相关产品推荐更多 >
万千商家帮你免费找货
0 人在求购买到急需产品
- 详细信息
- 文献和实验
- 技术资料
- 免疫原:
Peptide sequence around phosphorylation site of serine 6 (P-Q-S(p)-D-P) derived from human p53.
- 亚型:
IgG
- 形态:
Liquid
- 保存条件:
Store as concentrated solution. Centrifuge briefly prior to opening vial. For short-term storage (1-2 weeks), store at 4ºC. For long-term storage, aliquot and store at -20ºC or below. Avoid multiple freeze-thaw cycles.
- 克隆性:
Polyclonal
- 标记物:
Unconjugated
- 适应物种:
Human
- 保质期:
12 months from the shipping date of the product.
- 抗原来源:
Human
- 目录编号:
GTX50157
- 级别:
Primary Antibodies
- 库存:
Available
- 供应商:
GeneTex
- 宿主:
Rabbit
- 应用范围:
WB, IHC-P
- 浓度:
1 mg/ml (Please refer to the vial label for the specific concentration.)
- 靶点:
p53 (phospho Ser6)
- 抗体英文名:
p53 (phospho Ser6) antibody
- 抗体名:
p53 (phospho Ser6) 抗体
- 规格:
100 μl
WB analysis of extracts from HT-29 and HeLa cells untreated or treated with UV using GTX50157 p53 (phospho Ser6) antibody.
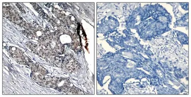
IHC-P analysis of human breast carcinoma tissue using GTX50157 p53 (phospho Ser6) antibody.
Left : Primary antibody
Right : Primary antibody pre-incubated with the antigen specific peptide
风险提示:丁香通仅作为第三方平台,为商家信息发布提供平台空间。用户咨询产品时请注意保护个人信息及财产安全,合理判断,谨慎选购商品,商家和用户对交易行为负责。对于医疗器械类产品,请先查证核实企业经营资质和医疗器械产品注册证情况。
文献和实验Generation and Application of Phospho-specific Antibodies for p53 and pRB
of phosphoproteins. We have improved methods for generation of phosphorylation site-specific antibodies and have successfully obtained antibodies for the analysis of most of the phosphorylation sites on p53 and RB proteins.
Using Phospho‐Motif Antibodies to Determine Kinase Substrates
comprising both the phosphorylated residue and the surrounding residues that determine kinase specificity, with degenerate residues taking up the remaining positions. Currently, several categories of phospho?motif antibody are commercially available
的复制与修复;如果修复失败,p53蛋白即启动程序性死亡过程诱导细胞自杀,阻止有癌变倾向突变细胞的生成,从而防止细胞恶变。 但是,当P53发生磷酸化之后,不单失去野生型P53抑制肿瘤增殖的作用,而且突变本身又使该基因具备癌基因功能。突变的P53蛋白与野生型P53蛋白相结合,形成的这种寡聚蛋白不能结合DNA,使得一些癌变基因转录失控导致肿瘤发生。 例如,p53可以被ATM,ATR和DNA-PK等在Ser15和Ser37位磷酸化,从而抑制p53的泛素化降解,促进p53
技术资料暂无技术资料 索取技术资料











