相关产品推荐更多 >
万千商家帮你免费找货
0 人在求购买到急需产品
- 详细信息
- 文献和实验
- 技术资料
- 免疫原:
Synthetic 16 amino acid peptide from 3rd cytoplasmic domain of human DRD2.
- 亚型:
IgG
- 形态:
Liquid
- 保存条件:
Store as concentrated solution. Centrifuge briefly prior to opening vial. For short-term storage (1-2 weeks), store at 4ºC. For long-term storage, aliquot and store at -20ºC or below. Avoid multiple freeze-thaw cycles.
- 克隆性:
Polyclonal
- 标记物:
Unconjugated
- 适应物种:
Human, Rabbit, Bovine, Dog, Bat, Horse
- 保质期:
12 months from the shipping date of the product.
- 抗原来源:
Human
- 目录编号:
GTX71747
- 级别:
Primary Antibodies
- 库存:
Available
- 供应商:
GeneTex
- 宿主:
Rabbit
- 应用范围:
IHC-P
- 浓度:
1 mg/ml (Please refer to the vial label for the specific concentration.)
- 靶点:
Dopamine Receptor D2
- 抗体英文名:
Dopamine Receptor D2 antibody
- 抗体名:
Dopamine Receptor D2 抗体
- 规格:
25 μg
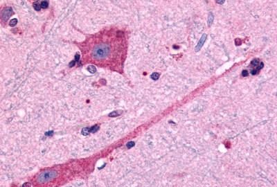
IHC-P analysis of human brain, neurons and glia tissue using GTX71747 Dopamine Receptor D2 antibody.
Antigen retrieval : Heat-induced antigen retrieval
风险提示:丁香通仅作为第三方平台,为商家信息发布提供平台空间。用户咨询产品时请注意保护个人信息及财产安全,合理判断,谨慎选购商品,商家和用户对交易行为负责。对于医疗器械类产品,请先查证核实企业经营资质和医疗器械产品注册证情况。
文献和实验Protein Kinase C as a Modulator of 5- HT1A and Dopamine- D2 Receptor Signaling
Since its identification as a family of protein kinases that is activated in the presence of calcium, phosphatidyl serine, and diacylglycerol (DAG), protein kinase C (PKC) has been regarded as one of the early steps in receptor signaling
Alterations in the activity of the dopamine D2 receptor (D2R) have been implicated in several neurological and psychiatric disorders, including schizophrenia, Parkinson’s disease, Huntington’s disease, Tourette syndrome, attention-deficit
all of the components of a signaling and a regulatory network within cells for various molecules including membrane-spanning receptors. The D2 dopamine receptor (D2R) is a primary mediator of dopamine transmission in the brain. Signaling through D2Rs has been linked
技术资料暂无技术资料 索取技术资料










