相关产品推荐更多 >
万千商家帮你免费找货
0 人在求购买到急需产品
- 详细信息
- 技术资料
- 免疫原:
Recombinant fusion protein containing a sequence corresponding to amino acids 1-140 of human TFRC (NP_001121620.1).
- 亚型:
IgG
- 形态:
Liquid
- 保存条件:
Store as concentrated solution. Centrifuge briefly prior to opening vial. For short-term storage (1-2 weeks), store at 4ºC. For long-term storage, aliquot and store at -20ºC or below. Avoid multiple freeze-thaw cycles.
- 克隆性:
Polyclonal
- 标记物:
Unconjugated
- 适应物种:
Human, Mouse, Rat
- 保质期:
12 months from the shipping date of the product.
- 抗原来源:
Human
- 目录编号:
GTX33080
- 级别:
Primary Antibodies
- 库存:
Available
- 供应商:
GeneTex
- 宿主:
Rabbit
- 应用范围:
WB, ICC/IF, IHC-P, IP
- 浓度:
Batch dependent (Please refer to the vial label for the specific concentration.)
- 靶点:
CD71
- 抗体英文名:
CD71 antibody
- 抗体名:
CD71 抗体
- 规格:
100 μl
IP analysis of Jurkat cell lysate using GTX33080 CD71 antibody.
Antibody amount : 3μg / 200μg lysate
Dilution : 1:1000
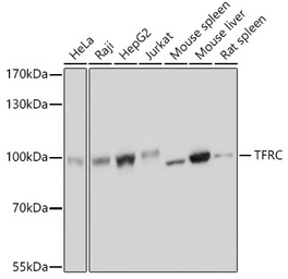
WB analysis of various sample lysates using GTX33080 CD71 antibody.
Dilution : 1:3000
Loading : 25μg per lane
ICC/IF analysis of C6 cells using GTX33080 CD71 antibody.
Blue : DAPI
Dilution : 1:100
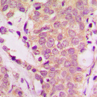
IHC-P analysis of human liver cancer tissue using GTX33080 CD71 antibody.
Dilution : 1:100
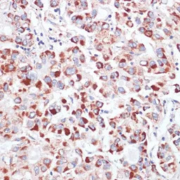
IHC-P analysis of human colon carcinoma tissue using GTX33080 CD71 antibody.
Dilution : 1:100
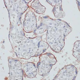
IHC-P analysis of human placenta tissue using GTX33080 CD71 antibody.
Dilution : 1:100
ICC/IF analysis of U2OS cells using GTX33080 CD71 antibody.
Blue : DAPI
Dilution : 1:100
ICC/IF analysis of L929 cells using GTX33080 CD71 antibody.
Blue : DAPI
Dilution : 1:100
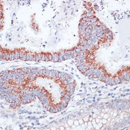
IHC-P analysis of rat kidney tissue using GTX33080 CD71 antibody.
Dilution : 1:100
风险提示:丁香通仅作为第三方平台,为商家信息发布提供平台空间。用户咨询产品时请注意保护个人信息及财产安全,合理判断,谨慎选购商品,商家和用户对交易行为负责。对于医疗器械类产品,请先查证核实企业经营资质和医疗器械产品注册证情况。
技术资料暂无技术资料 索取技术资料





![RNase L antibody [HL2340]](https://custom.dxycdn.com/trademd/upload/pic/2013/11/12/A1383891150.jpg!small.t.1)


![TLR8 antibody [44C143]](https://img1.dxycdn.com/2022/0328/597/5599447404493300453-14.jpg!wh200)

