相关产品推荐更多 >
万千商家帮你免费找货
0 人在求购买到急需产品
- 详细信息
- 文献和实验
- 技术资料
- 免疫原:
Purified recombinant fragment of CK5 expressed in E. Coli.
- 亚型:
IgG1
- 形态:
Liquid
- 保存条件:
Store as concentrated solution. Centrifuge briefly prior to opening vial. For short-term storage (1-2 weeks), store at 4ºC. For long-term storage, aliquot and store at -20ºC or below. Avoid multiple freeze-thaw cycles.
- 克隆性:
Monoclonal
- 标记物:
Unconjugated
- 适应物种:
Human
- 保质期:
12 months from the shipping date of the product.
- 抗原来源:
Human
- 目录编号:
GTX83080
- 级别:
Primary Antibodies
- 库存:
Available
- 供应商:
GeneTex
- 宿主:
Mouse
- 应用范围:
WB, IHC-P, ELISA
- 靶点:
Cytokeratin 5
- 抗体英文名:
Cytokeratin 5 antibody [3E2F1]
- 抗体名:
Cytokeratin 5 抗体 [3E2F1]
- 规格:
100 μl
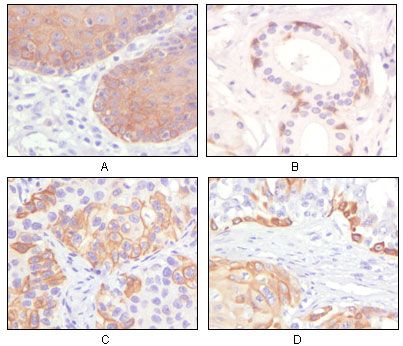
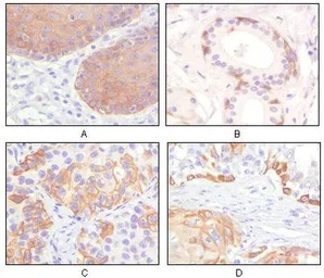
IHC-P analysis of human esophagus epithelium (A), salivary gland basal cell (B), lung squamous cell carcinoma (C), endometrium admosquamous carcinoma (D) using GTX83080 Cytokeratin 5 antibody [3E2F1].
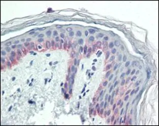
IHC-P analysis of human skin tissue using GTX83080 Cytokeratin 5 antibody [3E2F1].
WB analysis of truncated Cytokeratin 5 recombinant protein using GTX83080 Cytokeratin 5 antibody [3E2F1].
风险提示:丁香通仅作为第三方平台,为商家信息发布提供平台空间。用户咨询产品时请注意保护个人信息及财产安全,合理判断,谨慎选购商品,商家和用户对交易行为负责。对于医疗器械类产品,请先查证核实企业经营资质和医疗器械产品注册证情况。
文献和实验人转录因子E2F1 ( E2F1 )ELISA 试剂盒 原理 本实验采用双抗体夹心 ABC-ELISA 法。用抗人 E2F1 单抗包被于酶标板上,标准品和样品中的 E2F1与单抗结合,加入生物素化的抗人 E2F1 ,形成免疫复合物连接在板上,辣根过氧化物酶标记的 Streptavidin 与生物素结合,加入底物工作液显蓝色,最后加终止液硫酸,在 450nm 处测 OD 值,E2F1 浓度与 OD 值成正比
上皮及间皮类常用标记抗体EPITHELIAL AND MESOTHELIAL MARKERSCK (MNF 116)- MNF-116 is a pan-cytokeratin antibody.- Source: Dakopatts.- Dilution 1:50.- Antigen retrieval method: HIER (pressure cooking) using EDTA.- Staining pattern: Cytoplasmic, typically
Immunocytochemical Detection and Characterisation of Individual Micrometastatic Tumour Cells
. This chapter describes a robust reliable system for the immunochemical detection of individual micrometastatic tumour cells from the BM aspirates of patients with solid epithelial tumours, based on the binding of antibody to cytokeratin proteins.
技术资料暂无技术资料 索取技术资料






![INSM1 antibody [MSVA-456R] HistoMAX](https://custom.dxycdn.com/trademd/upload/pic/2013/11/12/A1383891150.jpg!small.t.1)
![ADFP antibody [ADFP/1494]](https://img1.dxycdn.com/2022/0328/576/3762371494389600453-14.jpg!wh200)



