相关产品推荐更多 >

Bcl-2 alpha Rabbit pAb, APC-Cy7 conjugated(bs-15533R-APC-Cy7)-100ul
¥2980
GAP43 Rabbit pAb, AP conjugated(bs-0154R-AP)-100ul
¥2980
GPM6B Rabbit pAb, BF405 conjugated(bs-11847R-BF405)-100ul
¥2980
Caspase-1 p20 Rabbit pAb, Biotin conjugated(bs-10743R-Bio)-100ul
¥2980
phospho-IKB alpha (Ser36) Rabbit pAb, Cy5.5 conjugated(bs-18129R-Cy5.5)-100ul
¥2980
万千商家帮你免费找货
0 人在求购买到急需产品
- 详细信息
- 文献和实验
- 技术资料
- 应用范围:
产品信息以Bioss网站为准
- 规格:
50ul/100ul/200ul
| 规格: | 50ul | 产品价格: | ¥1180.0 |
|---|---|---|---|
| 规格: | 100ul | 产品价格: | ¥1980.0 |
| 规格: | 200ul | 产品价格: | ¥2800.0 |
| 产品编号 | bs-17337R |
| 英文名称 | hnRNP Q Rabbit pAb |
| 中文名称 | 异质核糖核蛋白Q抗体 |
| 英文别名 | cytoplasmic RNA-interacting protein; dJ3J17.2; Glycine and tyrosine rich RNA binding protein; Glycine-and tyrosine-rich RNA-binding protein; GRY RBP; GRY-RBP; Heterogeneous nuclear ribonucleoprotein Q; hnRNP Q; HNRPQ 1; HNRPQ; HNRPQ_HUMAN; HNRPQ1; NS1 associated protein 1; NS1-associated protein 1; NSAP 1; NSAP1; pp68; RP1 3J17.2; Synaptotagmin binding cytoplasmic RNA interacting protein; Synaptotagmin-binding; SYNCRIP. |
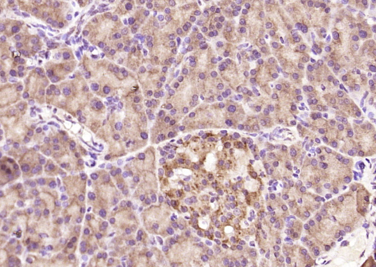
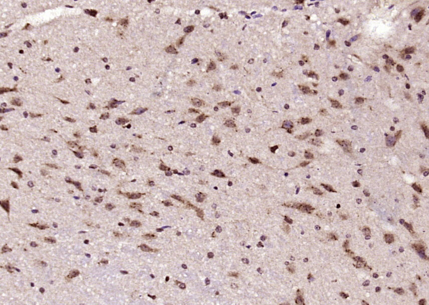
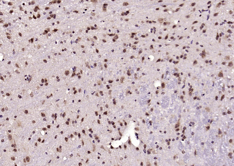
| 产品应用 | IHC-P=1:100-500, IHC-F=1:100-500, IF=1:100-500 Not yet tested in other applications. |
| 交叉反应 | Mouse, Rat (Human, Cow, Horse) |
| 抗体来源 | Rabbit |
| 免疫原 | KLH conjugated synthetic peptide derived from human hnRNP Q |
| 亚型 | IgG |
| 性状 | Liquid |
| 纯化方法 | affinity purified by Protein A |
| 克隆类型 | Polyclonal |
| 理论分子量 | 69 kDa |
| 浓度 | 1mg/ml |
| 储存液 | 0.01M TBS (pH7.4) with 1% BSA, 0.02% Proclin300 and 50% Glycerol. |
| 研究领域 | Epigenetics and Nuclear Signaling > DNA / RNA > RNA Processing Epigenetics and Nuclear Signaling > DNA / RNA > RNA Processing > Splicing Microbiology > Interspecies Interaction > Host Virus Interaction |
| 亚细胞定位 | Nucleus > nucleoplasm. Expressed predominantly in the nucleoplasm and Cytoplasm. Microsome. Endoplasmic reticulum. Nucleus. The tyrosine phosphorylated form bound to RNA is found in microsomes (By similarity). Localized in cytoplasmic mRNP granules containing untranslated mRNAs. |
| 组织特异性 | Ubiquitously expressed. Detected in heart, brain, pancreas, placenta, spleen, lung, liver, skeletal muscle, kidney, thymus, prostate, uterus, small intestine, colon, peripheral blood and testis. |
| 翻译后修饰 | Phosphorylated on tyrosine. The membrane-bound form found in microsomes is phosphorylated in vitro by insulin receptor tyrosine kinase (INSR). Phosphorylation is inhibited upon binding to RNA, whereas the cytoplasmic form is poorly phosphorylated (By similarity). Phosphorylated upon DNA damage, probably by ATM or ATR. |
| 相似性 | Contains 3 RRM (RNA recognition motif) domains. |
| 功能 | Heterogenous nuclear ribonucleoprotein (hnRNP) implicated in mRNA processing mechanisms. Component of the CRD-mediated complex that promotes MYC mRNA stability. Isoform 1, isoform 2 and isoform 3 are associated in vitro with pre-mRNA, splicing intermediates and mature mRNA protein complexes. Isoform 1 binds to apoB mRNA AU-rich sequences. Isoform 1 is part of the APOB mRNA editosome complex and may modulate the postranscriptional C to U RNA-editing of the APOB mRNA through either by binding to A1CF (APOBEC1 complementation factor), to APOBEC1 or to RNA itself. May be involved in translationally coupled mRNA turnover. Implicated with other RNA-binding proteins in the cytoplasmic deadenylation/translational and decay interplay of the FOS mRNA mediated by the major coding-region determinant of instability (mCRD) domain. Interacts in vitro preferentially with poly(A) and poly(U) RNA sequences. Isoform 3 may be involved in cytoplasmic vesicle-based mRNA transport through interaction with synaptotagmins. |
| 保存条件 | Shipped at 4℃. Store at -20℃ for one year. Avoid repeated freeze/thaw cycles. |
| 注意事项 | This product as supplied is intended for research use only, not for use in human, therapeutic or diagnostic applications. |
| 背景资料 | This gene encodes a member of the cellular heterogeneous nuclear ribonucleoprotein (hnRNP) family. hnRNPs are RNA binding proteins that complex with heterogeneous nuclear RNA (hnRNA) and regulate alternative splicing, polyadenylation, and other aspects of mRNA metabolism and transport. The encoded protein plays a role in multiple aspects of mRNA maturation and is associated with several multiprotein complexes including the apoB RNA editing-complex and survival of motor neurons (SMN) complex. Alternatively spliced transcript variants encoding multiple isoforms have been observed for this gene, and a pseudogene of this gene is located on the short arm of chromosome 20. [provided by RefSeq, Dec 2011] |
| 应用 | 推荐稀释比例 |
| {IHC-P} | {1:100-500} |
| {IHC-F} | {1:100-500} |
| {IF} | {1:100-500} |



风险提示:丁香通仅作为第三方平台,为商家信息发布提供平台空间。用户咨询产品时请注意保护个人信息及财产安全,合理判断,谨慎选购商品,商家和用户对交易行为负责。对于医疗器械类产品,请先查证核实企业经营资质和医疗器械产品注册证情况。
文献和实验Nucleic Acid Programmable Protein Arrays: Versatile Tools for Array‐Based Functional Protein Studies
scale. Methods Mol. Biol. 375:57‐78. Li, Q.Z., Zhou, J., Wandstrat, A.E., Carr‐Johnson, F., Branch, V., Karp, D.R., Mohan, C., Wakeland, E.K., and Olsen, N.J. 2007. Protein
Models and Analysis of Atherosclerosis, Restenosis, and Aneurysm Formation in the Mouse
CD3 SP‐7 Rabbit SP7 Cryo/paraffin
技术资料暂无技术资料 索取技术资料






