相关产品推荐更多 >
万千商家帮你免费找货
0 人在求购买到急需产品
- 详细信息
- 文献和实验
- 技术资料
- 免疫原:
Water-soluble somatic antigens (WSSA) from Rhizopus arrhizus.
- 亚型:
IgM
- 形态:
Liquid
- 保存条件:
Store as concentrated solution. Centrifuge briefly prior to opening vial. For short-term storage (1-2 weeks), store at 4ºC. For long-term storage, aliquot and store at -20ºC or below. Avoid multiple freeze-thaw cycles.
- 克隆性:
Monoclonal
- 标记物:
Unconjugated
- 适应物种:
Rhizopus arrhizus
- 保质期:
12 months from the shipping date of the product.
- 抗原来源:
Rhizopus arrhizus
- 目录编号:
GTX39191
- 级别:
Primary Antibodies
- 库存:
Available
- 供应商:
GeneTex
- 宿主:
Mouse
- 应用范围:
WB, IHC-P, ELISA
- 浓度:
1.0 mg/ml (Please refer to the vial label for the specific concentration.)
- 靶点:
Clone WSSA-RA-1 does not bind to water-soluble somatic antigens (WSSA) of Aspergillus spp.
- 抗体英文名:
Rhizopus arrhizus antibody [WSSA-RA-1]
- 抗体名:
Rhizopus arrhizus 抗体 [WSSA-RA-1]
- 规格:
250 μg
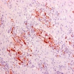
IHC analysis of renal tissue using GTX39191 Rhizopus arrhizus antibody [WSSA-RA-1].
风险提示:丁香通仅作为第三方平台,为商家信息发布提供平台空间。用户咨询产品时请注意保护个人信息及财产安全,合理判断,谨慎选购商品,商家和用户对交易行为负责。对于医疗器械类产品,请先查证核实企业经营资质和医疗器械产品注册证情况。
文献和实验Danion F et al., J Fungi (Basel) 2023 (PMID:36983475)
上海西唐生物科技有限公司 021-55229872, 65333639 www.westang.com 大鼠白介素 -1ra(IL-1ra)ELISA 试剂盒 ( 用于血清、血浆、细胞培养上清液和其它生物体液内 ) 原理 本实验采用双抗体夹心 ABC-ELISA 法。用抗大鼠 IL-1ra 单抗包被于酶标板上,标准品和样品中的 IL-1ra 与单抗结合,加入生物素化的抗大鼠 IL-1ra ,形成免疫
上海西唐生物科技有限公司 021-55229872, 65333639 www.westang.com 人白介素-1ra (IL-1ra)ELISA 试剂盒 ( 用于血清、血浆、细胞培养上清液和其它生物体液内 ) 原理 本实验采用双抗体夹心 ABC-ELISA 法。用抗人 IL-1ra 单抗包被于酶标板上,标准品和样品中的 IL-1ra与单抗结合,加入生物
Collagen Antibody Induced Arthritis
Rheumatoid arthritis (RA) is a polygenic and multifactorial disease. Many complex immunological and genetic interactions are involved in the final out come of the clinical disease. To understand the various disease pathways operating
技术资料暂无技术资料 索取技术资料









![CaMKIV antibody [8C5B8]](https://img1.dxycdn.com/2022/0328/407/0810393406013500453-14.jpg!wh200)

