相关产品推荐更多 >
万千商家帮你免费找货
0 人在求购买到急需产品
- 详细信息
- 文献和实验
- 技术资料
- 免疫原:
Purified recombinant fragment of human Grp78 expressed in E. Coli.
- 亚型:
IgG1
- 形态:
Liquid
- 保存条件:
Store as concentrated solution. Centrifuge briefly prior to opening vial. For short-term storage (1-2 weeks), store at 4ºC. For long-term storage, aliquot and store at -20ºC or below. Avoid multiple freeze-thaw cycles.
- 克隆性:
Monoclonal
- 标记物:
Unconjugated
- 适应物种:
Human, Mouse
- 保质期:
12 months from the shipping date of the product.
- 抗原来源:
Human
- 目录编号:
GTX83287
- 级别:
Primary Antibodies
- 库存:
Available
- 供应商:
GeneTex
- 宿主:
Mouse
- 应用范围:
WB, IHC-P, ELISA
- 靶点:
Grp78
- 抗体英文名:
Grp78 antibody [4E3]
- 抗体名:
Grp78 抗体 [4E3]
- 规格:
100 μl
WB analysis of NIH3T3 (1), HeLa (2) and Jurkat (3) cell lysate using GTX83287 Grp78 antibody [4E3].
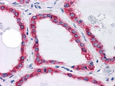
IHC-P analysis of human Thyroid tissue using GTX83287 Grp78 antibody [4E3].
风险提示:丁香通仅作为第三方平台,为商家信息发布提供平台空间。用户咨询产品时请注意保护个人信息及财产安全,合理判断,谨慎选购商品,商家和用户对交易行为负责。对于医疗器械类产品,请先查证核实企业经营资质和医疗器械产品注册证情况。
文献和实验人雌三醇 ( E3 )ELISA 试剂盒 ( 用于血清、血浆、细胞培养上清液和其它生物体液内 ) 原理 本实验采用双抗体夹心 ABC-ELISA 法。用抗人 E3 单抗包被于酶标板上,标准品和样品中的 E3与单抗结合,加入生物素化的抗人 E3 ,形成免疫复合物连接在板上,辣根过氧化物酶标记的 Streptavidin 与生物素结合,加入底物工作液显蓝色,最后加终止液硫酸,在 450nm 处测
Studies of the Ubiquitin Proteasome System
phosphatase inhibitors and 50 µM MG132 (or lactacystin) Anti‐E3 or anti‐substrate antibody Nondenaturing Triton X‐100 wash buffer (see recipe ) Tris‐buffered saline (TBS
1. Materials(1) Antibody 7E3, 2L sup grown in flasks, frozen and thawed overnight.(2) BioRad Affi-Gel Protein A MAPS II Buffers cat. #1530-6160 ($161.00)(3) 50 mM Tris pH7.8.(4) 40 g ammonium sulfate for every 100 ml Sup.(5) 4L 100 mM Tris/pH
技术资料暂无技术资料 索取技术资料










