相关产品推荐更多 >
万千商家帮你免费找货
0 人在求购买到急需产品
- 详细信息
- 文献和实验
- 技术资料
- 免疫原:
A synthetic peptide corresponding to a C-terminal region of Human HNRPUL1.
- 亚型:
IgG
- 形态:
Liquid
- 保存条件:
Store as concentrated solution. Centrifuge briefly prior to opening vial. For short-term storage (1-2 weeks), store at 4ºC. For long-term storage, aliquot and store at -20ºC or below. Avoid multiple freeze-thaw cycles.
- 克隆性:
Polyclonal
- 标记物:
Unconjugated
- 适应物种:
Human
- 保质期:
12 months from the shipping date of the product.
- 抗原来源:
Human
- 目录编号:
GTX49009
- 级别:
Primary Antibodies
- 库存:
Available
- 供应商:
GeneTex
- 宿主:
Rabbit
- 应用范围:
WB, ICC/IF, IHC-P, IP
- 浓度:
0.5-1 mg/ml (Please refer to the vial label for the specific concentration.)
- 靶点:
HNRPUL1
- 抗体英文名:
HNRPUL1 antibody, C-term
- 抗体名:
HNRPUL1 抗体, C-term
- 规格:
100 μg
IP analysis of K562 cells using GTX49009 hnRNPUL1 antibody at 1:4000. IP antibody: 2μg.
Lane 1: 5% Input (K562)
Lane 2: 5% Sup
Lane 3: IP with Normal IgG
Lane 4: IP with hn-RNPUL1 antibody
WB analysis of HeLa S3 cells using GTX49009 hnRNPUL1 antibody at 1:4000.
Lane 1: 5μg HeLa S3 cells
Lane 2: 10μg HeLa S3 cells
ICC/IF analysis of MCF-7 cells using GTX49009 hnRNPUL1 antibody at 1:200.
Blue : DAPI
Green : hnRNPUL1
WB analysis of Raji cells using GTX49009 hnRNPUL1 antibody at 0.25μg/ml.
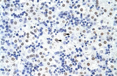
IHC-P analysis of human muscle tissue using GTX49009 hnRNPUL1 antibody at 4.0-8.0μg/ml.
IHC-P analysis of human liver tissue using GTX49009 hnRNPUL1 antibody at 4.0-8.0μg/ml.
IHC-P analysis of human heart tissue using GTX49009 hnRNPUL1 antibody at 4.0-8.0μg/ml.
风险提示:丁香通仅作为第三方平台,为商家信息发布提供平台空间。用户咨询产品时请注意保护个人信息及财产安全,合理判断,谨慎选购商品,商家和用户对交易行为负责。对于医疗器械类产品,请先查证核实企业经营资质和医疗器械产品注册证情况。
文献和实验于研究。 性能参数 LIST OF ANTBODY PRODUCTS AP8401a BDP1 N-term Antibody AP8408b MEG2 C-term Antibody AP8451b PPP3CA C-term Antibody AP8449b CTDSP1 C-term Antibody AP8408a MEG2 N-term Antibody AP8451a PPP3CA N-term Antibody AP8449
【资源】全面归类网址:毕赤酵母表达各种来源蛋白(细菌,真菌,植物,人类等)
europaea (olive tree) aeroallergen Ole e 1S, 60 mg/L, α-MF[115, 334, 391]Olea europaea 1,3-β-glucanase Ole e 9 C-term.seg.S, 100 mg/L, α-MF, active486Oleaceae sp. (lilac and privet) pollen allergensS, 30 mg/L, reactive481Pepper endo-b-1,4-glucanase cCel1S
技术资料暂无技术资料 索取技术资料










