相关产品推荐更多 >
万千商家帮你免费找货
0 人在求购买到急需产品
- 详细信息
- 文献和实验
- 技术资料
- 免疫原:
Purified recombinant fragment of human SLC27A5 (AA: 508-570 ) expressed in E. Coli.
- 亚型:
IgG1
- 形态:
Liquid
- 保存条件:
Store as concentrated solution. Centrifuge briefly prior to opening vial. For short-term storage (1-2 weeks), store at 4ºC. For long-term storage, aliquot and store at -20ºC or below. Avoid multiple freeze-thaw cycles.
- 克隆性:
Monoclonal
- 标记物:
Unconjugated
- 适应物种:
Human, Mouse, Monkey
- 保质期:
12 months from the shipping date of the product.
- 抗原来源:
Human
- 目录编号:
GTX60688
- 级别:
Primary Antibodies
- 库存:
Available
- 供应商:
GeneTex
- 宿主:
Mouse
- 应用范围:
WB, IHC-P, FACS, ELISA
- 靶点:
SLC27A5
- 抗体英文名:
SLC27A5 antibody [4B11C10]
- 抗体名:
SLC27A5 抗体 [4B11C10]
- 规格:
100 μl
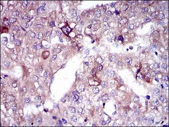
IHC-P analysis of liver cancer tissue using GTX60688 SLC27A5 antibody [4B11C10].
WB analysis of HEK293 (1) and SLC27A5 (AA: 508-570)-hIgGFc transfected HEK293 (2) cell lysate using GTX60688 SLC27A5 antibody [4B11C10].
WB analysis of 3T3L1 (1) and COS7 (2) cell lysate using GTX60688 SLC27A5 antibody [4B11C10].
ELISA analysis of antigen using GTX60688 SLC27A5 antibody [4B11C10].
Black : Control antigen 100ng
Purple : Antigen 10ng
Blue : Antigen 50ng
Red : Antigen 100ng
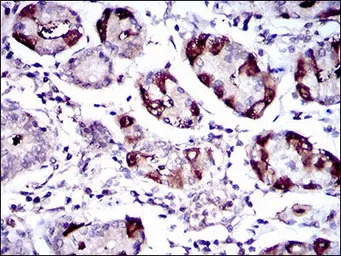
IHC-P analysis of human stomach tissue using GTX60688 SLC27A5 antibody [4B11C10].
FACS analysis of SK-N-SH cells using GTX60688 SLC27A5 antibody [4B11C10].
Green : SLC27A5
Purple : negative control
风险提示:丁香通仅作为第三方平台,为商家信息发布提供平台空间。用户咨询产品时请注意保护个人信息及财产安全,合理判断,谨慎选购商品,商家和用户对交易行为负责。对于医疗器械类产品,请先查证核实企业经营资质和医疗器械产品注册证情况。
文献和实验antibody and progression in tumor therapy【abstract】EGFR is encoded by the c-erb-B1 proto-oncngene. it is reported that the over-expressed and mutant EGFR have good relationship with tumor.Now it has become a new field in tumor therapy.This text
技术资料暂无技术资料 索取技术资料





![F4/80 antibody [CI:A3-1] (Low endotoxin, azide free)](https://img1.dxycdn.com/2022/0328/008/8515914226093400453-14.jpg!wh200)

![Hemoglobin alpha antibody [GT1234]](https://img1.dxycdn.com/2022/0328/993/3166428075089700453-14.jpg!wh200)



