相关产品推荐更多 >
万千商家帮你免费找货
0 人在求购买到急需产品
- 详细信息
- 文献和实验
- 技术资料
- 免疫原:
The region of histone H3 containing the monomethylated lysine 4 (H3K4me1), using a KLH-conjugated synthetic peptide.
- 亚型:
IgG
- 形态:
Liquid
- 保存条件:
Store as concentrated solution. Centrifuge briefly prior to opening vial. For short-term storage (1-2 weeks), store at 4ºC. For long-term storage, aliquot and store at -20ºC or below. Avoid multiple freeze-thaw cycles.
- 克隆性:
Polyclonal
- 标记物:
Unconjugated
- 适应物种:
Human, Mouse
- 保质期:
12 months from the shipping date of the product.
- 抗原来源:
Human
- 目录编号:
GTX60818
- 级别:
Primary Antibodies
- 库存:
Available
- 供应商:
GeneTex
- 宿主:
Rabbit
- 应用范围:
WB, ICC/IF, Dot, ELISA, ChIP assay, Protein Array
- 浓度:
1.5 mg/ml (Please refer to the vial label for the specific concentration.)
- 靶点:
Histone H3K4me1 (Mono-methyl Lys4)
- 抗体英文名:
Histone H3K4me1 (Mono-methyl Lys4) antibody - ChIP grade
- 抗体名:
Histone H3K4me1 (Mono-methyl Lys4) 抗体 - ChIP grade
- 规格:
50 μg
ICC/IF analysis of 4% PFA fixed HeLa cells using GTX60818 Histone H3K4me1 (Mono-methyl Lys4) antibody - ChIP grade.
Green : Primary antibody
Blue : DAPI
Dilution : 1:200
Protein Array analysis of an array containing 384 peptides with different combinations of modifications from histone H3, H4, H2A and H2B using GTX60818 Histone H3K4me1 (Mono-methyl Lys4) antibody - ChIP grade. This figure shows the specificity factor, calculated as the ratio of the average intensity of all spots containing the mark, divided by the average intensity of all spots not containing the mark.
Dilution : 1:2,000
WB analysis of whole cell (25 μg, lane 1) and histone extracts (15 μg, lane 2) from HeLa cells, and on 1 μg of recombinant histone H2A, H2B, H3 and H4 (lane 3, 4, 5 and 6, respectively) using GTX60818 Histone H3K4me1 (Mono-methyl Lys4) antibody - ChIP grade.
Dilution : 1:500
ChIP analysis of sheared chromatin from 10⁶ K562 cells using GTX60818 Histone H3K4me1 (Mono-methyl Lys4) antibody - ChIP grade. A titration consisting of 1, 2, 5 and 10 μg of antibody per ChIP experiment was analyzed. IgG (1 μg/IP) was used as a negative IP control. Quantitative PCR was performed with primers for a region surrounding the ACTB and GAS2L1 gene, respectively, used as positive controls, and for the promoters of the GAPDH and EIF4A2 genes, used as negative controls. Figure 2 shows the recovery, expressed as a % of input (the relative amount of immunoprecipitated DNA compared to input DNA after qPCR analysis).
ChIP analysis of sheared chromatin from 1x10⁵ K562 cells using GTX60818 Histone H3K4me1 (Mono-methyl Lys4) antibody - ChIP grade. The IP'd DNA was subsequently analysed on an Illumina Genome Analyzer. Library preparation, cluster generation and sequencing were performed according to the manufacturer's instructions. The 36 bp tags were aligned to the human genome using the ELAND algorithm. Figure 3A and B show the H3K4me1 signal in two genomic regions containing the ACTB and GAS2L1 positive controls. The position of the amplicon used for ChIP-qPCR is indicated by an arrow. Figure 3C shows the H3K4me1 peak distribution along a 1 Mb genomic region of chromosome 5.
Antibody amount : 1μg
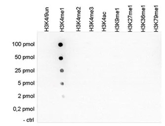
Dot blot analysis of 0.2 - 100 pmol of the peptides containing other histone modifications and the unmodified H3K4 using GTX60818 Histone H3K4me1 (Mono-methyl Lys4) antibody - ChIP grade.
Dilution : 1:5,000
ELISA analysis of peptide containing the histone modification of interest using GTX60818 Histone H3K4me1 (Mono-methyl Lys4) antibody - ChIP grade.
ChIP analysis of sheared chromatin from 5x10⁵ HeLaS3 cells using GTX60818 Histone H3K4me1 (Mono-methyl Lys4) antibody - ChIP grade. A titration of the antibody consisting of 0.5, 1, 2 and 5 μg per ChIP experiment was analysed. IgG (2 μg/IP) was used as negative IP control. Figure 1A. Quantitative PCR was performed with primers for a region surrounding the ACTB and GAS2L1 genes, used as positive controls, and for the promoters of the GAPDH and EIF4A2 genes, used as negative controls. The graph shows the recovery, expressed as a % of input (the relative amount of immunoprecipitated DNA compared to input DNA after qPCR analysis). Figure 1B. Recovery of the nucleosomes carrying the H3K4me1, H3K4me2, H3K4me3, H3K9me1, H3K27me1, H3K36me1, H4K20me1 and the unmodified H3K4 as determined by qPCR. The figure clearly shows the antibody is very specific in ChIP for the H3K4me1 modification.
风险提示:丁香通仅作为第三方平台,为商家信息发布提供平台空间。用户咨询产品时请注意保护个人信息及财产安全,合理判断,谨慎选购商品,商家和用户对交易行为负责。对于医疗器械类产品,请先查证核实企业经营资质和医疗器械产品注册证情况。
文献和实验Eid W et al., Biol Chem 2016 (PMID:27343473)
. However, to address in detail what happens at specific sites in vivo, chromatin immunoprecipitation (ChIP) is the method of choice. Here, we describe how ChIP can be performed on non-fixed chromatin from animal cells or tissues (fresh or frozen) to analyze histone
. However, to address in detail what happens at specific sites in vivo, chromatin immunoprecipitation (ChIP) is the method of choice. Here, we describe how ChIP can be performed on non-fixed chromatin from animal cells or tissues (fresh or frozen) to analyze histone
法所替代。利用微球菌核酸酶的切割特性(在染色质核小体之间的 DNA 更容易被切开),可以快速温和地将染色质 DNA 切断,且最大限度地保持了细胞原有染色质结构以及目的蛋白与 DNA 的结合状态,使 ChIP 的准确性和结果可信度大大提高。CST 推出的 SimpleChIP® 酶解法试剂盒,含有标准 ChIP 流程所需的整套试剂、ChIP 级蛋白质 G 微珠、阳性对照抗体(Histone H3(D2B12) XP® Rabbit mAb (ChIP Formulated) #4620)、阴性对照抗体、DNA
技术资料暂无技术资料 索取技术资料







![CD79a antibody [IGA/1688R]](https://img1.dxycdn.com/2022/0328/411/9597726363220700453-14.jpg!wh200)


