相关产品推荐更多 >
万千商家帮你免费找货
0 人在求购买到急需产品
- 详细信息
- 文献和实验
- 技术资料
- 免疫原:
Purified recombinant fragment of human CDK1 expressed in E. Coli.
- 亚型:
IgG1
- 形态:
Liquid
- 保存条件:
Store as concentrated solution. Centrifuge briefly prior to opening vial. For short-term storage (1-2 weeks), store at 4ºC. For long-term storage, aliquot and store at -20ºC or below. Avoid multiple freeze-thaw cycles.
- 克隆性:
Monoclonal
- 标记物:
Unconjugated
- 适应物种:
Human, Mouse, Rat, Monkey
- 保质期:
12 months from the shipping date of the product.
- 抗原来源:
Human
- 目录编号:
GTX60411
- 级别:
Primary Antibodies
- 库存:
Available
- 供应商:
GeneTex
- 宿主:
Mouse
- 应用范围:
WB, ELISA
- 靶点:
CDC2
- 抗体英文名:
CDC2 antibody [5A6]
- 抗体名:
CDC2 抗体 [5A6]
- 规格:
100 μl
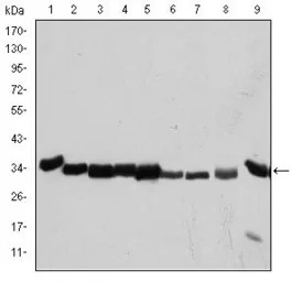
WB analysis of Hela (1), Jurkat (2), K562 (3), A431 (4), MCF-7 (5), RAW264.7 (6), NIH/3T3 (7), PC-12 (8), and Cos7 (9) cell lysate using GTX60411 CDC2 antibody [5A6].
ELISA analysis of antigen using GTX60411 CDC2 antibody [5A6].
Red : Control antigen 100ng
Purple : Antigen 10ng
Green : Antigen 50ng
Blue : Antigen 100ng
风险提示:丁香通仅作为第三方平台,为商家信息发布提供平台空间。用户咨询产品时请注意保护个人信息及财产安全,合理判断,谨慎选购商品,商家和用户对交易行为负责。对于医疗器械类产品,请先查证核实企业经营资质和医疗器械产品注册证情况。
文献和实验CD81 分子 CD81 常用单克隆抗体或代号: ID6,5A6;(TAPA- 1) 主要表达细胞: 广泛,包括B,T,M [B] 分子质量(kDa)和结构: p26(TM4-SF) 功 能: 增殖抗体靶抗原,与CD19、CD21相连,组成B细胞复合体 CD81 Aka Target of an Anti-Proliferative Antibody (TAPA1)
secondary antibody were purchased from GIBCO-BRL. Phosphospecific rabbit polyclonal antibodies against 180Thr and 182Tyr dual-phosphorylated p38, against total p38 (phosphorylation state independent), against 204Tyr-phosphorylated ERK1/2 and against total
【资源】全面归类网址:毕赤酵母表达各种来源蛋白(细菌,真菌,植物,人类等)
allergen Bos d2S, mg amounts, native[160]Mammalian α2,6-sialyltransferaseI and S, active401Mouse ABC transportersI, active513Mouse activin type II receptorS, 5 mg/L, active395Mouse single chain antibody Fv fragments (sFv)S, 250 mg/L, α-MF, PHO1[169, 365
技术资料暂无技术资料 索取技术资料







![HLA-G antibody [87G] (PE)](https://img1.dxycdn.com/2022/0328/541/9412455214916500453-14.jpg!wh200)
![SYNGAP1 antibody [HL2292]](https://custom.dxycdn.com/trademd/upload/pic/2013/11/12/A1383891150.jpg!small.t.1)
![CKLFSF5 antibody [C2C3], C-term](https://img1.dxycdn.com/2022/0328/910/6761657655537200453-14.jpg!wh200)

