相关产品推荐更多 >
万千商家帮你免费找货
0 人在求购买到急需产品
- 详细信息
- 文献和实验
- 技术资料
- 免疫原:
Recombinant fusion protein containing a sequence corresponding to amino acids 1-260 of human CA3 (NP_005172.1).
- 亚型:
IgG
- 形态:
Liquid
- 保存条件:
Store as concentrated solution. Centrifuge briefly prior to opening vial. For short-term storage (1-2 weeks), store at 4ºC. For long-term storage, aliquot and store at -20ºC or below. Avoid multiple freeze-thaw cycles.
- 克隆性:
Polyclonal
- 标记物:
Unconjugated
- 适应物种:
Mouse, Rat
- 保质期:
12 months from the shipping date of the product.
- 抗原来源:
Human
- 目录编号:
GTX53907
- 级别:
Primary Antibodies
- 库存:
Available
- 供应商:
GeneTex
- 宿主:
Rabbit
- 应用范围:
WB, IHC-P
- 浓度:
Batch dependent (Please refer to the vial label for the specific concentration.)
- 靶点:
Carbonic Anhydrase III
- 抗体英文名:
Carbonic Anhydrase III antibody
- 抗体名:
Carbonic Anhydrase III 抗体
- 规格:
100 μl
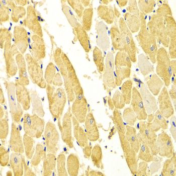
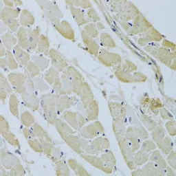
IHC-P analysis of rat heart tissue using GTX53907 Carbonic Anhydrase III antibody.
Dilution : 1:200
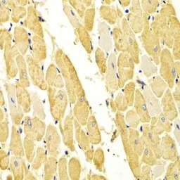
IHC-P analysis of rat heart tissue using GTX53907 Carbonic Anhydrase III antibody.
Dilution : 1:100
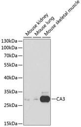
WB analysis of various sample lysates using GTX53907 Carbonic Anhydrase III antibody.
Dilution : 1:1000
Loading : 25μg per lane
风险提示:丁香通仅作为第三方平台,为商家信息发布提供平台空间。用户咨询产品时请注意保护个人信息及财产安全,合理判断,谨慎选购商品,商家和用户对交易行为负责。对于医疗器械类产品,请先查证核实企业经营资质和医疗器械产品注册证情况。
文献和实验碳酸酐酶 carbonic anhydrase carbonatehydrolyase
为催化 H2 CO3 CO2 + H2 O反应的酶,是锌蛋白质(动物原性), EC 4. 2. 1. 1,存在于脊椎动物的红血球和许多动物的各种组织以及植物的叶中。它在红血球中具有对碳酸和重碳酸离子的迅速转换的作用。在胃中对盐酸的分泌起作用,一般来说,具有调节体液 pH的作用。另外认为与植物的光合成有关系。
大鼠III型胶原(Collagen III)ELISA试剂盒 说明书
上海西唐生物科技有限公司 021-55229872, 65333639 www.westang.com 大鼠 III 型胶原 (Collagen III)ELISA 试剂盒 ( 用于血清、血浆、细胞培养上清液和其它生物体液内 ) 原理 本实验采用双抗体夹心 ABC-ELISA 法。用抗大鼠 Collagen III 单抗包被于酶标板上,标准品和样品中的 Collagen III 与单抗结合,加入
小鼠III型胶原蛋白(Collagen III)ELISA试剂盒 说明书
上海西唐生物科技有限公司 021-55229872, 65333639 www.westang.com 小鼠III 型胶原蛋白 ( Collagen III )ELISA 试剂盒 ( 用于血清、血浆、细胞培养上清液和其它生物体液内 ) 原理 本实验采用双抗体夹心 ABC-ELISA 法。用抗小鼠 Collagen III 单抗包被于酶标板上,标准品和样品中的
技术资料暂无技术资料 索取技术资料








![Varicella Zoster virus gH antibody [OAKK39]](https://img1.dxycdn.com/2022/0324/987/0977929341124239353-14.jpg!wh200)
![PTP1B antibody [4F8F11]](https://custom.dxycdn.com/trademd/upload/pic/2013/11/12/A1383891150.jpg!small.t.1)

