相关产品推荐更多 >
万千商家帮你免费找货
0 人在求购买到急需产品
- 详细信息
- 文献和实验
- 技术资料
- 免疫原:
KLH conjugated synthetic peptide between 82-110 amino acids from the N-terminal region of human CYP2C9.
- 亚型:
IgG
- 形态:
Liquid
- 保存条件:
Store as concentrated solution. Centrifuge briefly prior to opening vial. For short-term storage (1-2 weeks), store at 4ºC. For long-term storage, aliquot and store at -20ºC or below. Avoid multiple freeze-thaw cycles.
- 克隆性:
Polyclonal
- 标记物:
Unconjugated
- 适应物种:
Human
- 保质期:
12 months from the shipping date of the product.
- 抗原来源:
Human
- 目录编号:
GTX81255
- 级别:
Primary Antibodies
- 库存:
Available
- 供应商:
GeneTex
- 宿主:
Rabbit
- 应用范围:
WB, IHC-P
- 浓度:
Batch dependent (Please refer to the vial label for the specific concentration.)
- 靶点:
Cytochrome P450 2C9
- 抗体英文名:
Cytochrome P450 2C9 antibody, N-term
- 抗体名:
Cytochrome P450 2C9 抗体, N-term
- 规格:
400 μl
WB analysis of Jurkat cell lysate (35ug/lane) using GTX81255 Cytochrome P450 2C9 antibody, N-term.
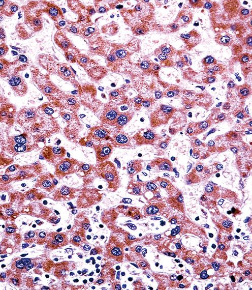
IHC-P analysis of human liver tissue using GTX81255 Cytochrome P450 2C9 antibody, N-term.
风险提示:丁香通仅作为第三方平台,为商家信息发布提供平台空间。用户咨询产品时请注意保护个人信息及财产安全,合理判断,谨慎选购商品,商家和用户对交易行为负责。对于医疗器械类产品,请先查证核实企业经营资质和医疗器械产品注册证情况。
文献和实验Cytochrome P450 Reconstitution Systems
Human liver microsomes contain multiple forms of cytochrome P450 (CYP or P450) that catalyze oxidation of a number of xenobiotic and endobiotic chemicals. Individual P450 forms have unique, but overlapping, substrate specificities
Genotyping for Cytochrome P450 Polymorphisms
Protocols for the extraction of DNA from human blood and for genotyping for a number of common cytochrome P450 polymorphisms using either polymerase chain reaction (PCR)-restriction fragment length polymorphism or PCR-single-strand
In Vitro Identification of Cytochrome P450 Enzymes Responsible for Drug Metabolism
Metabolism catalyzed by the cytochrome P450 enzymes (CYPs) represents the most important pathway for drug metabolism and elimination in humans. Identification of the CYPs responsible for metabolism of existing and novel drugs is critical
技术资料暂无技术资料 索取技术资料











