相关产品推荐更多 >
万千商家帮你免费找货
0 人在求购买到急需产品
- 详细信息
- 文献和实验
- 技术资料
- 免疫原:
Purified recombinant fragment of Vimentin (aa2-466) expressed in E. Coli.
- 亚型:
IgG1
- 形态:
Liquid
- 保存条件:
Store as concentrated solution. Centrifuge briefly prior to opening vial. For short-term storage (1-2 weeks), store at 4ºC. For long-term storage, aliquot and store at -20ºC or below. Avoid multiple freeze-thaw cycles.
- 克隆性:
Monoclonal
- 标记物:
Unconjugated
- 适应物种:
Human, Monkey
- 保质期:
12 months from the shipping date of the product.
- 抗原来源:
Human
- 目录编号:
GTX83095
- 级别:
Primary Antibodies
- 库存:
Available
- 供应商:
GeneTex
- 宿主:
Mouse
- 应用范围:
WB, IHC-P, ELISA
- 靶点:
Vimentin
- 抗体英文名:
Vimentin antibody [4F2E9]
- 抗体名:
Vimentin 抗体 [4F2E9]
- 规格:
100 μl
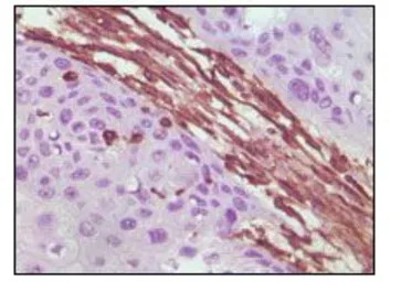
IHC-P analysis of human lung carcinoma tissue using GTX83095 Vimentin antibody [4F2E9].
WB analysis of HeLa (1), COS (2), HEK293 (3) and U20S (4) cell lysate using GTX83095 Vimentin antibody [4F2E9].
风险提示:丁香通仅作为第三方平台,为商家信息发布提供平台空间。用户咨询产品时请注意保护个人信息及财产安全,合理判断,谨慎选购商品,商家和用户对交易行为负责。对于医疗器械类产品,请先查证核实企业经营资质和医疗器械产品注册证情况。
文献和实验secondary antibody review -- data from 99 publications
cytometry used as a control to detect cell responses targeted antigen 7 Alexa Fluor 488 7 Cy3 8 goat IgG Alexa Fluor 488 1:2000 detect antibody binding in human embryonic kidney 293T cells Invitrogen 9 donkey
【求助】什么是micro-array analysis,怎么翻译?
%be%ae%e9%98%b5%e5%88%97 微阵列 Studies on Piezoelectric Insulin-C Peptide Micro-array Immunosensor 压电胰岛素-C肽微阵列免疫传感器研究 Real-time SPR Phase Detection for Protein Micro-array 蛋白质微阵列SPR实时相位检测 Research
Dynamic Monitoring of Cellular Remodeling Induced by the Transforming Growth Factor-β1
of the quality and quantity of remodeling of epithelial cells is a complex issue. It usually includes quantification of expression of epithelial and mesenchymal markers (E-cadherin, N-cadherin, and vimentin), visualization of cytoskeletal rebuilding (F-
技术资料暂无技术资料 索取技术资料








![CTAG1B antibody [3F10]](https://img1.dxycdn.com/2022/0328/820/8033024678768500453-14.jpg!wh200)


