相关产品推荐更多 >
万千商家帮你免费找货
0 人在求购买到急需产品
- 详细信息
- 文献和实验
- 技术资料
- 免疫原:
The antiserum was produced against synthesized phosphopeptide derived from human LIMK2 around the phosphorylation site of threonine 505 (R-Y-Tp-V-V).
- 亚型:
IgG
- 形态:
Liquid
- 保存条件:
Store as concentrated solution. Centrifuge briefly prior to opening vial. For short-term storage (1-2 weeks), store at 4ºC. For long-term storage, aliquot and store at -20ºC or below. Avoid multiple freeze-thaw cycles.
- 克隆性:
Polyclonal
- 标记物:
Unconjugated
- 适应物种:
Human, Mouse
- 保质期:
12 months from the shipping date of the product.
- 抗原来源:
Human
- 目录编号:
GTX79022
- 级别:
Primary Antibodies
- 库存:
Available
- 供应商:
GeneTex
- 宿主:
Rabbit
- 应用范围:
WB, IHC-P
- 浓度:
Batch dependent (Please refer to the vial label for the specific concentration.)
- 靶点:
LIM kinase 2 (phospho Thr505)
- 抗体英文名:
LIM kinase 2 (phospho Thr505) antibody
- 抗体名:
LIM kinase 2 (phospho Thr505) 抗体
- 规格:
100 μg
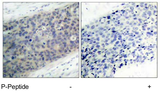
IHC-P analysis of human breast carcinoma tissue using GTX79022 LIM kinase 2 (phospho Thr505) antibody.
WB analysis of NIH/3T3 cells treated or untreated with UV (60min) lysates using GTX79022 LIM kinase 2 (phospho Thr505) antibody.
风险提示:丁香通仅作为第三方平台,为商家信息发布提供平台空间。用户咨询产品时请注意保护个人信息及财产安全,合理判断,谨慎选购商品,商家和用户对交易行为负责。对于医疗器械类产品,请先查证核实企业经营资质和医疗器械产品注册证情况。
文献和实验Using Phospho‐Motif Antibodies to Determine Kinase Substrates
comprising both the phosphorylated residue and the surrounding residues that determine kinase specificity, with degenerate residues taking up the remaining positions. Currently, several categories of phospho?motif antibody are commercially available
Mammalian CHK1 is a Ser/Thr effector kinase that plays critical roles in the DNA damage-activated cell cycle checkpoint signaling pathway downstream of ATR (ATM and Rad3-related protein kinase). This chapter is focused on describing an assay
运用Cell Based Elisa检测信号通路蛋白和磷酸化蛋白
using Phospho-p38 antibody (A) and Total-p38 antibody (B). Cell Based Elisa were performed directly in the 96-well plates using Phospho-p38 and Total-p38 antibodies (C). Figure 3: JNK detection with FACECells were serum-starved for 16 hours
技术资料暂无技术资料 索取技术资料





![CD90.1 antibody [OX-7]](https://img1.dxycdn.com/2022/0329/815/3380839862836020453-14.jpg!wh200)





