相关产品推荐更多 >

FAM190A Rabbit pAb(bs-14769R)-50ul/100ul/200ul
¥1180
phospho-PDGFRA (Tyr754) Rabbit pAb, PE-Cy5 conjugated(bs-20280R-PE-Cy5)-100ul
¥2980
ENTPD1/CD39 Rabbit pAb, Biotin conjugated(bs-15383R-Bio)-100ul
¥2980
DR5 Rabbit pAb, BF594 conjugated(bs-1696R-BF594)-100ul
¥2980
DCX/Doublecortin Rabbit pAb(bs-20798R)-50ul/100ul/200ul
¥1180
万千商家帮你免费找货
0 人在求购买到急需产品
- 详细信息
- 文献和实验
- 技术资料
- 应用范围:
产品信息以Bioss网站为准
- 规格:
50ul/100ul/200ul
| 规格: | 50ul | 产品价格: | ¥1180.0 |
|---|---|---|---|
| 规格: | 100ul | 产品价格: | ¥1980.0 |
| 规格: | 200ul | 产品价格: | ¥2800.0 |
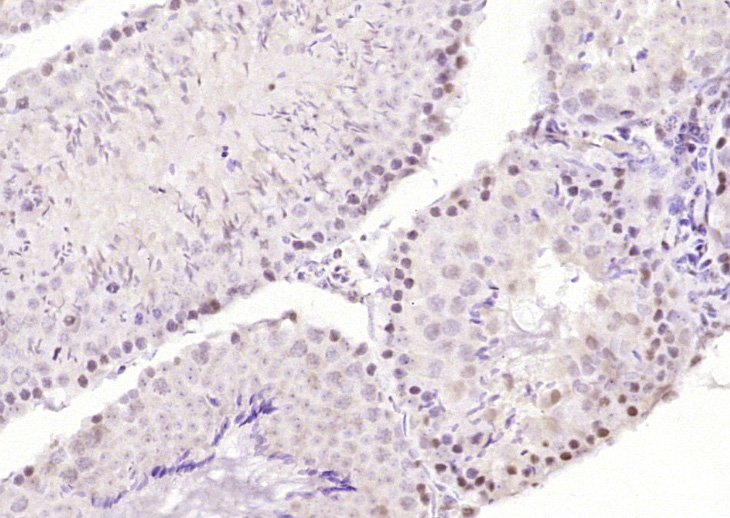
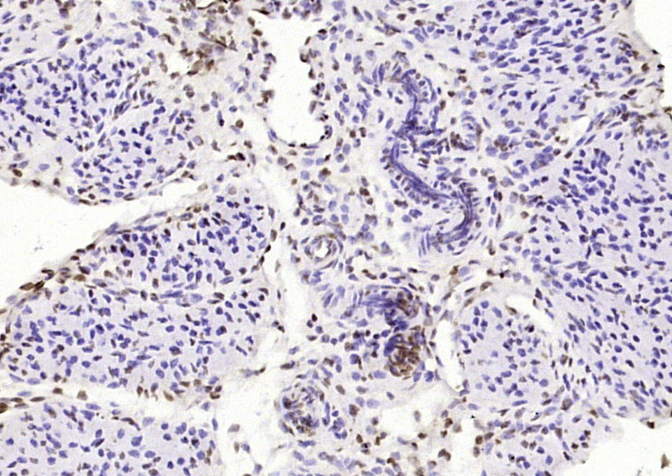
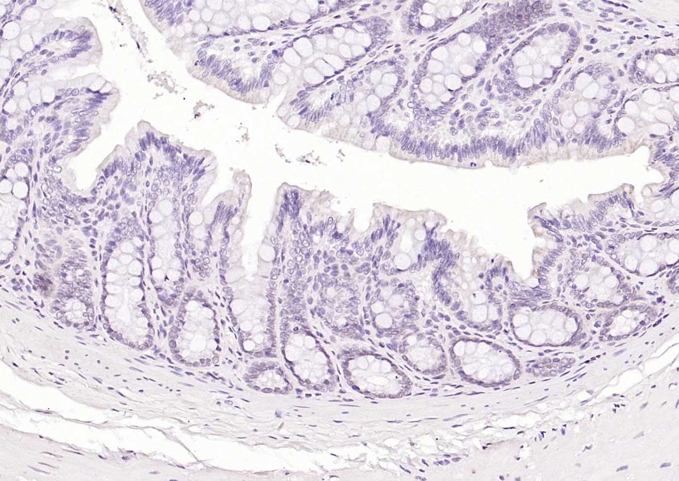
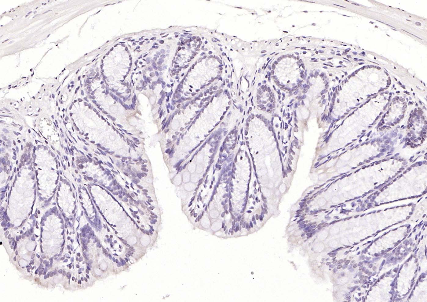
| 产品编号 | bs-4179R |
| 英文名称 | RAD9 Rabbit pAb |
| 中文名称 | 细胞周期检查控制蛋白质抗体 |
| 英文别名 | Cell cycle checkpoint control protein; Cell cycle checkpoint control protein RAD9A; DNA repair exonuclease rad9 homolog A; hRAD 9; hRAD9; Rad 9; RAD 9A; RAD9(S pombe) homolog; RAD9 homolog A; RAD9 homolog; RAD9A; RAD9A_HUMAN. |
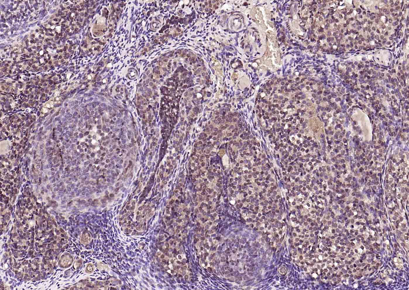
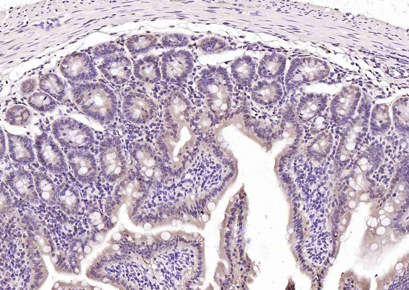
| 产品应用 | WB=1:500-2000, IHC-P=1:100-500, IHC-F=1:100-500, IF=1:100-500 Not yet tested in other applications. |
| 交叉反应 | Mouse, Rat (Human, Chicken, Dog, Pig, Rabbit) |
| 抗体来源 | Rabbit |
| 免疫原 | KLH conjugated synthetic peptide derived from human RAD9 |
| 亚型 | IgG |
| 性状 | Liquid |
| 纯化方法 | affinity purified by Protein A |
| 克隆类型 | Polyclonal |
| 理论分子量 | 43 kDa |
| 浓度 | 1mg/ml |
| 储存液 | 0.01M TBS (pH7.4) with 1% BSA, 0.02% Proclin300 and 50% Glycerol. |
| 研究领域 | Epigenetics and Nuclear Signaling > DNA / RNA > DNA Damage & Repair > DNA Damage Response > DNA Damage Recognition |
| 亚基 | Component of the toroidal 9-1-1 (RAD9-RAD1-HUS1) complex, composed of RAD9A, RAD1 and HUS1. The 9-1-1 complex associates with LIG1, POLB, FEN1, RAD17, HDAC1, RPA1 and RPA2. The 9-1-1 complex associates with the RAD17-RFC complex. RAD9A interacts with BCL2L1, FEN1, PRKCD, RAD9B, HUS1, RAD1, ABL1, RPA1, ATAD5 and RPA2. Interacts with DNAJC7 and RHNO1. |
| 亚细胞定位 | Nucleus. |
| 翻译后修饰 | Constitutively phosphorylated on serine and threonine amino acids in absence of DNA damage. Hyperphosphorylated by PRKCD and ABL1 upon DNA damage. Its phosphorylation by PRKCD may be required for the formation of the 9-1-1 complex. |
| 相似性 | Belongs to the rad9 family. |
| 功能 | Component of the 9-1-1 cell-cycle checkpoint response complex that plays a major role in DNA repair. The 9-1-1 complex is recruited to DNA lesion upon damage by the RAD17-replication factor C (RFC) clamp loader complex. Acts then as a sliding clamp platform on DNA for several proteins involved in long-patch base excision repair (LP-BER). The 9-1-1 complex stimulates DNA polymerase beta (POLB) activity by increasing its affinity for the 3'-OH end of the primer-template and stabilizes POLB to those sites where LP-BER proceeds; endonuclease FEN1 cleavage activity on substrates with double, nick, or gap flaps of distinct sequences and lengths; and DNA ligase I (LIG1) on long-patch base excision repair substrates. The 9-1-1 complex is necessary for the recruitment of RHNO1 to sites of double-stranded breaks (DSB) occurring during the S phase. RAD9A possesses 3'->5' double stranded DNA exonuclease activity. Its phosphorylation by PRKCD may be required for the formation of the 9-1-1 complex. |
| 保存条件 | Shipped at 4℃. Store at -20℃ for one year. Avoid repeated freeze/thaw cycles. |
| 注意事项 | This product as supplied is intended for research use only, not for use in human, therapeutic or diagnostic applications. |
| 背景资料 | This gene product is highly similar to Schizosaccharomyces pombe rad9, a cell cycle checkpoint protein required for cell cycle arrest and DNA damage repair in response to DNA damage. This protein is found to possess 3' to 5' exonuclease activity, which may contribute to its role in sensing and repairing DNA damage. It forms a checkpoint protein complex with RAD1 and HUS1. This complex is recruited by checkpoint protein RAD17 to the sites of DNA damage, which is thought to be important for triggering the checkpoint-signaling cascade. Use of alternative polyA sites has been noted for this gene. [provided by RefSeq]. |
| 应用 | 推荐稀释比例 |
| {WB} | {1:500-2000} |
| {IHC-P} | {1:100-500} |
| {IHC-F} | {1:100-500} |
| {IF} | {1:100-500} |



Lung (Mouse) Lysate at 40 ug
Primary: Anti-RAD9 (bs-4179R) at 1/1000 dilution
Secondary: IRDye800CW Goat Anti-Rabbit IgG at 1/20000 dilution
Predicted band size: 43 kD
Observed band size: 43 kD






风险提示:丁香通仅作为第三方平台,为商家信息发布提供平台空间。用户咨询产品时请注意保护个人信息及财产安全,合理判断,谨慎选购商品,商家和用户对交易行为负责。对于医疗器械类产品,请先查证核实企业经营资质和医疗器械产品注册证情况。
文献和实验= NAL), appears to form upon oxidative cyclization of the nonfluorescent 2:1 lysine-HNE Michael adduct-Schiff base cross-link (Scheme 1). Polyclonal antibody (PAb) to the NAL-HNE fluorophore was raised in rabbit and found to be highly specific
GE Healthcare Benzamidine Sepharose™ 6B is p-aminobenzamidine covalently attached to Sepharose 6B by the epoxy coupling method. p-Aminobenzamidine (PAB), is a synthetic inhibitor of trypsin-like serine protease. Trypsin and trypsin
Developing Genetically Engineered Mouse Models to Study Tumor Suppression
de Oca Luna, R., Kapoor, M., Mims, B., EI‐Naggar, A.K., and Lozano, G. 2000. High metastatic potential in mice inheriting a targeted p53 missense mutation. Proc. Natl. Acad. Sci. U.S.A. 97:4174‐4179.
技术资料暂无技术资料 索取技术资料






