相关产品推荐更多 >
万千商家帮你免费找货
0 人在求购买到急需产品
- 详细信息
- 技术资料
- 免疫原:
Purified recombinant NC16a-domain of collagen XVII. The epitope has been mapped to aa545-557 (PMID: 19158842).
- 亚型:
IgG1
- 形态:
Liquid
- 保存条件:
Store as concentrated solution. Centrifuge briefly prior to opening vial. For short-term storage (1-2 weeks), store at 4ºC. For long-term storage, aliquot and store at -20ºC or below. Avoid multiple freeze-thaw cycles.
- 克隆性:
Monoclonal
- 标记物:
Unconjugated
- 适应物种:
Human
- 保质期:
12 months from the shipping date of the product.
- 抗原来源:
Human
- 目录编号:
GTX54647
- 级别:
Primary Antibodies
- 库存:
Available
- 供应商:
GeneTex
- 宿主:
Mouse
- 应用范围:
WB, IHC-P, IHC-Fr, ELISA
- 浓度:
Batch dependent (Please refer to the vial label for the specific concentration.)
- 靶点:
This antibody recognizes the NC16a-domain of collagen XVII (aa 545-557). It does not cross-react with mouse and rat skin based on internal testing; other species not tested.
- 抗体英文名:
COL17A1 antibody [NC16a-3]
- 抗体名:
COL17A1 抗体 [NC16a-3]
- 规格:
250 μg
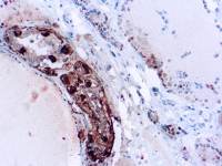
IHC-Fr analysis of normal human skin (left) and skin tissue in absence of collagenXVII (middle) from patients with inherited skin-blistering disorders using GTX54647 COL17A1 antibody [NC16a-3]. Another skin tissue in absence of laminin 5 (right) was stained with a rabbit anti-laminin 5 antibody.
WB analysis of keratinocyte extract (E) and keratinocyte medium (M) using GTX54647 COL17A1 antibody [NC16a-3]. This antibody detects collagen XVII and its 120kDa shed ectodomain.
风险提示:丁香通仅作为第三方平台,为商家信息发布提供平台空间。用户咨询产品时请注意保护个人信息及财产安全,合理判断,谨慎选购商品,商家和用户对交易行为负责。对于医疗器械类产品,请先查证核实企业经营资质和医疗器械产品注册证情况。
技术资料暂无技术资料 索取技术资料









![Anillin antibody [C3], C-term](https://img1.dxycdn.com/2022/0328/900/6440228086396200453-14.jpg!wh200)

