相关产品推荐更多 >
万千商家帮你免费找货
0 人在求购买到急需产品
- 详细信息
- 文献和实验
- 技术资料
- 免疫原:
Recombinant fragment corresponding to the v4 domain of human CD44
- 亚型:
IgG
- 形态:
Liquid
- 保存条件:
Store as concentrated solution. Centrifuge briefly prior to opening vial. For short-term storage (1-2 weeks), store at 4ºC. For long-term storage, aliquot and store at -20ºC or below. Avoid multiple freeze-thaw cycles.
- 克隆性:
Monoclonal
- 标记物:
Unconjugated
- 适应物种:
Human
- 保质期:
12 months from the shipping date of the product.
- 抗原来源:
Human
- 目录编号:
GTX34521
- 级别:
Primary Antibodies
- 库存:
Available
- 供应商:
GeneTex
- 宿主:
Rabbit
- 应用范围:
IHC-P
- 浓度:
0.2 mg/ml (Please refer to the vial label for the specific concentration.)
- 靶点:
This antibody recognizes an epitope encoded by exon v4 on the variant portion of human CD44.
- 抗体英文名:
CD44v4 antibody [CD44v4/1700R]
- 抗体名:
CD44v4 抗体 [CD44v4/1700R]
- 规格:
100 μg
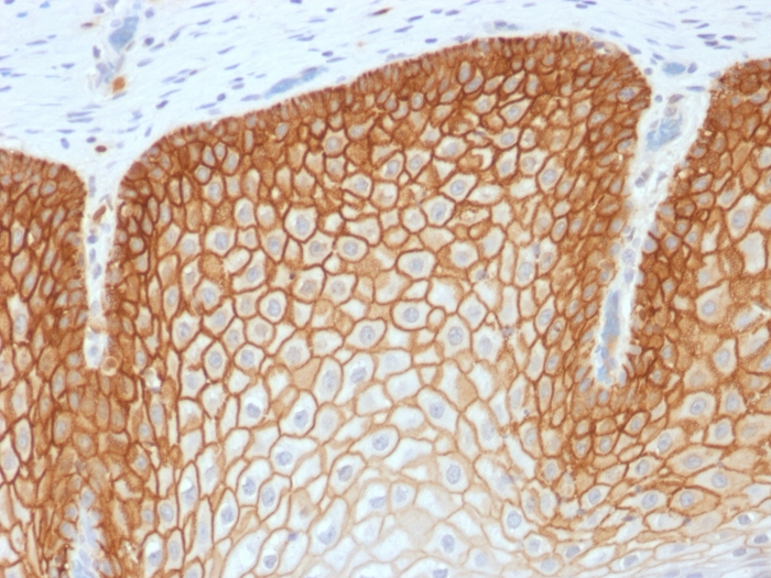
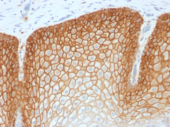
IHC-P analysis of human cervical squamous cell carcinoma tissue using GTX34521 CD44v4 antibody [CD44v4/1700R].
风险提示:丁香通仅作为第三方平台,为商家信息发布提供平台空间。用户咨询产品时请注意保护个人信息及财产安全,合理判断,谨慎选购商品,商家和用户对交易行为负责。对于医疗器械类产品,请先查证核实企业经营资质和医疗器械产品注册证情况。
文献和实验CD44/CD44R 分子 CD44 常用单克隆抗体或代号: GRHL1,Hermes,F10- 44- 2(Pgp- 1H- CAM,ECM- RⅢ) 主要表达细胞: Leu,上皮,Fb,RBC[AS] 分子质量(kDa)和结构: gp80- 95 功 能: 粘附ECM,T细胞活化,淋巴细胞归位受体,归位到HEV CD44R 常用单克隆抗体或代号: FM11,24
7.5, 150 mM NaCl, and1% (v/v) Triton X-100. 7. Suitable SDS-PAGE and transfer setup as in Section 2.4.1 . 8. Protein Sample Loading Dye (4×) as in Section 2.4.1 . 9. Nitrocellulose or PVDF membrane. 10. Mouse anti-β-catenin antibody (available
子:10个组成性外显子(C1一C10),转录片段存在于所有CD44转录产物中,此类分子称为标准CD44或CD44H~9个变异性拼接外显子(V外显子,V2~V10),介于第5个和第6个组成性外显子之间。V外显子可以多种不同的方式进行拼接,从而产生不同大小的转录产物称为CD44V,如CD44E(V8一V10)、CD44M(V4一V7)、CD44R(V9)、CD44V6、V7、CD44V6等。 CD44分子是一种高度糖基化的蛋白,其组成性外显子和V外显子的编码氨基酸序列含有
技术资料暂无技术资料 索取技术资料






![Livin antibody [1B10]](https://img1.dxycdn.com/2022/0328/610/8285460538188500453-14.jpg!wh200)
![pan Cytokeratin antibody [MNF116] (ready-to-use)](https://img1.dxycdn.com/2022/0328/778/2309922870134500453-14.jpg!wh200)
![alpha 1 Antitrypsin antibody [AAT/1379]](https://img1.dxycdn.com/2022/0328/720/0901344207089600453-14.jpg!wh200)


