相关产品推荐更多 >
万千商家帮你免费找货
0 人在求购买到急需产品
- 详细信息
- 文献和实验
- 技术资料
- 免疫原:
Synthetic 19 amino acid peptide from C-terminus of human CHRM3 / M3.
- 亚型:
IgG
- 形态:
Liquid
- 保存条件:
Store as concentrated solution. Centrifuge briefly prior to opening vial. For short-term storage (1-2 weeks), store at 4ºC. For long-term storage, aliquot and store at -20ºC or below. Avoid multiple freeze-thaw cycles.
- 克隆性:
Polyclonal
- 标记物:
Unconjugated
- 适应物种:
Human,Monkey
- 保质期:
12 months from the shipping date of the product.
- 抗原来源:
Human
- 目录编号:
GTX71587
- 级别:
Primary Antibodies
- 库存:
Available
- 供应商:
GeneTex
- 宿主:
Rabbit
- 应用范围:
IHC-P
- 浓度:
1 mg/ml (Please refer to the vial label for the specific concentration.)
- 靶点:
mAChR M3
- 抗体英文名:
mAChR M3 antibody
- 抗体名:
mAChR M3 抗体
- 规格:
25 μg
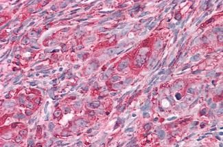
IHC-P analysis of human ovary, carcinoma tissue using GTX71587 mAChR M3 antibody.
Antigen retrieval : Heat-induced antigen retrieval
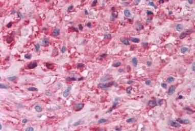
IHC-P analysis of human brain, glioblastoma tissue using GTX71587 mAChR M3 antibody.
Antigen retrieval : Heat-induced antigen retrieval
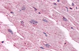
IHC-P analysis of human heart tissue using GTX71587 mAChR M3 antibody.
Antigen retrieval : Heat-induced antigen retrieval
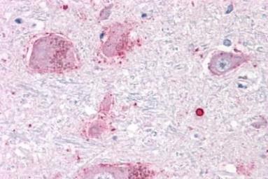
IHC-P analysis of brain, alzheimer's disease neurofibrillary tangle tissue using GTX71587 mAChR M3 antibody.
IHC-P analysis of brain, glioblastoma tissue using GTX71587 mAChR M3 antibody.
IHC-P analysis of human brain, neurons and glia tissue using GTX71587 mAChR M3 antibody.
Antigen retrieval : Heat-induced antigen retrieval
风险提示:丁香通仅作为第三方平台,为商家信息发布提供平台空间。用户咨询产品时请注意保护个人信息及财产安全,合理判断,谨慎选购商品,商家和用户对交易行为负责。对于医疗器械类产品,请先查证核实企业经营资质和医疗器械产品注册证情况。
文献和实验Important in phagocytosis via receptor-mediated endocytosis of IgG-antigen complexes Mediates antigen capture for presentation to T cells, antibody-dependent cellular cytotoxicity, release of cytokines and reactive oxygen intermediates Positive
Metabolic Labeling and Immunoprecipitation of Drosophila Proteins
Table of Contents Basic Protocol 1: Labeling and Immunoprecipitation of Proteins from Drosophila S2M3 Cells Support Protocol 1: Growth and Maintenance
免疫组化技术-Immunohistochemical Protocols
does not mean that there are no other alternatives, of course. The list does not represent an endorsement in any way by the U.S. Government. The principle of immunohistochemistry is to raise an antibody to a specific antigen and use
技术资料暂无技术资料 索取技术资料











