相关产品推荐更多 >
万千商家帮你免费找货
0 人在求购买到急需产品
- 详细信息
- 文献和实验
- 技术资料
- 免疫原:
Recombinant protein
- 亚型:
IgG
- 形态:
Liquid
- 保存条件:
Store as concentrated solution. Centrifuge briefly prior to opening vial. For short-term storage (1-2 weeks), store at 4ºC. For long-term storage, aliquot and store at -20ºC or below. Avoid multiple freeze-thaw cycles.
- 克隆性:
Monoclonal
- 标记物:
Unconjugated
- 适应物种:
Human
- 保质期:
12 months from the shipping date of the product.
- 抗原来源:
Human
- 目录编号:
GTX01050
- 级别:
Primary Antibodies
- 库存:
Available
- 供应商:
GeneTex
- 宿主:
Rabbit
- 应用范围:
WB, ICC/IF, IHC-P, FACS
- 浓度:
1 mg/ml (Please refer to the vial label for the specific concentration.)
- 靶点:
Cullin 4a
- 抗体英文名:
Cullin 4a antibody [JU07-33]
- 抗体名:
Cullin 4a 抗体 [JU07-33]
- 规格:
100 μl
Various whole cell extracts (30 μg) were separated by 7.5% SDS-PAGE, and the membrane was blotted with Cullin 4a antibody [JU07-33] (GTX01050) diluted at 1:500. The HRP-conjugated anti-rabbit IgG antibody (GTX213110-01) was used to detect the primary antibody.
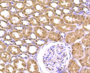
IHC-P analysis of human kidney tissue section using GTX01050 Cullin 4a antibody [JU07-33].
FACS analysis of HeLa cells using GTX01050 Cullin 4a antibody [JU07-33].
Green : primary antibody
Red : unlabelled control
Dilution : 1:100
IHC-P analysis of human cervix tissue section using GTX01050 Cullin 4a antibody [JU07-33].
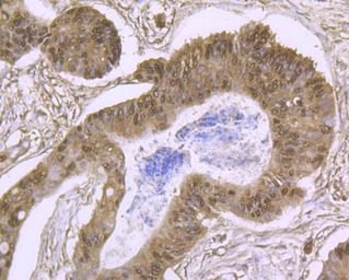
IHC-P analysis of human colon cancer tissue section using GTX01050 Cullin 4a antibody [JU07-33].
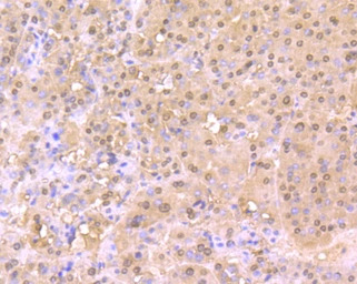
IHC-P analysis of human liver cancer tissue section using GTX01050 Cullin 4a antibody [JU07-33].
IHC-P analysis of human breast cancer tissue section using GTX01050 Cullin 4a antibody [JU07-33].
ICC/IF analysis of PFA-fixed A431 cells using GTX01050 Cullin 4a antibody [JU07-33].
Green : primary antibody
Blue : DAPI
Permeabilization : 0.25% Triton X-100 in PBS
ICC/IF analysis of PFA-fixed HUVEC cells using GTX01050 Cullin 4a antibody [JU07-33].
Green : primary antibody
Blue : DAPI
Permeabilization : 0.25% Triton X-100 in PBS
风险提示:丁香通仅作为第三方平台,为商家信息发布提供平台空间。用户咨询产品时请注意保护个人信息及财产安全,合理判断,谨慎选购商品,商家和用户对交易行为负责。对于医疗器械类产品,请先查证核实企业经营资质和医疗器械产品注册证情况。
文献和实验五十多本Humana的电子书高速下载,请大家多多支持哟! http://mamb.dvo.ru/lib/mol-methods2/ abc of clinical genetics.rar 06-Aug-2003 15:17 1.6M an introduction to computational biochemistry.rar 06-Aug-2003 15:29 6.3M antibody phage display.rar 07-Aug-2003 10:32 2.5M
2 O 19.93 ml 19.51 ml 19.09 ml 18.66 ml 18.24 ml Light gel buffer 11.33 ml 11.33 ml 11.33 ml 11.33 ml 11.33 ml Gel A/B 2.30 ml 2.68 ml 3.07 ml 3.45 ml 3.84 ml Gel A 250 µl 292 µl 333 µl 375 µl 416 µl TEMED 17.31 µ
【共享】Methods in molecular biology 下载
Computer Analysis of Sequence Data Part 1 http://rapidshare.com/files/37923067/computer_analysis_of_sequence_data_part1.www.forumakademi.org-TEASER.rar.html http://z07.zupload.com/download.php?file=getfile&filepath=15052 Vol 25 Computer Analysis of Sequence
技术资料暂无技术资料 索取技术资料






![Germ cell-specific antigen antibody [TRA98]](https://img1.dxycdn.com/2022/0328/560/9969587044457700453-14.jpg!wh200)

![ABCA4 (Rim Protein) antibody [3F4]](https://img1.dxycdn.com/2022/0328/373/1139018733717500453-14.png!wh200)


