相关产品推荐更多 >
万千商家帮你免费找货
0 人在求购买到急需产品
- 详细信息
- 文献和实验
- 技术资料
- 免疫原:
Peptide sequence around phosphorylation site of serine 190 (G-L-S(p)-P-A) derived from human Progesterone Receptor.
- 亚型:
IgG
- 形态:
Liquid
- 保存条件:
Store as concentrated solution. Centrifuge briefly prior to opening vial. For short-term storage (1-2 weeks), store at 4ºC. For long-term storage, aliquot and store at -20ºC or below. Avoid multiple freeze-thaw cycles.
- 克隆性:
Polyclonal
- 标记物:
Unconjugated
- 适应物种:
Human
- 保质期:
12 months from the shipping date of the product.
- 抗原来源:
Human
- 目录编号:
GTX50141
- 级别:
Primary Antibodies
- 库存:
Available
- 供应商:
GeneTex
- 宿主:
Rabbit
- 应用范围:
WB, ICC/IF, IHC-P
- 浓度:
1 mg/ml (Please refer to the vial label for the specific concentration.)
- 靶点:
Progesterone Receptor (phospho Ser190)
- 抗体英文名:
Progesterone Receptor (phospho Ser190) antibody
- 抗体名:
Progesterone Receptor (phospho Ser190) 抗体
- 规格:
100 μl
WB analysis of extracts from SKOV3 cells untreated (lane 1) or treated with EGF (lane 2) using GTX50141 Progesterone Receptor (phospho Ser190) antibody.
ICC/IF analysis of methanol-fixed MCF cells using GTX50141 Progesterone Receptor (phospho Ser190) antibody.
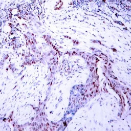
IHC-P analysis of human breast carcinoma tissue using GTX50141 Progesterone Receptor (phospho Ser190) antibody.
风险提示:丁香通仅作为第三方平台,为商家信息发布提供平台空间。用户咨询产品时请注意保护个人信息及财产安全,合理判断,谨慎选购商品,商家和用户对交易行为负责。对于医疗器械类产品,请先查证核实企业经营资质和医疗器械产品注册证情况。
文献和实验Human progesterone receptor (PR) is a member of the nuclear hormone receptor superfamily of transcriptional activators, which share a common modular structure consisting of a C-terminal ligand-binding domain (LBD), a highly conserved
Several assays exist to determine receptor status in ovarian cancers, like radio ligand binding assays, biochemical analysis, and even Northern blotting. However, patholo- gists generally prefer to judge the presence of biological markers
), and causes activation of KOR. Agonist-activated KOR becomes a substrate for G protein receptor kinase (GRK), which phosphorylates the Ser369 residue at the C-terminal tail of the receptor in the first step in the β-Arrestin-dependent desensitization cascade
技术资料暂无技术资料 索取技术资料







![HCK antibody [3D12E10]](https://img1.dxycdn.com/2022/0328/979/8895416393677500453-14.jpg!wh200)



