相关产品推荐更多 >
万千商家帮你免费找货
0 人在求购买到急需产品
- 详细信息
- 文献和实验
- 技术资料
- 免疫原:
Synthetic 16 amino acid peptide from N-terminal extracellular domain of human LGR4.
- 亚型:
IgG
- 形态:
Liquid
- 保存条件:
Store as concentrated solution. Centrifuge briefly prior to opening vial. For short-term storage (1-2 weeks), store at 4ºC. For long-term storage, aliquot and store at -20ºC or below. Avoid multiple freeze-thaw cycles.
- 克隆性:
Polyclonal
- 标记物:
Unconjugated
- 适应物种:
Human
- 保质期:
12 months from the shipping date of the product.
- 抗原来源:
Human
- 目录编号:
GTX70563
- 级别:
Primary Antibodies
- 库存:
Available
- 供应商:
GeneTex
- 宿主:
Rabbit
- 应用范围:
IHC-P
- 浓度:
1 mg/ml (Please refer to the vial label for the specific concentration.)
- 靶点:
GPR48
- 抗体英文名:
GPR48 antibody
- 抗体名:
GPR48 抗体
- 规格:
25 μg
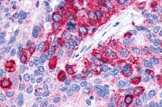
IHC-P analysis of human brain, glioblastoma tissue using GTX70563 GPR48 antibody.
Antigen retrieval : Heat-induced antigen retrieval
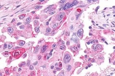
IHC-P analysis of human pancreas, carcinoma tissue using GTX70563 GPR48 antibody.
Antigen retrieval : Heat-induced antigen retrieval
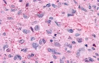
IHC-P analysis of human lung, adenocarcinoma tissue using GTX70563 GPR48 antibody.
Antigen retrieval : Heat-induced antigen retrieval
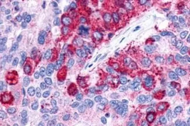
IHC-P analysis of human brain, neurons and glia tissue using GTX70563 GPR48 antibody.
Antigen retrieval : Heat-induced antigen retrieval
风险提示:丁香通仅作为第三方平台,为商家信息发布提供平台空间。用户咨询产品时请注意保护个人信息及财产安全,合理判断,谨慎选购商品,商家和用户对交易行为负责。对于医疗器械类产品,请先查证核实企业经营资质和医疗器械产品注册证情况。
文献和实验NSMB:徐华强 / 谢欣 / 蒋轶发现孤儿受体 GPR119 内源性配体的分子机制
119 的结合机制,研究人员解析了代表性激动剂 APD668 与 GPR119 复合物的结构,分辨率为 2.8 Å。研究人员发现 APD668 较为刚性的结构骨架主要占据 GPR119 的疏水口袋,并且与该口袋中的氨基酸形成了更强的相互作用,提供配体较高的亲和力。此外,研究人员发现 GPR119 的激活开关(Toggle Switch)残基 W2386.48 呈现与其他受体不同的偏转方式,并且在该残基附近发现一个水分子与周围残基形成氢键,稳定了受体的激活构象。 综上,本研究首次报道孤儿受体 GPR
CD48 分子 CD48 常用单克隆抗体或代号: WM68,LO- MN25;(BLAST- 1,OX45,BCM- 1) 主要表达细胞: Leu [NL] 分子质量(kDa)和结构: gp45,(GPI连接)(IgSF) 功 能: CD2的配体(小鼠,大鼠),人CD48与CD2结合力低 CD48 Mediates adhesion via its receptor, CD
Preparing 48-Well Plate Feeders
Preparing 48-Well Plate Feeders In preparing 48-well plates, a dilution must be made from the regular density of 3.5 x 105 cells/ml. The required density for 48-well plates is: 8.2 x 104 cells/ml (650 ml/well or 31.2 mls
技术资料暂无技术资料 索取技术资料





![WDR24 antibody [N3C2], Internal](https://img1.dxycdn.com/2022/0328/375/4606862211853300453-14.jpg!wh200)





