相关产品推荐更多 >
万千商家帮你免费找货
0 人在求购买到急需产品
- 详细信息
- 文献和实验
- 技术资料
- 应用范围:
产品信息以Bioss网站为准
- 规格:
50ul/100ul/200ul
| 规格: | 50ul | 产品价格: | ¥1180.0 |
|---|---|---|---|
| 规格: | 100ul | 产品价格: | ¥1980.0 |
| 规格: | 200ul | 产品价格: | ¥2800.0 |
| 产品编号 | bs-3914R |
| 英文名称 | AANAT Rabbit pAb |
| 中文名称 | 芳香胺N-乙酰化转移酶抗体 |
| 英文别名 | SNAT_HUMAN; AANAT; Arylalkylamine N acetyltransferase; Serotonin N-acetyltransferase; SNAT. |
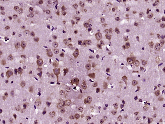
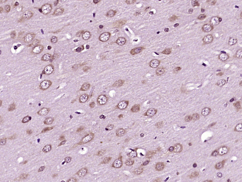
| 产品应用 | WB=1:500-2000, IHC-P=1:100-500, IHC-F=1:100-500, IF=1:100-500 Not yet tested in other applications. |
| 交叉反应 | Mouse, Rat (Human, Dog) |
| 抗体来源 | Rabbit |
| 免疫原 | KLH conjugated synthetic peptide derived from human AANAT |
| 亚型 | IgG |
| 性状 | Liquid |
| 纯化方法 | affinity purified by Protein A |
| 克隆类型 | Polyclonal |
| 理论分子量 | 23 kDa |
| 浓度 | 1mg/ml |
| 储存液 | 0.01M TBS (pH7.4) with 1% BSA, 0.02% Proclin300 and 50% Glycerol. |
| 研究领域 | Cancer > Cancer Metabolism > Metabolic signaling pathway > Hormone biosynthesis Metabolism > Pathways and Processes > Endocrine metabolism > Hormone biosynthesis Metabolism > Types of disease > Cancer Neuroscience > Neurology process > Circadian Rhythm > Hormones Neuroscience > Neurotransmitter > Biogenic Amines > Serotonin / 5HT |
| 亚基 | Monomer (By similarity). Interacts with several 14-3-3 proteins, including YWHAB, YWHAE, YWHAG and YWHAZ, preferentially when phosphorylated at Thr-31. Phosphorylation on Ser-205 also allows binding to YWHAZ, but with lower affinity. The interaction with YWHAZ considerably increases affinity for arylalkylamines and acetyl-CoA and protects the enzyme from dephosphorylation and proteasomal degradation (By similarity). It may also prevent thiol-dependent inactivation (By similarity). |
| 亚细胞定位 | Cytoplasm. |
| 组织特异性 | Highly expressed in pineal gland and at lower levels in the retina. Weak expression in several brain regions and in the pituitary gland. |
| 翻译后修饰 | cAMP-dependent phosphorylation on both N-terminal Thr-31 and C-terminal Ser-205 regulates AANAT activity by promoting interaction with 14-3-3 proteins. |
| 相似性 | Belongs to the acetyltransferase family. AANAT subfamily. Contains 1 N-acetyltransferase domain. |
| 功能 | Controls the night/day rhythm of melatonin production in the pineal gland. Catalyzes the N-acetylation of serotonin into N-acetylserotonin, the penultimate step in the synthesis of melatonin. |
| 保存条件 | Shipped at 4℃. Store at -20℃ for one year. Avoid repeated freeze/thaw cycles. |
| 注意事项 | This product as supplied is intended for research use only, not for use in human, therapeutic or diagnostic applications. |
| 背景资料 | The protein encoded by this gene belongs to the acetyltransferase superfamily. It is the penultimate enzyme in melatonin synthesis and controls the night/day rhythm in melatonin production in the vertebrate pineal gland. Melatonin is essential for the function of the circadian clock that influences activity and sleep. This enzyme is regulated by cAMP-dependent phosphorylation that promotes its interaction with 14-3-3 proteins and thus protects the enzyme against proteasomal degradation. This gene may contribute to numerous genetic diseases such as delayed sleep phase syndrome. Alternatively spliced transcript variants encoding different isoforms have been found for this gene. [provided by RefSeq]. |
| 应用 | 推荐稀释比例 |
| {WB} | {1:500-2000} |
| {IHC-P} | {1:100-500} |
| {IHC-F} | {1:100-500} |
| {IF} | {1:100-500} |



Lane 1: Mouse Ovary tissue lysates
Lane 2: Mouse Lymph node tissue lysates
Primary: Anti-AANAT (bs-3914R) at 1/1000 dilution
Secondary: IRDye800CW Goat Anti-Rabbit IgG at 1/20000 dilution
Predicted band size: 23 kDa
Observed band size: 28 kDa
风险提示:丁香通仅作为第三方平台,为商家信息发布提供平台空间。用户咨询产品时请注意保护个人信息及财产安全,合理判断,谨慎选购商品,商家和用户对交易行为负责。对于医疗器械类产品,请先查证核实企业经营资质和医疗器械产品注册证情况。
文献和实验[IF={{ 5.249 }}] {Zhang, WL.. et al. Expression of arylalkylamine n-acetyltransferase (AANAT) and acetylserotonin o-methyltransferase (ASMT) in the corpus luteum of pregnant sows and synthesis of melatonin in luteal cells. 2021 Nov 24} {WB,IHC} {Pig}
[IF={{ 2.923 }}] {Hongwei Duan. et al. Melatonin regulates dihydrotestosterone formation via its membrane receptor in the epididymal epithelial cells of sheep. THERIOGENOLOGY. 2022 Dec;:} {WB} {Sheep}
[IF={{ 2.7 }}] {Tian Niu. et al. Melatonin Sources in Sheep Rumen and Its Role in Reproductive Physiology. ANIMALS. 2024 Jan;14(23):3451} {WB} {Sheep}
[IF={{ 2.589 }}] {Xiao L et al. Profile of melatonin and its receptors and synthesizing enzymes in cumulus-oocyte complexes of the developing sheep antral follicle-a potential estradiol-mediated mechanism. Reprod Biol Endocrinol. 2019 Jan 3;17(1):1.} {IHC,WB} {Sheep}
[IF={{ 14.3 }}] {Shiyin Li. et al. Homeostatic Shrinkage of Dendritic Spines Requires Melatonin Type 3 Receptor Activation During Sleep. ADV SCI. 2024 Aug;:2400253} {IHC} {Rat}
= NAL), appears to form upon oxidative cyclization of the nonfluorescent 2:1 lysine-HNE Michael adduct-Schiff base cross-link (Scheme 1). Polyclonal antibody (PAb) to the NAL-HNE fluorophore was raised in rabbit and found to be highly specific
GE Healthcare Benzamidine Sepharose™ 6B is p-aminobenzamidine covalently attached to Sepharose 6B by the epoxy coupling method. p-Aminobenzamidine (PAB), is a synthetic inhibitor of trypsin-like serine protease. Trypsin and trypsin
Nucleic Acid Programmable Protein Arrays: Versatile Tools for Array‐Based Functional Protein Studies
.g., Sigma) 50 mg/ml bis‐sulfosuccinimdylsuberate (BS3 ;Pierce, cat. no. PI 21580) in dimethylsulfoxide (DMSO) 5 mg/ml
技术资料暂无技术资料 索取技术资料









