相关产品推荐更多 >
万千商家帮你免费找货
0 人在求购买到急需产品
- 详细信息
- 文献和实验
- 技术资料
- 免疫原:
KLH conjugated synthetic peptide derived between 541-440 amino acids of human NRSF/REST
- 亚型:
IgG
- 形态:
Liquid
- 保存条件:
Store as concentrated solution. Centrifuge briefly prior to opening vial. For short-term storage (1-2 weeks), store at 4ºC. For long-term storage, aliquot and store at -20ºC or below. Avoid multiple freeze-thaw cycles.
- 克隆性:
Polyclonal
- 标记物:
Unconjugated
- 适应物种:
Human, Mouse, Rat, Zebrafish
- 保质期:
12 months from the shipping date of the product.
- 抗原来源:
Human
- 目录编号:
GTX37363
- 级别:
Primary Antibodies
- 库存:
Available
- 供应商:
GeneTex
- 宿主:
Rabbit
- 应用范围:
WB, IHC-P
- 浓度:
0.5 mg/ml (Please refer to the vial label for the specific concentration.)
- 靶点:
REST
- 抗体英文名:
REST antibody
- 抗体名:
REST 抗体
- 规格:
100 μg
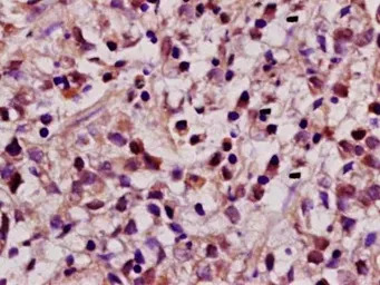
IHC-P analysis of human gastric tissue using GTX37363 REST antibody.
WB analysis of 30μg of rat brain (Lane 1) and human colon carcinoma (Lane 2) tissue lysates using GTX37363 REST antibody.
风险提示:丁香通仅作为第三方平台,为商家信息发布提供平台空间。用户咨询产品时请注意保护个人信息及财产安全,合理判断,谨慎选购商品,商家和用户对交易行为负责。对于医疗器械类产品,请先查证核实企业经营资质和医疗器械产品注册证情况。
文献和实验Casadei E et al., Chem Senses 2019 (PMID:31403159)
遗留体 rest body 指原生动物在多次分裂中,未用于任何子细胞的形成而被遗留下来的母细胞细胞质。不久即行裂解、消失。在遗留体普遍见于孢子虫网,在鞭毛虫网等也有其例。
A Simple Method for Site-Specific Mutagenesis that Leaves the Rest of the Template Unaltered
Site-directed mutagenesis is an important component of modern molecular biology. The use of this technique became necessary both in our studies of promoter function and in the analysis of protein structure-function relationships
Generation of Antibody Molecules Through Antibody Engineering
been overcome to a large extent using genetic-engineering techniques to produce chimeric mouse/human and completely human antibodies. Such an approach is particularly suitable because of the domain structure of the antibody molecule ( 2 ), where functional
技术资料暂无技术资料 索取技术资料











