型 | IgG |
| 性状 | Liquid |
| 纯化方法 | affinity purified by Protein A |
| 克隆类型 | Polyclonal |
| 理论分子量 | 193 kDa |
| 浓度 | 1mg/ml |
| 储存液 | Preservative: 0.02% Proclin300, Constituents: 1% BSA, 0.01M PBS, pH7.4. |
| 研究领域 | Signal Transduction > Adapters > Cytoplasmic Signal Transduction > Cytoskeleton / ECM > Cytoskeleton > Microfilaments > Actin etc > Actin Assembly Signal Transduction > Protein Trafficking > Vesicle Transport > Adapters Signal Transduction > Signaling Pathway > Calcium Signaling > Calcium Binding Proteins Signal Transduction > Signaling Pathway > G Protein Signaling > Small G Proteins > Regulators |
| 亚基 | Belongs to a complex that may contain multimers of ITSN1, ITSN2 and EPS15, and different partners according to the step in the endocytic process. Interacts with ADAM15. Interacts with FASLG. Interacts with ANKRD54. Interacts with FCHO2. |
| 亚细胞定位 | Cytoplasm. |
| 组织特异性 | Ubiquitous. Isoform 1 is primarily expressed in adult heart and liver. |
| 相似性 | Contains 1 C2 domain.
Contains 1 DH (DBL-homology) domain. Contains 2 EF-hand domains. Contains 2 EH domains. Contains 1 PH domain. Contains 5 SH3 domains. |
| 功能 | Adapter protein that may provide indirect link between the endocytic membrane traffic and the actin assembly machinery. May regulate the formation of clathrin-coated vesicles. |
| 保存条件 | Shipped at 4℃. Store at -20℃ for one year. Avoid repeated freeze/thaw cycles. |
| 注意事项 | This product as supplied is intended for research use only, not for use in human, therapeutic or diagnostic applications. |
| 背景资料 | This gene encodes a cytoplasmic protein which contains SH3 domains. This protein is a member of a family of proteins involved in clathrin-mediated endocytosis. Intersectin 2 is thought to regulate the formation of clathrin-coated vesicles and also may function in the induction of T cell antigen receptor (TCR) endocytosis. [provided by RefSeq, Jan 2017] |
| 应用 | 推荐稀释比例 |
| {IHC-P} | {1:100-500} |
| {IHC-F} | {1:100-500} |
| {IF} | {1:100-500} |


风险提示:丁香通仅作为第三方平台,为商家信息发布提供平台空间。用户咨询产品时请注意保护个人信息及财产安全,合理判断,谨慎选购商品,商家和用户对交易行为负责。对于医疗器械类产品,请先查证核实企业经营资质和医疗器械产品注册证情况。
文献和实验= NAL), appears to form upon oxidative cyclization of the nonfluorescent 2:1 lysine-HNE Michael adduct-Schiff base cross-link (Scheme 1). Polyclonal antibody (PAb) to the NAL-HNE fluorophore was raised in rabbit and found to be highly specific
GE Healthcare Benzamidine Sepharose™ 6B is p-aminobenzamidine covalently attached to Sepharose 6B by the epoxy coupling method. p-Aminobenzamidine (PAB), is a synthetic inhibitor of trypsin-like serine protease. Trypsin and trypsin
GE Healthcare Benzamidine Sepharose™ 6B is p-aminobenzamidine covalently attached to Sepharose 6B by the epoxy coupling method. p-Aminobenzamidine (PAB), is a synthetic inhibitor of trypsin-like serine protease. Trypsin and trypsin
技术资料暂无技术资料 索取技术资料





