相关产品推荐更多 >
万千商家帮你免费找货
0 人在求购买到急需产品
- 详细信息
- 文献和实验
- 技术资料
- 免疫原:
KLH conjugated synthetic peptide between 516-545 amino acids from the C-terminal region of human GLS.
- 亚型:
IgG
- 形态:
Liquid
- 保存条件:
Store as concentrated solution. Centrifuge briefly prior to opening vial. For short-term storage (1-2 weeks), store at 4ºC. For long-term storage, aliquot and store at -20ºC or below. Avoid multiple freeze-thaw cycles.
- 克隆性:
Polyclonal
- 标记物:
Unconjugated
- 适应物种:
Human, Mouse, Rat
- 保质期:
12 months from the shipping date of the product.
- 抗原来源:
Human
- 目录编号:
GTX81012
- 级别:
Primary Antibodies
- 库存:
Available
- 供应商:
GeneTex
- 宿主:
Rabbit
- 应用范围:
WB, ICC/IF, IHC-P, FACS
- 浓度:
Batch dependent (Please refer to the vial label for the specific concentration.)
- 靶点:
Glutaminase
- 抗体英文名:
Glutaminase antibody, C-term
- 抗体名:
Glutaminase 抗体, C-term
- 规格:
200 μl
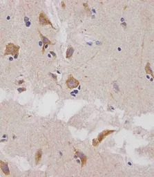
IHC-P analysis of human brain tissue using GTX81012 GLS antibody, C-term.
Antigen retrieval : heat-induced antigen retrieval with a citrate buffer (pH6)
Dilution : 1:25
WB analysis of various samples using GTX81012 GLS antibody, C-term.
Lane 1: human brain lysate
Lane 2: mouse brain lysate
Lane 3: 293T/17 whole cell lysate
Loading : 20 μg per lane
Dilution : 1:2000
ICC/IF analysis of HeLa cells using GTX81012 GLS antibody, C-term.
Green : GLS
Red : Actin filament
Blue : cell nucleus
Dilution : 1:25
WB analysis of various samples using GTX81012 GLS antibody, C-term.
Lane 1: human brain lysate
Lane 2: human kidney lysate
Lane 3: mouse brain lysate
Loading : 20 μg per lane
Dilution : 1:2000
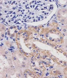
IHC-P analysis of human kidney tissue using GTX81012 GLS antibody, C-term.
Antigen retrieval : heat-induced antigen retrieval with a citrate buffer (pH6)
Dilution : 1:25
ICC/IF analysis of HeLa cells using GTX81012 GLS antibody, C-term.
Green : GLS
Red : Actin filament
Blue : cell nucleus
Dilution : 1:25
FACS analysis of U-2 OS cells using GTX81012 GLS antibody, C-term.
Green : GLS
Blue : Isotype control
Fixation : 2% PFA (PFA) (10 min)
Permeabilization : 90% methanol (10 min)
Dilution : 1:25
风险提示:丁香通仅作为第三方平台,为商家信息发布提供平台空间。用户咨询产品时请注意保护个人信息及财产安全,合理判断,谨慎选购商品,商家和用户对交易行为负责。对于医疗器械类产品,请先查证核实企业经营资质和医疗器械产品注册证情况。
文献和实验Potier B et al., Int. J. Mol. Sci. 2022;23(2)
Bruntz RC et al., Proteomics 2019 (PMID:31298457)
Johnson MO et al., Cell 2018 (PMID:30392958)
Xiang Y et al., J Clin Invest 2015 (PMID:25915584)
Brigitte Potier et al., Int J Mol Sci 2022 (PMID:35054778)
于研究。 性能参数 LIST OF ANTBODY PRODUCTS AP8401a BDP1 N-term Antibody AP8408b MEG2 C-term Antibody AP8451b PPP3CA C-term Antibody AP8449b CTDSP1 C-term Antibody AP8408a MEG2 N-term Antibody AP8451a PPP3CA N-term Antibody AP8449
【资源】全面归类网址:毕赤酵母表达各种来源蛋白(细菌,真菌,植物,人类等)
europaea (olive tree) aeroallergen Ole e 1S, 60 mg/L, α-MF[115, 334, 391]Olea europaea 1,3-β-glucanase Ole e 9 C-term.seg.S, 100 mg/L, α-MF, active486Oleaceae sp. (lilac and privet) pollen allergensS, 30 mg/L, reactive481Pepper endo-b-1,4-glucanase cCel1S
技术资料暂无技术资料 索取技术资料






![5-Methylcytosine / 5-mC antibody [GT9076]](https://img1.dxycdn.com/2022/0328/029/1122598064343500453-14.jpg!wh200)




