相关产品推荐更多 >
万千商家帮你免费找货
0 人在求购买到急需产品
- 详细信息
- 文献和实验
- 技术资料
- 免疫原:
A fusion protein containing amino acids 432 - 528 of human HIF-1 alpha [UniProt# Q16665].
- 亚型:
IgG2b
- 形态:
Liquid
- 保存条件:
Store as concentrated solution. Centrifuge briefly prior to opening vial. For short-term storage (1-2 weeks), store at 4ºC. For long-term storage, aliquot and store at -20ºC or below. Avoid multiple freeze-thaw cycles.
- 克隆性:
Monoclonal
- 标记物:
Unconjugated
- 适应物种:
Human, Mouse, Rat, Sheep, Bovine, Dog, Pig, Monkey, Ferret, Primate, Avian
- 保质期:
12 months from the shipping date of the product.
- 抗原来源:
Human
- 目录编号:
GTX30115
- 级别:
Primary Antibodies
- 库存:
Available
- 供应商:
GeneTex
- 宿主:
Mouse
- 应用范围:
WB, ICC/IF, IHC-P, IHC-Fr, FACS, IP, ELISA, ChIP assay, Gel supershift assays
- 浓度:
1 mg/ml (Please refer to the vial label for the specific concentration.)
- 靶点:
HIF1 alpha
- 抗体英文名:
HIF1 alpha antibody [H1alpha67]
- 抗体名:
HIF1 alpha 抗体 [H1alpha67]
- 规格:
100 μl
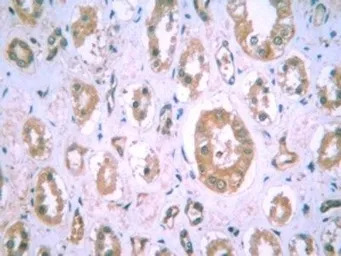
IHC-P analysis of human kidney tissue using GTX30115 HIF1 alpha antibody [H1alpha67].
WB analysis of cobalt chloride treated COS-7 nuclear extracts using GTX30115 HIF1 alpha antibody [H1alpha67].
风险提示:丁香通仅作为第三方平台,为商家信息发布提供平台空间。用户咨询产品时请注意保护个人信息及财产安全,合理判断,谨慎选购商品,商家和用户对交易行为负责。对于医疗器械类产品,请先查证核实企业经营资质和医疗器械产品注册证情况。
文献和实验Nakayama A et al., J Exp Med 2023 (PMID:36374225)
Catrina SB et al., Clin Cancer Res 2006 (PMID:16899596)
Nonomura Y et al., J Rheumatol 2009 (PMID:19228663)
相关专题 MEM培养基常常用于培养哺乳动物贴壁细胞的培养,增加或者减少MEM培养基中的某些成分即可用于其它类型的细胞培养 。alpha-MEM培养基中的成分也比MEM要多很多,常被用来培养比较难培养的细胞。 一、alpha-MEM 的成分列表如下: COMPONENTS Molecular Weight Concentration (mg/L) Molarity (mM) 1、Amino
In situ hybridisation to alpha satellite sequences (chromosome specific)
Alpha satellite sequences, whilst highly repetitive, are specific to each individual chromosome. These sequences flank the centromeres and can present a target measured in megabases. In this protocol a biotin or digoxigenin labelled DNA
motifs located prevalently in the 3′ untranslated regions of target messenger RNAs (mRNA). Interferon-alpha-2a (IFNα) induces a large set of protein coding genes mediating antiproliferative and antiviral responses. Here we use a global microarray-based
技术资料暂无技术资料 索取技术资料





![Glycophorin A antibody [JC159] (APC)](https://img1.dxycdn.com/2022/0328/118/0388011194117700453-14.jpg!wh200)
![CD62P antibody [Psel.KO.2.12] (PE)](https://img1.dxycdn.com/2022/0328/261/9303623439534400453-14.jpg!wh200)


![Lactoferrin antibody [LF5-1D2]](https://img1.dxycdn.com/2022/0328/056/2744473499217700453-14.jpg!wh200)

