相关产品推荐更多 >
万千商家帮你免费找货
0 人在求购买到急需产品
- 详细信息
- 文献和实验
- 技术资料
- 免疫原:
Prokaryotic recombinant protein corresponding to 313 amino acids of the human multiple myeloma oncogene 1 (MUM-1) molecule.
- 亚型:
IgG1
- 形态:
Liquid
- 保存条件:
Store as concentrated solution. Centrifuge briefly prior to opening vial. Store at 4ºC. DO NOT FREEZE.
- 克隆性:
Monoclonal
- 标记物:
Unconjugated
- 适应物种:
Human
- 保质期:
12 months from the shipping date of the product.
- 抗原来源:
Human
- 目录编号:
GTX01894
- 级别:
Primary Antibodies
- 库存:
Available
- 供应商:
GeneTex
- 宿主:
Mouse
- 应用范围:
IHC-P
- 浓度:
Batch dependent (Please refer to the vial label for the specific concentration.)
- 靶点:
IRF4 / MUM1
- 抗体英文名:
IRF4 / MUM1 antibody [EAU32]
- 抗体名:
IRF4 / MUM1 抗体 [EAU32]
- 规格:
500 μl
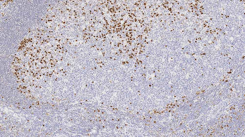
IHC-P analysis of human tonsil tissue using GTX01894 IRF4 / MUM1 antibody [EAU32]. Note nuclear staining of B cells showing lymphoplasmacytic differentiation.
风险提示:丁香通仅作为第三方平台,为商家信息发布提供平台空间。用户咨询产品时请注意保护个人信息及财产安全,合理判断,谨慎选购商品,商家和用户对交易行为负责。对于医疗器械类产品,请先查证核实企业经营资质和医疗器械产品注册证情况。
文献和实验in detail here. The first protocol is essentially a dual-pulldown assay employing Flag-tagged DNMT3A or antibody of choice for an endogenous protein and 5' biotin linked antisense RNA (Figure 1a), while the second protocol is a triple pulldown assay which essentially expands
ChIP protocol for X. laevis Lens1/FoxE3 enhancer
to agarose beads in chromatin samples prior to antibody reaction. (17) Pellet the agarose beads by brief centrifugation (3000-5000 x g (ex. 6600 rpm at Eppendorf table top centrifuge) for 1 min)). (18) Collect supernatants into new tubes. Remove
secondary antibody review -- data from 99 publications
cytometry used as a control to detect cell responses targeted antigen 7 Alexa Fluor 488 7 Cy3 8 goat IgG Alexa Fluor 488 1:2000 detect antibody binding in human embryonic kidney 293T cells Invitrogen 9 donkey
技术资料暂无技术资料 索取技术资料







![CFDP1 antibody [GT9612]](https://img1.dxycdn.com/2022/0329/255/2404176884475020453-14.jpg!wh200)

![p70 S6K antibody [5G9]](https://img1.dxycdn.com/2022/0328/056/9211613219023500453-14.jpg!wh200)

