相关产品推荐更多 >
万千商家帮你免费找货
0 人在求购买到急需产品
- 详细信息
- 文献和实验
- 技术资料
- 免疫原:
Recombinant fusion protein containing a sequence corresponding to amino acids 1-175 of human FTL (NP_000137.2).
- 亚型:
IgG
- 形态:
Liquid
- 保存条件:
Store as concentrated solution. Centrifuge briefly prior to opening vial. For short-term storage (1-2 weeks), store at 4ºC. For long-term storage, aliquot and store at -20ºC or below. Avoid multiple freeze-thaw cycles.
- 克隆性:
Polyclonal
- 标记物:
Unconjugated
- 适应物种:
Human, Mouse
- 保质期:
12 months from the shipping date of the product.
- 抗原来源:
Human
- 目录编号:
GTX55618
- 级别:
Primary Antibodies
- 库存:
Available
- 供应商:
GeneTex
- 宿主:
Rabbit
- 应用范围:
WB, ICC/IF, IHC-P
- 浓度:
Batch dependent (Please refer to the vial label for the specific concentration.)
- 靶点:
Ferritin Light Chain
- 抗体英文名:
Ferritin Light Chain antibody
- 抗体名:
Ferritin Light Chain 抗体
- 规格:
100 μl
WB analysis of various sample lysates using GTX55618 Ferritin Light Chain antibody.
Dilution : 1:1000
Loading : 25μg per lane
ICC/IF analysis of U2OS cells using GTX55618 Ferritin Light Chain antibody.
Blue : DAPI
Dilution : 1:100
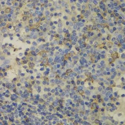
IHC-P analysis of human amygdalitis tissue using GTX55618 Ferritin Light Chain antibody.
Dilution : 1:100
ICC/IF analysis of L929 cells using GTX55618 Ferritin Light Chain antibody.
Blue : DAPI
Dilution : 1:100
风险提示:丁香通仅作为第三方平台,为商家信息发布提供平台空间。用户咨询产品时请注意保护个人信息及财产安全,合理判断,谨慎选购商品,商家和用户对交易行为负责。对于医疗器械类产品,请先查证核实企业经营资质和医疗器械产品注册证情况。
文献和实验Myosin Light Chain Preparation
in lyophilizer bottles and freeze in liquid nitrogen.Put on lyophilizer and leave until dry (overnight or over weekend). Day 5 22.Resuspend separate light chain pools 1 and 2 in a small volume of Dialyzing Solution G.Pipette into dialyzing tubing (size #20
Purification of Myosin Light Chain Kinase
RPM (4℃).Filter the supernatant through glass wool and discard the pellet (or save for light chain prep).Save 1 ml of supernatant (4℃)for assay.Add pepstatin and TLCK to final concentrations of 1 μg/ml and 40 Og/ml,respectively. Volume of supernatant
Structure and Properties of Human Immunoglobulin Light-Chain Dimers
Antibodies are multisubunit proteins, but unlike many other multisubunit proteins, it is possible to study structural and functional properties of an antibody subunit free of the others. Thus, antibodies are singular proteins
技术资料暂无技术资料 索取技术资料





![Alkaline Phosphatase (Tissue Non-Specific) antibody [ALPL/597]](https://img1.dxycdn.com/2022/0328/587/5277661353489600453-14.jpg!wh200)

![BrdU antibody [HL1111]](https://img1.dxycdn.com/2022/0329/163/9993232116698020453-14.jpg!wh200)
![Insulin antibody [IRDN/794]](https://img1.dxycdn.com/2022/0328/158/3215712667901700453-14.jpg!wh200)

