相关产品推荐更多 >
万千商家帮你免费找货
0 人在求购买到急需产品
- 详细信息
- 文献和实验
- 技术资料
- 免疫原:
Synthetic peptide from the human Ki-67 allantigen.
- 亚型:
IgG
- 形态:
Liquid
- 保存条件:
Store as concentrated solution. Centrifuge briefly prior to opening vial. Store at 4ºC. DO NOT FREEZE.
- 克隆性:
Polyclonal
- 标记物:
Unconjugated
- 适应物种:
Human, Mouse, Rat
- 保质期:
12 months from the shipping date of the product.
- 抗原来源:
Human
- 目录编号:
GTX20833
- 级别:
Primary Antibodies
- 库存:
Available
- 供应商:
GeneTex
- 宿主:
Rabbit
- 应用范围:
WB, ICC/IF, IHC-P, IHC-Fr, IHC
- 浓度:
1 mg/ml (Please refer to the vial label for the specific concentration.)
- 靶点:
Ki67
- 抗体英文名:
Ki67 antibody
- 抗体名:
Ki67 抗体
- 规格:
500 μl
HT-29 xenograft tumor in mouse 20x pretreatment w/ citrate pH 6.0 using anti-Ki67 antibody GTX20833 at 5 ug/mL for 30 min at RT.
This picture was kindly supplied as part of the review submitted by Dr Robert O'Donogue. Tissue sections from mouse lung were stained with GTX20833 at a dilution of 1/50.
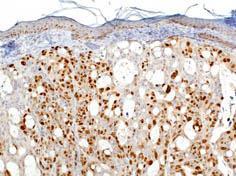
Immunohistochemical analysis of formalin-fixed paraffin-embedded human tonsil using Ki-67 antibody. Signal is detected using ABC method with AEC chromogen
风险提示:丁香通仅作为第三方平台,为商家信息发布提供平台空间。用户咨询产品时请注意保护个人信息及财产安全,合理判断,谨慎选购商品,商家和用户对交易行为负责。对于医疗器械类产品,请先查证核实企业经营资质和医疗器械产品注册证情况。
文献和实验Bordignon P et al., Cell Rep 2019 (PMID:31461652)
Chou CM et al., J Biomed Sci 2015 (PMID:26572230)
Trazzi S et al., J Biol Chem 2010 (PMID:20083607)
Cheng Wu et al., J Oncol 2022 (PMID:35528239)
Xu X et al., EMBO Mol Med 2021 (PMID:34185380)
Liu J et al., Mol Med Rep 2020 (PMID:33000231)
Markezana A et al., Int J Hyperthermia 2021 (PMID:33612046)
Nakazawa K et al., J Biol Chem 2020 (PMID:32839273)
Li M et al., Cell Death Dis 2020 (PMID:31949131)
baibai17 今天开题,导师问了个问题:ki67为什么叫ki67?当场傻住······恳请各位老师指教!谢谢。 keavin521 The Ki-67 protein was originally defined by the prototype monoclonal antibody Ki-67 (Gerdes et al., 1983),which was generated by immunizing mice
【求助】谢谢,请问ki67、PCNA、P53的英文全称是什么?
东德公民 谢谢,请问ki67、PCNA、P53的英文全称是什么?加急,谢谢 zhujoker p53 :also known as protein 53 or tumor protein 53, is a transcription factor which in humans is encoded by the TP53 gene。 p53 is important in multicellular organisms
Generation of Antibody Molecules Through Antibody Engineering
been overcome to a large extent using genetic-engineering techniques to produce chimeric mouse/human and completely human antibodies. Such an approach is particularly suitable because of the domain structure of the antibody molecule ( 2 ), where functional
技术资料暂无技术资料 索取技术资料





![RNase L antibody [HL2340]](https://custom.dxycdn.com/trademd/upload/pic/2013/11/12/A1383891150.jpg!small.t.1)



![Lamin B2 antibody [GT144]](https://img1.dxycdn.com/2022/0329/929/2537427616765020453-14.jpg!wh200)

