研选同类产品更多 >
万千商家帮你免费找货
0 人在求购买到急需产品
- 详细信息
- 用户评价
- 文献和实验
- 技术资料
- 抗体英文名:
c-Jun(Phospho-Ser73) Antibody
- 靶点:
c-Jun
- 浓度:
1.0mg/ml
- 应用范围:
WB IHC
- 宿主:
Rabbit
- 适应物种:
Hu Ms Rt
- 克隆性:
Polyclonal
- 保存条件:
Store at -20℃
- 形态:
liquid
- 免疫原:
Peptide sequence around phosphorylation site of serine 73 (L-A-S(p)-P-E) derived from Human c-Jun.
c-Jun(Phospho-Ser73) Antibody
Host Species:
Rabbit
Clonality:
Polyclonal
Purification:
Antibodies were produced by immunizing rabbits with synthetic phosphopeptide and KLH conjugates. Antibodies were purified by affinity-chromatography using epitope-specific phosphopeptide. Non-phospho specific antibodies were removed by chromatogramphy using non-phosphopeptide.
Applications:
WB IHC
Species Reactivity:
Hu Ms Rt
Specificity:
The antibody detects endogenous level of c-Jun only when phosphorylated at serine 73.
Immunogen Type:
Peptide-KLH
Immunogen Description:
Peptide sequence around phosphorylation site of serine 73 (L-A-S(p)-P-E) derived from Human c-Jun.
Target Name:
c-Jun
Modification:
Phospho
Alternative Names:
AH119; AP1; Jun A; c-Jun; p39
Accession No. :
Swiss-Prot: P05412
NCBI Protein: NP_002219.1
Concentration:
1.0mg/ml
Images:

Western blot analysis of extracts from PC14 cells untreated or treated with EGF using c-Jun(Phospho-Ser73) Antibody #11003.

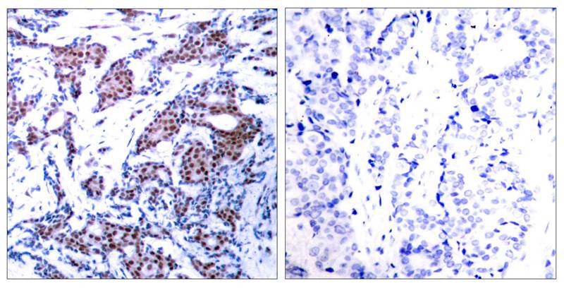
Immunohistochemical analysis of paraffin-embedded human breast carcinoma tissue using c-Jun(Phospho-Ser73) Antibody #11003(left) or the same antibody preincubated with blocking peptide(right).

Western blot analysis of extracts from C6 cells, treated with PMA or calf intestinal phosphatase (CIP), using c-Jun (Phospho-Ser73) Antibody #11003.
风险提示:丁香通仅作为第三方平台,为商家信息发布提供平台空间。用户咨询产品时请注意保护个人信息及财产安全,合理判断,谨慎选购商品,商家和用户对交易行为负责。对于医疗器械类产品,请先查证核实企业经营资质和医疗器械产品注册证情况。
用户评价
暂无用户评价
文献和实验PMID: 23191987
Increase in claudin-2 expression by an EGFR/MEK/ERK/c-Fos pathway in lung adenocarcinoma A549 cells. In Biochim Biophys Acta on 2012 Jun by Akira Ikari, Tomonari Sato, et al..PMID: 22546605, , (2012),
PMID: 22546605
. These residues (Ser 63 and 73) are required to be phosphorylated for efficient transactivation function. The kinases responsible for this modification in vivo are the SAPK/JNKs. These kinases bind with very high affinity to a region in c-Jun termed the delta
secondary antibody review -- data from 99 publications
cytometry used as a control to detect cell responses targeted antigen 7 Alexa Fluor 488 7 Cy3 8 goat IgG Alexa Fluor 488 1:2000 detect antibody binding in human embryonic kidney 293T cells Invitrogen 9 donkey
licanming 我的实验是用VEGF处理细胞后测定细胞PKC激活水平,拟采用Western blot的方法,用ECL法检测,这样分析PKC激活程度结果国际上认可吗? 我在Cell Signaling Technology上,查到 2261 Phospho-(Ser) PKC Substrate Antibody W IP E D 9371 Phospho-PKC (pan) (betaII Ser660) Antibody W IP













