研选同类产品更多 >
万千商家帮你免费找货
0 人在求购买到急需产品
- 详细信息
- 用户评价
- 文献和实验
- 技术资料
- 抗体英文名:
NFkB-p65(Phospho-Thr254) Antibody
- 靶点:
NFkB-p65
- 浓度:
1.0mg/ml
- 应用范围:
WB IHC IF
- 宿主:
Rabbit
- 适应物种:
Hu Ms Rt
- 克隆性:
Polyclonal
- 保存条件:
Store at -20℃
- 形态:
liquid
- 免疫原:
Peptide sequence around phosphorylation site of threonine 254 (F-R-T(p)-P-P) derived from Human NFkB-p65.
Product Name:
NFkB-p65(Phospho-Thr254) Antibody
Host Species:
Rabbit
Clonality:
Polyclonal
Purification:
Antibodies were produced by immunizing rabbits with synthetic phosphopeptide and KLH conjugates. Antibodies were purified by affinity-chromatography using epitope-specific phosphopeptide. Non-phospho specific antibodies were removed by chromatogramphy using non-phosphopeptide.
Applications:
WB IHC IF
Species Reactivity:
Hu Ms Rt
Specificity:
The antibody detects endogenous level of NF-kB p65 only when phosphorylated at threonine 254.
Immunogen Type:
Peptide-KLH
Immunogen Description:
Peptide sequence around phosphorylation site of threonine 254 (F-R-T(p)-P-P) derived from Human NFkB-p65.
Target Name:
NFkB-p65
Modification:
Phospho
Alternative Names:
NFKB3; RELA; TF65; Transcription factor p65; p65
Accession No.:
Swiss-Prot: Q04206
NCBI Protein: NP_001138610.1
Concentration:
1.0mg/ml
Images

Western blot analysis of extracts from 3T3 cells untreated or treated with TNF-a using NFkB-p65(Phospho-Thr254) Antibody #11010.

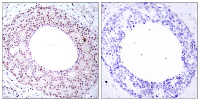
Immunohistochemical analysis of paraffin-embedded human breast carcinoma tissue using NFkB-p65(Phospho-Thr254) Antibody #11010(left) or the same antibody preincubated with blocking peptide(right).

Immunofluorescence staining of methanol-fixed Hela using NFkB-p65(Phospho-Thr254) Antibody #11010.
风险提示:丁香通仅作为第三方平台,为商家信息发布提供平台空间。用户咨询产品时请注意保护个人信息及财产安全,合理判断,谨慎选购商品,商家和用户对交易行为负责。对于医疗器械类产品,请先查证核实企业经营资质和医疗器械产品注册证情况。
用户评价
暂无用户评价
文献和实验PMID: 32347623
人核转录因子p65(NF-kB p65)ELISA试剂盒 说明书
上海西唐生物科技有限公司 021-55229872, 65333639 www.westang.com 人核转录因子p65 ( NF - kB p65 )ELISA 试剂盒 原理 本实验采用双抗体夹心 ABC-ELISA 法。用抗人 NF- kB p65单抗包被于酶标板上,标准品和样品中的 NF- kB p65 与单抗结合,加入生物素化的抗人NF- kB p65 ,形成免疫复合
大鼠核转录因子p65(NF-kB p65)ELISA试剂盒 说明书
上海西唐生物科技有限公司 021-55229872, 65333639 www.westang.com 大鼠核转录因子 p65(NF- kB p65 )ELISA 试剂盒 原理 本实验采用双抗体夹心 ABC-ELISA 法。用抗大鼠 NF- kB p65 单抗包被于酶标板上,标准品和样品中的 NF- kB p65 与单抗结合,加入生物素化的抗大鼠 NF- kB p65 ,形成免疫复合物连接在板上,辣根
小鼠核转录因子p65(NF-kB p65)ELISA试剂盒 说明书
上海西唐生物科技有限公司 021-55229872, 65333639 www.westang.com 小鼠核转录因子p65 ( NF - kB p65 )ELISA 试剂盒 原理 本实验采用双抗体夹心 ABC-ELISA 法。用抗小鼠 NF- kB p65单抗包被于酶标板上,标准品和样品中的 NF













