相关产品推荐更多 >
万千商家帮你免费找货
0 人在求购买到急需产品
- 详细信息
- 文献和实验
- 技术资料
- 免疫原:
A synthetic methylated peptide corresponding to residues surrounding K4 of human histone H3
- 亚型:
IgG
- 形态:
Liquid
- 保存条件:
Store as concentrated solution. Centrifuge briefly prior to opening vial. For short-term storage (1-2 weeks), store at 4ºC. For long-term storage, aliquot and store at -20ºC or below. Avoid multiple freeze-thaw cycles.
- 克隆性:
Polyclonal
- 标记物:
Unconjugated
- 适应物种:
Human, Mouse, Rat
- 保质期:
12 months from the shipping date of the product.
- 抗原来源:
Human
- 目录编号:
GTX54100
- 级别:
Primary Antibodies
- 库存:
Available
- 供应商:
GeneTex
- 宿主:
Rabbit
- 应用范围:
WB, ICC/IF, IHC-P, IHC-Fr, Dot, ChIP assay
- 浓度:
1 mg/ml (Please refer to the vial label for the specific concentration.)
- 靶点:
Histone H3K4me1 (mono-methyl Lys4)
- 抗体英文名:
Histone H3K4me1 (mono-methyl Lys4) antibody
- 抗体名:
Histone H3K4me1 (mono-methyl Lys4) 抗体
- 规格:
100 μl
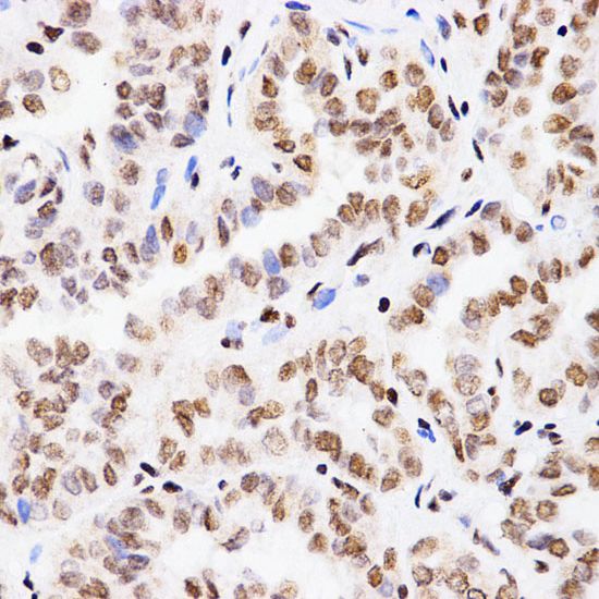
IHC-P analysis of human thyroid cancer tissue using GTX54100 Histone H3K4me1 (mono-methyl Lys4) antibody.
Dilution : 1:200
ICC/IF analysis of U2OS cells using GTX54100 Histone H3K4me1 (mono-methyl Lys4) antibody.
Blue : DAPI
Dilution : 1:100
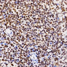
IHC-P analysis of rat spleen tissue using GTX54100 Histone H3K4me1 (mono-methyl Lys4) antibody.
Dilution : 1:200
ChIP analysis of HeLa cell lysate using GTX54100 Histone H3K4me1 (mono-methyl Lys4) antibody. The amount of immunoprecipitated DNA was checked by quantitative PCR. Histogram was constructed by the ratios of the immunoprecipitated DNA to the input.
Dot blot analysis of all sorts of methylation peptides using GTX54100 Histone H3K4me1 (mono-methyl Lys4) antibody.
WB analysis of various sample lysates using GTX54100 Histone H3K4me1 (mono-methyl Lys4) antibody.
Dilution : 1:1000
Loading : 25μg per lane
WB analysis of various sample lysates using GTX54100 Histone H3K4me1 (mono-methyl Lys4) antibody.
Loading : 25μg per lane
风险提示:丁香通仅作为第三方平台,为商家信息发布提供平台空间。用户咨询产品时请注意保护个人信息及财产安全,合理判断,谨慎选购商品,商家和用户对交易行为负责。对于医疗器械类产品,请先查证核实企业经营资质和医疗器械产品注册证情况。
文献和实验Pang L et al., Biosci Rep 2021 (PMID:34724040)
Analysis of Linker Histone Binding to Mono- and Dinucleosomes
The assembly of DNA into the eukaryotic nucleus via an ascending hierarchy of intermediate chromatin structures has two major functional consequences: 1. The intermediate chromatin
Determination of Histone Methylation in Mono- and Dicotyledonous Plants
Epigenetics includes DNA methylation and histones posttranslational modifications such as methylation, acetylation, phosphorylation among others. One of the most abundant modifications in histone tail is the methylation
Methyl DNA Immunoprecipitation
can be done. This methylation analysis is highly specific due to the use of a well-characterized monoclonal antibody and each IP is directly quality controlled: two essential keys for reliable results. In addition, the kit protocol is fast and user-friendly. The METHYL kit
技术资料暂无技术资料 索取技术资料










