相关产品推荐更多 >
万千商家帮你免费找货
0 人在求购买到急需产品
- 详细信息
- 文献和实验
- 技术资料
- 免疫原:
Peptide sequence around aa.241~245 (P-L-S-P-I) derived from human c-Jun.
- 亚型:
IgG
- 形态:
Liquid
- 保存条件:
Store as concentrated solution. Centrifuge briefly prior to opening vial. For short-term storage (1-2 weeks), store at 4ºC. For long-term storage, aliquot and store at -20ºC or below. Avoid multiple freeze-thaw cycles.
- 克隆性:
Polyclonal
- 标记物:
Unconjugated
- 适应物种:
Human
- 保质期:
12 months from the shipping date of the product.
- 抗原来源:
Human
- 目录编号:
GTX50385
- 级别:
Primary Antibodies
- 库存:
Available
- 供应商:
GeneTex
- 宿主:
Rabbit
- 应用范围:
WB, IHC-P
- 浓度:
1 mg/ml (Please refer to the vial label for the specific concentration.)
- 靶点:
c-Jun
- 抗体英文名:
c-Jun antibody
- 抗体名:
c-Jun 抗体
- 规格:
100 μl
WB analysis of extracts from 293 cells using GTX50385 c-Jun antibody.
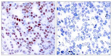
IHC-P analysis of human breast carcinoma tissue using GTX50385 c-Jun antibody.
Left : Primary antibody
Right : Primary antibody pre-incubated with the antigen specific peptide
风险提示:丁香通仅作为第三方平台,为商家信息发布提供平台空间。用户咨询产品时请注意保护个人信息及财产安全,合理判断,谨慎选购商品,商家和用户对交易行为负责。对于医疗器械类产品,请先查证核实企业经营资质和医疗器械产品注册证情况。
文献和实验48126 http://www.univ-bio.com/Products.asp 我在优宁维的网站上查到很多关于C-JUN的抗体,磷酸化又分很多种,不知道如何选择,有知道的战友指点一下,谢谢! 我要准备做WB,IHC. biolinkphilic 我觉得如果真想在这家公司购买,咨询该公司就可以了。 其实专业的抗体网站看看就知道应该要了解那些信息。如Abcam、santa
Generation of Antibody Molecules Through Antibody Engineering
been overcome to a large extent using genetic-engineering techniques to produce chimeric mouse/human and completely human antibodies. Such an approach is particularly suitable because of the domain structure of the antibody molecule ( 2 ), where functional
Cortical Neurons Culture to Study c-Jun N-Terminal Kinase Signaling Pathway
Excitotoxicity via N -methyl-d -aspartate receptors (NMDA-r) is a key mechanism of neurodegeneration following ischemia and other brain pathologies. We here describe the use of a fast, reliable and easily
技术资料暂无技术资料 索取技术资料











