研选同类产品更多 >
万千商家帮你免费找货
0 人在求购买到急需产品
- 详细信息
- 用户评价
- 文献和实验
- 技术资料
- 抗体英文名:
Akt(Ab-473) Antibody
- 靶点:
Akt
- 浓度:
1.0mg/ml
- 应用范围:
WB IHC
- 宿主:
Rabbit
- 适应物种:
Hu Ms
- 克隆性:
多克隆
- 保存条件:
Store at -20℃
- 形态:
liquid
- 免疫原:
Peptide sequence around aa. 471~475 (Q-F-S-Y-S) derived from Human Akt.
Purification
Antibodies were produced by immunizing rabbits with synthetic peptide and KLH conjugates. Antibodies were purified by affinity-chromatography using epitope-specific peptide.
Specificity
The antibody detects endogenous level of total Akt protein.
Immunogen
TypePeptide-KLH
Immunogen Description
Peptide sequence around aa. 471~475 (Q-F-S-Y-S) derived from Human Akt.
Target Name
Akt
Alternative Names
AKT; C-AKT; PKB; PKB-alpha; RAC
Swiss-Prot: P31749
NCBI Protein: NP_001014431.1
Concentration
1.0mg/ml
Formulation
Supplied at 1.0mg/mL in phosphate buffered saline (without Mg2+ and Ca2+), pH 7.4, 150mM NaCl, 0.02% sodium azide and 50% glycerol.
Application Details
Predicted MW: 60kd
Western blotting: 1:500~1:1000
Immunohistochemistry: 1:50~1:100
Background
General protein kinase capable of phosphorylating several known proteins. Phosphorylates TBC1D4. Signals downstream of phosphatidylinositol 3-kinase (PI3K) to mediate the effects of various growth factors such as platelet-derived growth factor (PDGF), epidermal growth factor (EGF), insulin and insulin-like growth factor I (IGF-I). Plays a role in glucose transport by mediating insulin-induced translocation of the GLUT4 glucose transporter to the cell surface. Mediates the antiapoptotic effects of IGF-I. Mediates insulin-stimulated protein synthesis by phosphorylating TSC2 at 'Ser-939' and 'Thr-1462', thereby activating mTORC1 signaling and leading to both phosphorylation of 4E-BP1 and in activation of RPS6KB1. Promotes glycogen synthesis by mediating the insulin-induced activation of glycogen synthase.
Baudhuin LM, et al. (2004) FASEB J Feb; 18(2): 341-3.
Min YH, et al. (2004) Cancer Res; 64(15): 5225-31.
Feng J, et al. (2004) J Biol Chem; 279(34): 35510-7.
Ayala G, et al. (2004) Clin Cancer Res; 10(19): 6572-8.
Lungu AO, et al. (2004) J Biol Chem; 279(47): 48794-800.
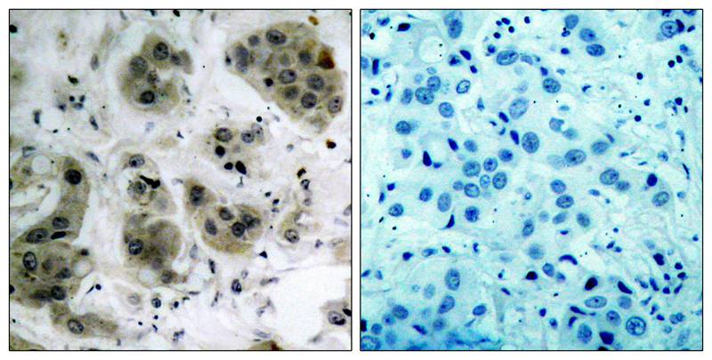
Images
Western blot analysis of extracts from 293 and 3T3 cells using Akt(Ab-473) Antibody #21054.
Immunohistochemical analysis of paraffin-embedded human breast carcinoma tissue using Akt(Ab-473) Antibody #21054(left) or the same antibody preincubated with blocking peptide(right).
产品详细信息请点击:Akt(Ab-473) Antibody
风险提示:丁香通仅作为第三方平台,为商家信息发布提供平台空间。用户咨询产品时请注意保护个人信息及财产安全,合理判断,谨慎选购商品,商家和用户对交易行为负责。对于医疗器械类产品,请先查证核实企业经营资质和医疗器械产品注册证情况。
用户评价
暂无用户评价
文献和实验PMID: 30683915
RheIn from Rheum rhabarbarum Inhibits Hydrogen-Peroxide-Induced Oxidative Stress in IntestInal Epithelial Cells Partly through PI3K/Akt-Mediated Nrf2/HO-1 Pathways. In J Agric Food Chem on 2019 Mar 6, by Zhuang S, Yu R, et al..PMID: 30779558, , (2019),
PMID: 30779558
Synthesis of a novel platInum(II) complex with 6,7-dichloro-5,8-quInolInedione and the study of its antitumor mechanism In testicular semInoma. In J Inorg Biochem on2019 Aug by Li Z1, Zhou J1, et al.. PMID:31055215, , (2019),
PMID: 31055215
IcariIn reduces high glucose?Induced endothelial progenitor cell dysfunction via InhibitIng the p38/CREB pathway and activatIng the Akt/eNOS/NO pathway. In Exp Ther Med on 2019 Dec by Chen S, Wang Z, et al..PMID:31772646, , (2019),
PMID: 31772646
Ischemic Postconditioning Attenuates Liver Warm Ischemia-Reperfusion Injury Through Akt-eNOS-NO-HIF Pathway.In J Biomed Sci on 2011 Oct 28 by Jia Y Guo, Tong Yang,et al..PMID:22035453
PMID:22035453
Rb1 postconditioning attenuates liver warm ischemia-reperfusion injury through ROS-NO-HIF pathway.In Life Sci on 2011 Mar 28 by
Guo Y, Yang T,et al..PMID:21300075
PMID:21300075
The effects of artesunate on the expression of EGFR and ABCG2 in A549 human lung cancer cells and a xenograft model.In Molecules
on 2011 Dec 19 by Ma H1, Yao Q, et al..PMID:22183882
PMID:22183882
Monocyte to macrophage differentiation-associated (MMD) positively regulates ERK and Akt activation and TNF-α and NO production
in macrophages.In Mol Biol Rep on 2012 May by Liu Q, Zheng J, et al..PMID:22203480
PMID:22203480
Transactivation of human osteopontin promoter by human T-cell leukemia virus type 1-encoded Tax protein. In Leuk Res on 2010 Jun
by Zhang J, Yamada O, et al..PMID:19767100
PMID:19767100
Canonical notch pathway protects hepatocytes from ischemia/reperfusion injury in mice by repressing reactive oxygen species production through JAK2/STAT3 signaling.In Hepatology on 2011 Sep 2 by Yu HC, Qin HY,et al..PMID:21633967
PMID:21633967
Loss of Fatty Acid Synthase Inhibits the "HER2-PI3K/Akt Axis" Activity and Malignant Phenotype of Caco-2 Cells.In Lipids Health Dis on 2013 Jun 1 by Nan Li, Heng Lu,et al..PMID:23725225
PMID:23725225
Phosphoproteome analysis reveals an important role for glycogen synthase kinase-3 in perfluorododecanoic acid-induced rat liver toxicity. In Toxicol Lett on 2013 Mar 27 by Hongxia Zhang, Junjie Hou, et al..PMID: 23353032
PMID: 23353032
FAM129B/MINERVA, a novel adherens junction-associated protein, suppresses apoptosis in HeLa cells. In J Biol Chem on 2011 Mar 25 by Song Chen, Hedeel Guy Evans, et al..PMID: 21148485
PMID: 21148485
Transforming growth factor β induces expression of connective tissue growth factor in hepatic progenitor cells through Smad independent signaling. In Cell Signal on 2013 Oct by Ze-yang Ding , Guan-nan Jin, et al..PMID: 23727026
PMID: 23727026
The “HER2–PI3K/Akt–FASN Axis” Regulated Malignant Phenotype of Colorectal Cancer Cells. In Lipids on 2012 Apr by Nan Li, Xiaodong Bu, et al..PMID:22218925
PMID:22218925
A Proteomic approach for protein‐profiling the oncogenic ras induced transformation (H‐, K‐, and N‐Ras) in NIH/3T3 mouse embryonic fibroblasts. In Proteomics on 2008 Aug by Seyoon Kim, Yong Zu Lee, et al..PMID:18601226
PMID:18601226
FLZ alleviates the memory deficits in transgenic mouse model of Alzheimer's disease via decreasing beta-amyloid production and tau hyperphosphorylation. In PLoS One on 2013 Nov 4 by Xiu-Qi Bao, Ning Li, et al..PMID: 24223757
PMID: 24223757
Silencing of advanced glycosylation and glycosylation and product-specific receptor (RAGE) inhibits the metastasis and growth of non-small cell lung cancer.In Am J Transl Res on 2017Jun 15 by Yan Xia Yu, Wen Chong Pan,et al..PMID: 28670367
PMID: 28670367
Efficient Expression of Stable Recombinant Human Insulin-Like Growth factor-1 Fusion With Human Serum Albumin in Chinese Hamster Ovary Cells.In Prep Biochem Biotechnol on 2017 Aug 9 by Aini Wan , Dongsheng Xu,et al..PMID: 28281882
PMID: 28281882
Hydrogen Sulfide Ameliorated L-NAME-induced Hypertensive Heart Disease by the Akt/eNOS/NO Pathway. In Exp Biol Med (Maywood) on 2017 Dec by Sheng Jin, Xu Teng,et al..PMID: 28971696
PMID: 28971696
Scutellarin suppresses migration and invasion of human hepatocellular carcinoma by inhibiting the STAT3/Girdin/Akt activity.In Biochem Biophys Res Commun on 2017 Jan 29 by Yang Ke, Tianhao Bao,,et al..PMID: 27998773
PMID: 27998773
MicroRNA-19a functions as an oncogene by regulating PTEN/AKT/pAKT pathway in myeloma.In Leuk Lymphoma on 2017 Apr by Xiaoying Zhang, Yafang Chen,et al..PMID: 27830963
PMID: 27830963
Radix Puerariae and Fructus Crataegi Mixture Inhibits Renal Injury in Type 2 Diabetes via Decreasing of AKT/PI3K.In BMC Complement Altern Med on 2017 Sep 8 by Zhengyue Chen, Yanyan Yuan ,et al..PMID: 28886733
PMID: 28886733
Phosphatase and Tensin Homolog Deleted on Chromosome 10 Degradation Induced by NEDD4 Promotes Acquired Erlotinib Resistance in Non-Small-Cell Lung Cancer.In Tumour Biol on 2017 Jul by Huake Sun, Huiwen Ma,et al..PMID: 28714370
PMID: 28714370
Tunneling Nanotubes Promote Intercellular Mitochondria Transfer Followed by Increased Invasiveness in Bladder Cancer Cells.In Oncotarget on 2017 Feb 28 by Jinjin Lu, Xiufen Zheng,et al..PMID: 28107184
PMID: 28107184
The use of hollow mesoporous silica nanospheres to encapsulate bortezomib and improve efficacy for non-small cell lung cancer therapy.In Biomaterials.On 2014 Jan by Shen J, Song G et al..PMID:24125776
PMID:24125776
Bruceine D induces apoptosis in human chronic myeloid leukemia K562 cells via mitochondrial pathway.In Am J Cancer Res on 2016 Mar 15 by Jian-Ye Zhang, Min-Ting Lin et al..PMID: 27186433
PMID: 27186433
Hepatic SATB1 induces paracrine activation of hepatic stellate cells and is upregulated by HBx.In Sci Rep.On 2016 Nov 24 by Gong J, Tu W et al..PMID:27883059
PMID:27883059
Effects of diesel exhaust particles on microRNA-21 in human bronchial epithelial cells and potential carcinogenic mechanisms.In Mol Med Rep on 2015 Aug by Fang Zhou, Suli Li et al..PMID:25901472
PMID:25901472
miR-223 reverses the resistance of EGFR-TKIs through IGF1R/PI3K/Akt signaling pathway.In Int J Oncol.On 2016 May by J Han, F Zhao et al..PMID: 26936292
PMID: 26936292
Short-Term Curcumin Gavage Sensitizes Insulin Signaling in Dexamethasone-Treated C57BL/6 Mice.In J Nutr.On 2015 Oct by Tian L, Zeng K et al..PMID:26338887
PMID:26338887
The effects of cannabidiol and its synergism with bortezomib in multiple myeloma cell lines. A role for transient receptor potential vanilloid type-2.In Int J Cancer.On 2014 Jun 1 by Morelli MB, Offidani M et al..PMID: 24293211
PMID: 24293211
Acetylcholine inhibits tumor necrosis factor α activated endoplasmic reticulum apoptotic pathway via EGFR‐PI3K signaling in cardiomyocytes.In J Cell Physiol on 2015 Apr by Yi Miao 1 , Xue-Yuan Bi et al..PMID:25201632
PMID:25201632
Effect of Fructus Ligustri Lucidi on osteoblastic like cell-line MC3T3-E1.In J Ethnopharmacol on 2015 Jul 21 by Qin Li, Ying-sai Fan et al..PMID:25978950
PMID:25978950
The role of NAD+-dependent isocitrate dehydrogenase 3 subunit α in AFB1 induced liver lesion.In Toxicol Lett on 2014 Jan 30 by Chi Yang , Jue Fan et al..PMID:24211421
PMID:24211421
Neuroprotective effects of ginseng protein on PI3K/Akt signaling pathway in the hippocampus of D-galactose/AlCl3 inducing rats model of Alzheimer’s disease.In J Ethnopharmacol on 2016 Feb 17 by Hongyan Li, Tingguo Kang et al..PMID: 26721223
PMID: 26721223
Combinational treatment of curcumin and quercetin against gastric cancer MGC-803 cells in vitro Molecules on 2015 Jun 22 by Jian-Ye Zhang , Min-Ting Lin et al..PMID:26111180
PMID:26111180
TDRG1 regulates chemosensitivity of seminoma TCam-2 cells to cisplatin via PI3K/Akt/mTOR signaling pathway and mitochondria-mediated apoptotic pathway.In Cancer Biol Ther on 2016 Jul 2 by Yu Gan , Yong Wang et al..PMID:27104982
PMID:27104982
Activation of liver X receptor enhances the proliferation and migration of endothelial progenitor cells and promotes vascular repair through PI3K/Akt/eNOS signaling pathway activation.In Vascul Pharmacol on 2014 Sep et al..PMID: 24892989
PMID: 24892989
Antitumour activity of the recombination polypeptide GST-NT21MP is mediated by inhibition of CXCR4 pathway in breast cancer.In Br J Cancer on 2014 Mar 4 by Tiefeng Jin, Jingchun Jin et al ..PMID:24629131
PMID:24629131
SNAILs promote G1 phase in selected cancer cells.In Int J Oncol on 2015 Nov by Ya-Lan Wu , Jian-Xin Xue et al ..PMID:26352801
PMID:26352801
H2O2 treatment or serum deprivation induces autophagy and apoptosis in naked mole-rat skin fibroblasts by inhibiting the PI3K/Akt signaling pathway.In Oncotarget on 2016 Dec 20 by Shanmin Zhao, Li Li et al..PMID:27863375
PMID:27863375
Diazoxide protects L6 skeletal myoblasts from H2O2-induced apoptosis via the phosphatidylinositol-3 kinase/Akt pathway.In Inflamm Res on 2016 Jan by Wei Chen , Yan Liu et al..PMID: 26525360
PMID: 26525360
The Effects of Xiangqing Anodyne Spray on treating acute soft-Tissue injury mainly depend on suppressing activations of AKT and p38 pathways.In Evid Based Complement Alternat Med on 2016 by Shudong Wang , Tao Li et al..PMID:27190541
PMID:27190541
An alternatively spliced variant of CXCR3 mediates the metastasis of CD133+ liver cancer cells induced by CXCL9.In Oncotarget on 2016 Mar 22 by Qiang Ding, Yujia Xia et al..PMID:26883105
PMID:26883105
Genipin derivatives protect RGC-5 from sodium nitroprusside-induced nitrosative stress. In Int J Mol Sci on 2016 Jan 19 by Rikang Wang, Jiaqiang Zhao,et al..PMID:26797604
PMID:26797604
FHL1C induces apoptosis in notch1-dependent T-ALL cells through an interaction with RBP-J. In BMC Cancer on 2014 Jun 22 by Wei Fu, Kai Wang, et al..PMID:24952875
PMID:24952875
The effects of cannabidiol and its synergism with bortezomib in multiple myeloma cell lines. A role for transient receptor potential vanilloid type-2. In Int J Cancer on 2014 Jun 1 by Maria Beatrice Morelli, Massimo Offidani, et al..PMID:24293211
PMID:24293211
Ginkgo biloba Extract EGb761 Attenuates Hyperhomocysteinemia-induced AD Like Tau Hyperphosphorylation and Cognitive Impairment in Rats. In Curr Alzheimer Res.On 2018 by Zeng K, Li M et al..PMID: 28847282
PMID: 28847282
Inhibition of miRNA‑21 attenuates the proliferation and metastasis of human osteosarcoma by upregulating PTEN.In Exp Ther Med.On 2018 Jan by Li C, Xu B et al..PMID:29434694
PMID:29434694
Essential Role of Polo-like Kinase 1 (Plk1) Oncogene in Tumor Growth and Metastasis of Tamoxifen-Resistant Breast Cancer.In Mol Cancer Ther. On 2018 Apr by Jeong SB, Im JH et al..PMID:29437878
PMID:29437878
Tetrahydroxystilbene Glucoside Regulates Proliferation, Differentiation, and OPG/RANKL/M-CSF Expression in MC3T3-E1 Cells via the PI3K/Akt Pathway.In Molecules. On 2018 Sep 10 by Fan YS, Li Q et al..PMID: 30201908
PMID: 30201908
出来的.像前面几位战友说的那样,可以考虑加大上样量 2. 是否WB的条件不好? 可以跑其他蛋白的WB看看,如果其他蛋白质都跑出来的很好的话, 可以考虑换个抗体试一试,,但是话说回来,cell signaling的p-AKT 很好的,我也用了好几年.ser473和T308都不错的. 3. 条带弱的话,可以用 can get sinal 去提高抗体的敏感度. BTW, 我自己跑p-akt的时候, 1抗是1:1500 2抗是 1:20000 good luck
receptorr 我在做HaCaT细胞的磷酸化Akt(473)时,背景比较高,该怎么办?(即未处理组的Akt比较高) 请高手支招。 谢谢 magichunter 说得太粗略了。 receptorr 我做的细胞是HaCaT 看看加入药物后HaCaT的磷酸化Akt是否有增高, 所以希望没有加药的那一组HaCaT的磷酸化Akt水平低 但是实际做时,发现没有
米宝 这俩天做实验,极其郁闷。我做的总AKt和pAkt,大鼠脑组织,第一次跑总AKT的时候,我觉得可能是因为蛋白是提取的浓度比较好吧,出来了一条浓浓的条带,三组总AKt都出了,接下来做pAkt,就出了一个带,效果挺明显的。后来再做pAkt的时候,跑了4张膜,显影的时候,太干净了,上面什么都没有,甚至连个杂带,斑点 都没!实验是在实验员的领导下完成的,技术上基本没什么纰漏,查阅本版面有关这问题方面的介绍,有的解释说pakt降解了!一抗是用的Phospho-Akt
技术资料暂无技术资料 索取技术资料












