相关产品推荐更多 >
万千商家帮你免费找货
0 人在求购买到急需产品
- 详细信息
- 文献和实验
- 技术资料
- 应用范围:
产品信息以Bioss网站为准
- 规格:
50ul/100ul/200ul
| 规格: | 50ul | 产品价格: | ¥1180.0 |
|---|---|---|---|
| 规格: | 100ul | 产品价格: | ¥1980.0 |
| 规格: | 200ul | 产品价格: | ¥2800.0 |
| 产品编号 | bs-10122R |
| 英文名称 | phospho-CD130/gp130 (Ser782) Rabbit pAb |
| 中文名称 | 磷酸化gp130抗体 |
| 英文别名 | gp130(phospho S782); gp130(phospho Ser782); p-gp130(Ser782); Interleukin-6 receptor subunit beta; IL-6R-beta; Interleukin-6 signal transducer; Membrane glycoprotein 130; gp130; CDw130; Oncostatin-M receptor subunit alpha; CD_antigen; CD130; GP130 RAPS; gp130 transducer chain; GP130-RAPS; IL6 ST; IL6R-beta; IL6ST.IL6R-beta; IL6RB_HUMAN; IL-6 receptor subunit beta; IL-6R subunit beta; IL-6RB. |
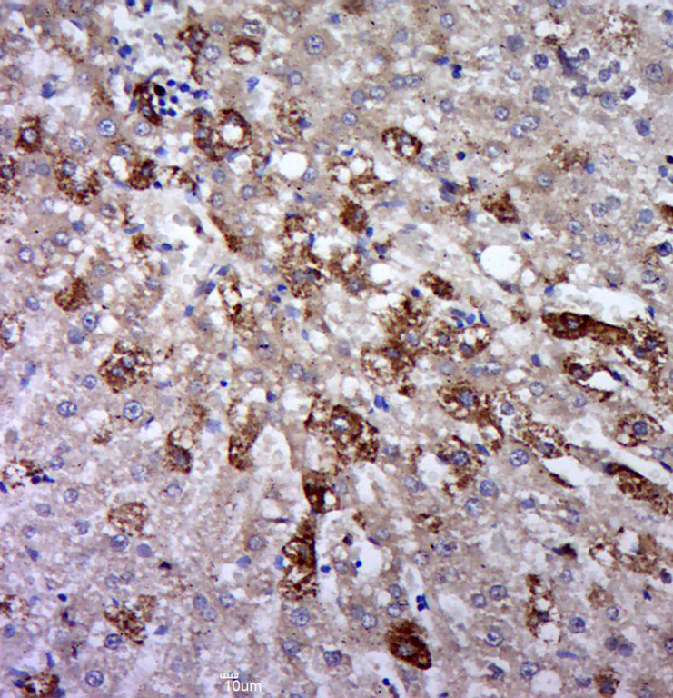
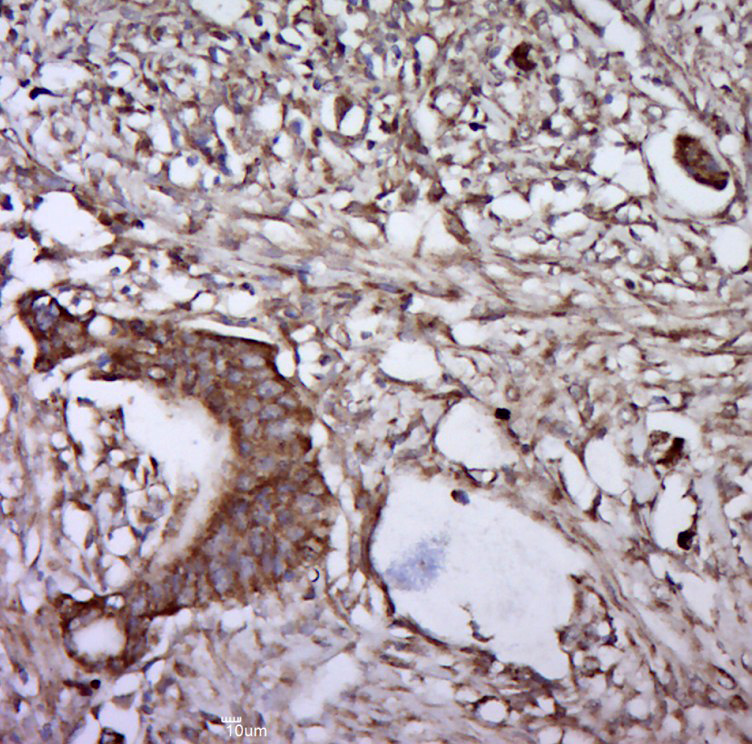
| 产品应用 | WB=1:500-2000, IHC-P=1:100-500, IHC-F=1:100-500, IF=1:100-500, ELISA=1:5000-10000 Not yet tested in other applications. |
| 交叉反应 | Human, Rat, Rabbit (Mouse, Chicken, Dog, Pig, Cow, Horse) |
| 抗体来源 | Rabbit |
| 免疫原 | KLH conjugated synthesised phosphopeptide derived from human gp130 around the phosphorylation site of Ser782 |
| 亚型 | IgG |
| 性状 | Liquid |
| 纯化方法 | affinity purified by Protein A |
| 克隆类型 | Polyclonal |
| 浓度 | 1mg/ml |
| 储存液 | 0.01M TBS (pH7.4) with 1% BSA, 0.02% Proclin300 and 50% Glycerol. |
| 研究领域 | Cancer > Signal transduction Cardiovascular > Atherosclerosis > Apoptosis Cardiovascular > Heart > Apoptosis Cardiovascular > Heart > Hypertrophy Cell Biology > Apoptosis > Intracellular > Associated Proteins Immunology > Cell Type Markers > CD > Cytokines Signal Transduction > Adapters > Transmembrane |
| 亚基 | Interacts with INPP5D/SHIP1. Forms heterodimers composed of LIPR and IL6ST (type I OSM receptor). Also forms heterodimers composed of OSMR and IL6ST (type II OSM receptor). Homodimer. The homodimer binds two molecules of herpes virus IL6. Component of a hexamer of two molecules each of IL6, IL6R and IL6ST. Interacts with HCK. |
| 亚细胞定位 | Isoform 1: Cell membrane; Single-pass type I membrane protein. Isoform 2: Secreted. |
| 组织特异性 | Found in all the tissues and cell lines examined. Expression not restricted to IL6 responsive cells. |
| 翻译后修饰 | Phosphorylation of Ser-782 down-regulates cell surface expression. Heavily N-glycosylated. |
| 相似性 | Belongs to the type I cytokine receptor family. Type 2 subfamily.
Contains 5 fibronectin type-III domains. Contains 1 Ig-like C2-type (immunoglobulin-like) domain. |
| 功能 | Signal-transducing molecule. The receptor systems for IL6, LIF, OSM, CNTF, IL11, CTF1 and BSF3 can utilize gp130 for initiating signal transmission. Binds to IL6/IL6R (alpha chain) complex, resulting in the formation of high-affinity IL6 binding sites, and transduces the signal. Does not bind IL6. May have a role in embryonic development. The type I OSM receptor is capable of transducing OSM-specific signaling events. |
| 保存条件 | Shipped at 4℃. Store at -20℃ for one year. Avoid repeated freeze/thaw cycles. |
| 注意事项 | This product as supplied is intended for research use only, not for use in human, therapeutic or diagnostic applications. |
| 背景资料 | bs-1459P is one synthetic peptide derived from human IL6R beta. CD130 is a signal transducer shared by many cytokines, including interleukin 6 (IL6), ciliary neurotrophic factor (CNTF), leukemia inhibitory factor (LIF), and oncostatin M (OSM). This protein functions as a part of the cytokine receptor complex. The activation of this protein is dependent upon the binding of cytokines to their receptors. vIL6, a protein related to IL6 and encoded by the Kaposi sarcoma-associated herpesvirus, can bypass the interleukin 6 receptor (IL6R) and directly activate this protein. Knockout studies in mice suggested a critical role of the gene encoding this protein in regulating myocyte apoptosis. Alternatively spliced transcript variants encoding distinct isoforms have been described. |
| 应用 | 推荐稀释比例 |
| {WB} | {1:500-2000} |
| {IHC-P} | {1:100-500} |
| {IHC-F} | {1:100-500} |
| {IF} | {1:100-500} |
| {ELISA} | {1:5000-10000} |




Lane 1: Human HepG2 cell Lysates
Lane 2: Human HUVEC cell Lysates
Primary: Anti-phospho-CD130gp130 (Ser782) (bs-10122R) at 1/1000 dilution
Secondary: IRDye800CW Goat Anti-Rabbit IgG at 1/20000 dilution
Predicted band size: 130kDa
Observed band size: 130kDa
风险提示:丁香通仅作为第三方平台,为商家信息发布提供平台空间。用户咨询产品时请注意保护个人信息及财产安全,合理判断,谨慎选购商品,商家和用户对交易行为负责。对于医疗器械类产品,请先查证核实企业经营资质和医疗器械产品注册证情况。
文献和实验[IF={{ 5 }}] {Ling Zuo. et al. Therapeutic potential of icariin in rats with letrozole and high-fat diet-induced polycystic ovary syndrome. EUR J PHARMACOL. 2023 Jun;:175825} {IHC,WB} {Rat}
技术资料暂无技术资料 索取技术资料









