相关产品推荐更多 >
万千商家帮你免费找货
0 人在求购买到急需产品
- 详细信息
- 文献和实验
- 技术资料
- 免疫原:
Synthetic peptide taken within residues corresponding to a region within amino acids 324-373 of human DEK. Region:ELKETIKKLL ASANLEEVTM KQICKKVYEN YPTYDLTERK DFIKTTVKEL
- 亚型:
IgG
- 形态:
Liquid
- 保存条件:
Store as concentrated solution. Centrifuge briefly prior to opening vial. For short-term storage (1-2 weeks), store at 4ºC. For long-term storage, aliquot and store at -20ºC or below. Avoid multiple freeze-thaw cycles.
- 克隆性:
Polyclonal
- 标记物:
Unconjugated
- 适应物种:
Human, Mouse, Rat, Monkey
- 保质期:
12 months from the shipping date of the product.
- 抗原来源:
Human
- 目录编号:
GTX47896
- 级别:
Primary Antibodies
- 库存:
Available
- 供应商:
GeneTex
- 宿主:
Rabbit
- 应用范围:
WB, IHC-P, IP, ELISA
- 浓度:
0.65 mg/ml (Please refer to the vial label for the specific concentration.)
- 靶点:
DEK
- 抗体英文名:
DEK antibody
- 抗体名:
DEK 抗体
- 规格:
100 μg
IHC-P analysis of mouse stomach tissue using GTX47896 DEK antibody.
Dilution : 1:50
WB analysis of rat lung tissue extracts using GTX47896 DEK antibody.
Dilution : 1:500
IHC-P analysis of rat cortex tissue using GTX47896 DEK antibody.
Dilution : 1:50
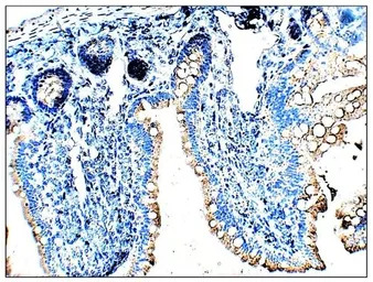
IHC-P analysis of mouse small intestine tissue using GTX47896 DEK antibody.
Dilution : 1:50
IHC-P analysis of mouse stomach tissue using GTX47896 DEK antibody.
Dilution : 1:50
IHC-P analysis of mouse small intestine tissue using GTX47896 DEK antibody.
Dilution : 1:50
风险提示:丁香通仅作为第三方平台,为商家信息发布提供平台空间。用户咨询产品时请注意保护个人信息及财产安全,合理判断,谨慎选购商品,商家和用户对交易行为负责。对于医疗器械类产品,请先查证核实企业经营资质和医疗器械产品注册证情况。
文献和实验丛德克-阿西海姆氏试验 Zon dek-Aschheimtest
丛德克( B. Zondek)和阿西海姆( S. Asch-beim1927)发现,在妊娠 2-3个月的妊妇尿中,存在多量促性腺激素,根据这一事实所设计的妊娠试验法称为丛德克 -阿西海姆氏试验。方法是将尿注射于未成熟的雌性小白鼠体内,每日 2次,第 4天杀死检查其卵巢,如果看到排卵后出现的卵泡腔出血及黄体时则为阳性。
Generation of Antibody Molecules Through Antibody Engineering
been overcome to a large extent using genetic-engineering techniques to produce chimeric mouse/human and completely human antibodies. Such an approach is particularly suitable because of the domain structure of the antibody molecule ( 2 ), where functional
The importance of antibody molecules was first recognized in the 1890s, when it was shown that immunity to tetanus and diphtheria was caused by antibodies against the bacterial exotoxins (1 ). Around the same time, it was shown that antisera
技术资料暂无技术资料 索取技术资料











