相关产品推荐更多 >
万千商家帮你免费找货
0 人在求购买到急需产品
- 详细信息
- 文献和实验
- 技术资料
- 免疫原:
Purified recombinant fragment of human Alkaline Phosphatase (Tissue Non-Specific) expressed in E. Coli.
- 亚型:
IgG1
- 形态:
Liquid
- 保存条件:
Store as concentrated solution. Centrifuge briefly prior to opening vial. For short-term storage (1-2 weeks), store at 4ºC. For long-term storage, aliquot and store at -20ºC or below. Avoid multiple freeze-thaw cycles.
- 克隆性:
Monoclonal
- 标记物:
Unconjugated
- 适应物种:
Human
- 保质期:
12 months from the shipping date of the product.
- 抗原来源:
Human
- 目录编号:
GTX60568
- 级别:
Primary Antibodies
- 库存:
Available
- 供应商:
GeneTex
- 宿主:
Mouse
- 应用范围:
WB, IHC-P, FACS, ELISA
- 浓度:
1 mg/ml (Please refer to the vial label for the specific concentration.)
- 靶点:
Alkaline Phosphatase (Tissue Non-Specific)
- 抗体英文名:
Alkaline Phosphatase (Tissue Non-Specific) antibody [2F4]
- 抗体名:
Alkaline Phosphatase (Tissue Non-Specific) 抗体 [2F4]
- 规格:
100 μg
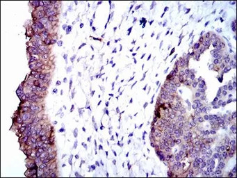
IHC-P analysis of ovarian cancer tissue using GTX60568 Alkaline Phosphatase (Tissue Non-Specific) antibody [2F4].
WB analysis of HeLa (1), and NTERA-2 (2) cell lysate using GTX60568 Alkaline Phosphatase (Tissue Non-Specific) antibody [2F4].
FACS analysis of MCF-7 cells using GTX60568 Alkaline Phosphatase (Tissue Non-Specific) antibody [2F4].
Green : Alkaline Phosphatase (Tissue Non-Specific)
Red : negative control
ELISA analysis of antigen using GTX60568 Alkaline Phosphatase (Tissue Non-Specific) antibody [2F4].
Black : Control antigen 100ng
Purple : Antigen 10ng
Blue : Antigen 50ng
Red : Antigen 100ng
风险提示:丁香通仅作为第三方平台,为商家信息发布提供平台空间。用户咨询产品时请注意保护个人信息及财产安全,合理判断,谨慎选购商品,商家和用户对交易行为负责。对于医疗器械类产品,请先查证核实企业经营资质和医疗器械产品注册证情况。
文献和实验Chatterjee R et al., Eur J Cell Biol 2017 (PMID:29173808)
DETECTION OF ß-GALACTOSIDASE AND ALKALINE PHOSPHATASE ACTIVITIES IN TISSUE
of X-gal can be easier to detect prior to carrying out the X-Phos reaction as background alkaline phosphatase staining can obscure it, particularly in whole mounts. Rinse the tissue very well with PBS prior to PLAP staining as residual ß-gal activity
Histochemical staining of sea urchin embryos for alkaline phosphatase (AP) enzyme activity
Histochemical staining of sea urchin embryos for alkaline phosphatase (AP) enzyme activity 1. Obtain embryo samples, tube of AP substrate buffer and tube of phosphate buffered saline ( PBS ) for each group. Allow embryos
Human Alkaline Phosphatase staining of transgenic embryo/tissue
, penetration of stain may be improved by fixing in PBS + 0.2% glutaraldehyde + 0.02% NP-40 + 0.01% NaDC (at 4oC).Rinse in PBS. Heat inactivate endogenous alkaline phosphatase activity by incubation in PBS at 70-75oC for 30 minutes. Rinse in PBS at RT
技术资料暂无技术资料 索取技术资料











