相关产品推荐更多 >
万千商家帮你免费找货
0 人在求购买到急需产品
- 详细信息
- 文献和实验
- 技术资料
- 免疫原:
Purified recombinant fragment of human CDK9 expressed in E. Coli.
- 亚型:
IgG1
- 形态:
Liquid
- 保存条件:
Store as concentrated solution. Centrifuge briefly prior to opening vial. For short-term storage (1-2 weeks), store at 4ºC. For long-term storage, aliquot and store at -20ºC or below. Avoid multiple freeze-thaw cycles.
- 克隆性:
Monoclonal
- 标记物:
Unconjugated
- 适应物种:
Human
- 保质期:
12 months from the shipping date of the product.
- 抗原来源:
Human
- 目录编号:
GTX60442
- 级别:
Primary Antibodies
- 库存:
Available
- 供应商:
GeneTex
- 宿主:
Mouse
- 应用范围:
WB, IHC-P, ELISA
- 靶点:
CDK9
- 抗体英文名:
CDK9 antibody [1B5A7]
- 抗体名:
CDK9 抗体 [1B5A7]
- 规格:
100 μl
WB analysis of HEK293 (1) and CDK9(AA: 178-369)-hIgGFc transfected HEK293 (2) cell lysate using GTX60442 CDK9 antibody [1B5A7].
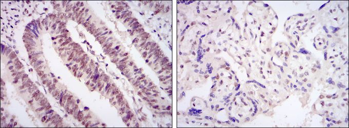
IHC-P analysis of rectum cancer tissue (left) and placenta tissue (right) using GTX60442 CDK9 antibody [1B5A7].
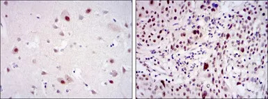
IHC-P analysis of human brain tissue (left) and esophageal cancer tissue (right) using GTX60442 CDK9 antibody [1B5A7].
ELISA analysis of antigen using GTX60442 CDK9 antibody [1B5A7].
Red : Control antigen 100ng
Purple : Antigen 10ng
Green : Antigen 50ng
Blue : Antigen 100ng
风险提示:丁香通仅作为第三方平台,为商家信息发布提供平台空间。用户咨询产品时请注意保护个人信息及财产安全,合理判断,谨慎选购商品,商家和用户对交易行为负责。对于医疗器械类产品,请先查证核实企业经营资质和医疗器械产品注册证情况。
文献和实验,EDTA 缓冲液适用于多数磷酸化酪氨酸特异性抗体,而柠檬酸盐缓冲液适用于其他多数抗体。每天都需制备新鲜的 1X 溶液。抗体:hospho-HER3/ErbB3 (Tyr1289) (D1B5) Rabbit mAb #2842样本:蜡包埋人类肺部肿瘤抗原修复缓冲液:柠檬酸盐缓冲液(左)或者 EDTA 缓冲液(右)煮沸装置载玻片在所推荐的缓冲液中加热煮沸一段时间后,才可引起抗原修复。该步骤通常在微波炉或高压锅中进行。虽然,一些研究人员也使用水浴锅,但是,因为该步骤中所选择的装置对染色存在积极或消极的影响
Thin-Layer Chromatographic Analysis of Human CYP3A-Catalyzed Testosterone 6-Hydroxylation
At least two cytochromes P450 belonging to the CYP3A subfamily may be expressed in adult human liver (1 ), CYP3A4 and CYP3A5. A third enzyme, CYP3A7, is expressed in human fetal liver (2 ). The CYP3A enzymes account for an estimated ~30
CD1a/CD1b/CD1c/CD1d分子 CD1a 常用单克隆抗体或代号:T6,Leu6 主要表达细胞:Thy,DCsub,LHC,Bsub T细胞 分子质量(kDa)和结构:gp49(IgSF) 功 能:与β2m组成MHCI类样分子,有抗原提呈功能 CD1b 常用单克隆抗体或代号:WM-25,4A7.6,NUT2 主要表达细胞:Thy,DC,LHC,Bsub T细胞 分子
技术资料暂无技术资料 索取技术资料





![Twist1 antibody [10E4E6]](https://img1.dxycdn.com/2022/0328/692/9448846618243500453-14.jpg!wh200)

![PDE1B antibody [10B10B12]](https://img1.dxycdn.com/2022/0328/910/2359468964413500453-14.jpg!wh200)
![CD146 antibody [MUC18/1130]](https://img1.dxycdn.com/2022/0328/950/8555981302410700453-14.jpg!wh200)


