相关产品推荐更多 >
万千商家帮你免费找货
0 人在求购买到急需产品
- 详细信息
- 文献和实验
- 技术资料
- 免疫原:
Recombinant fragment of extracellular domain of human Insulin Receptor alpha
- 亚型:
IgG
- 形态:
Liquid
- 保存条件:
Store as concentrated solution. Centrifuge briefly prior to opening vial. Store at 4ºC.
- 克隆性:
Monoclonal
- 标记物:
Unconjugated
- 适应物种:
Human
- 保质期:
12 months from the shipping date of the product.
- 抗原来源:
Human
- 目录编号:
GTX02652
- 级别:
Primary Antibodies
- 库存:
Available
- 供应商:
GeneTex
- 宿主:
Rabbit
- 应用范围:
IHC-P
- 浓度:
200 μg/ml (Please refer to the vial label for the specific concentration.)
- 靶点:
Insulin Receptor alpha
- 抗体英文名:
Insulin Receptor alpha antibody [INSR/2277R]
- 抗体名:
Insulin Receptor alpha 抗体 [INSR/2277R]
- 规格:
100 μg
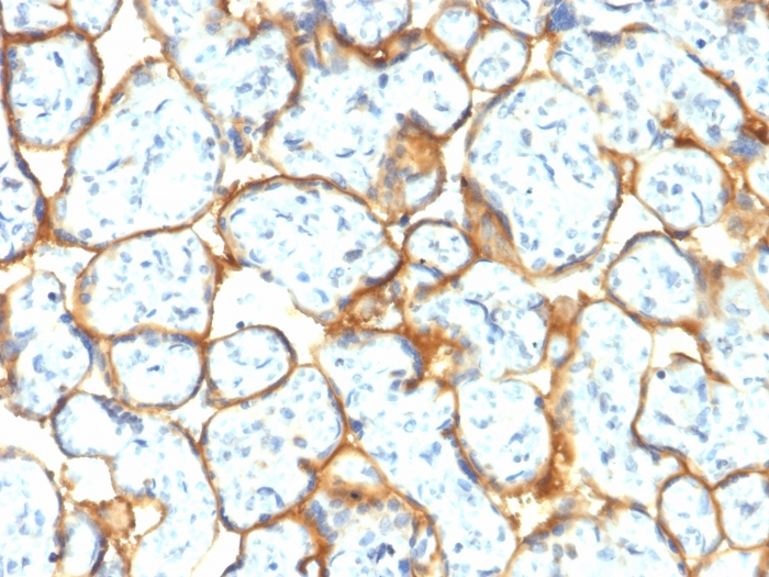
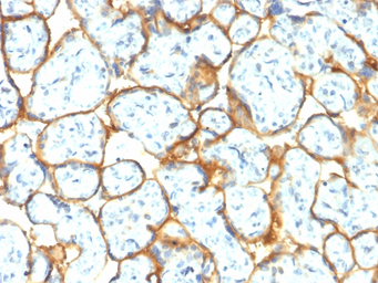
IHC-P analysis of human placenta tissue section using GTX02652 Insulin Receptor alpha antibody [INSR/2277R].
风险提示:丁香通仅作为第三方平台,为商家信息发布提供平台空间。用户咨询产品时请注意保护个人信息及财产安全,合理判断,谨慎选购商品,商家和用户对交易行为负责。对于医疗器械类产品,请先查证核实企业经营资质和医疗器械产品注册证情况。
文献和实验secondary antibody review -- data from 99 publications
cytometry used as a control to detect cell responses targeted antigen 7 Alexa Fluor 488 7 Cy3 8 goat IgG Alexa Fluor 488 1:2000 detect antibody binding in human embryonic kidney 293T cells Invitrogen 9 donkey
antibody是一家专业化生产和销售细胞信号通路磷酸化抗体的公司,公司产品800余种,覆盖AKT,NF-KB,MAPK,insulin,receptor, kinase,adaptor等方面,每种抗体都经过严格的WB,IHC,IF验证,价格实惠,欢迎查询,www.signalwayantibody.com,采购信息请联系我 夏先生,13655183492,xsk_bio@163.com,MSN: XSK_BIO@163.COM. 同时我们提供细胞信号通路的抑制剂,细胞因子,WB
PriCells: Introduction of Isolation and Culture of Human Alveolar Epithelial Cells
;2-adrenergic receptor, insulin-like growth factor receptor-2 (IGFR-2), γ-glutamyl transferase (γ-GT), AQP-4, and VAMP-2, a membrane protein associated with caveolae. Whether or not these molecules are expressed in ATI cells exclusively
技术资料暂无技术资料 索取技术资料





![Cytokeratin 8 antibody [K8.8]](https://img1.dxycdn.com/2022/0328/942/6587265359030700453-14.jpg!wh200)

![pan Cytokeratin antibody [MSVA-000R] HistoMAX](https://custom.dxycdn.com/trademd/upload/pic/2013/11/12/A1383891150.jpg!small.t.1)


