相关产品推荐更多 >
万千商家帮你免费找货
0 人在求购买到急需产品
- 详细信息
- 文献和实验
- 技术资料
- 免疫原:
Recombinant fusion protein containing a sequence corresponding to amino acids 1-283 of human CCNC (NP_005181.2).
- 亚型:
IgG
- 形态:
Liquid
- 保存条件:
Store as concentrated solution. Centrifuge briefly prior to opening vial. For short-term storage (1-2 weeks), store at 4ºC. For long-term storage, aliquot and store at -20ºC or below. Avoid multiple freeze-thaw cycles.
- 克隆性:
Polyclonal
- 标记物:
Unconjugated
- 适应物种:
Human, Mouse, Rat
- 保质期:
12 months from the shipping date of the product.
- 抗原来源:
Human
- 目录编号:
GTX33132
- 级别:
Primary Antibodies
- 库存:
Available
- 供应商:
GeneTex
- 宿主:
Rabbit
- 应用范围:
WB, ICC/IF, IHC-P
- 浓度:
Batch dependent (Please refer to the vial label for the specific concentration.)
- 靶点:
Cyclin C
- 抗体英文名:
Cyclin C antibody
- 抗体名:
Cyclin C 抗体
- 规格:
100 μl
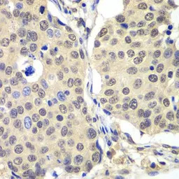
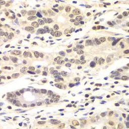
IHC-P analysis of human colon carcinoma tissue using GTX33132 Cyclin C antibody.
Dilution : 1:100
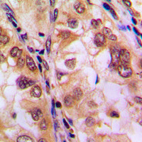
IHC-P analysis of human lung cancer tissue using GTX33132 Cyclin C antibody.
Dilution : 1:100
WB analysis of various sample lysates using GTX33132 Cyclin C antibody.
Dilution : 1:1000
Loading : 25μg per lane
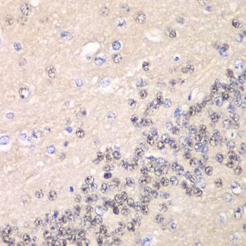
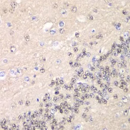
IHC-P analysis of rat brain tissue using GTX33132 Cyclin C antibody.
Dilution : 1:100
ICC/IF analysis of MCF7 cells using GTX33132 Cyclin C antibody.
Blue : DAPI
风险提示:丁香通仅作为第三方平台,为商家信息发布提供平台空间。用户咨询产品时请注意保护个人信息及财产安全,合理判断,谨慎选购商品,商家和用户对交易行为负责。对于医疗器械类产品,请先查证核实企业经营资质和医疗器械产品注册证情况。
文献和实验Immunodetection of cyclin D1 and D2/D3 using flow cytometry
that has been kept -20°C. Incubate the cells for at least two hours. Wash once with staining buffer and decant. Add the primary anti-cyclin antibody in a volume of 200 µ l. Incubate overnight at 4°C. Wash twice with cold cyclin staining buffer and add the Cy
Generation of Antibody Molecules Through Antibody Engineering
Twenty-five years ago, Georges K�hler and C�sar Milstein invented a means of cloning individual antibodies, thus opening up the way for tremendous advances in the fields of cell biology and clinical diagnostics ( 1 ). However, in spite
Measurement of Changes in Cdk2 and Cyclin O-Associated Kinase Activity in Apoptosis
and members of the Bcl-2 protein family. In this chapter, we describe methods for measuring changes in Cdk2 activity during apoptosis. In addition, we also show the details of the generation of an antibody able to immunoprecipitate the cyclin O complexes
技术资料暂无技术资料 索取技术资料





![Prostaglandin E Receptor EP2 antibody [GT1308]](https://img1.dxycdn.com/2022/0328/915/6535858889140800453-14.jpg!wh200)
![Desmin antibody [D33] (ready-to-use)](https://img1.dxycdn.com/2022/0328/372/6742493636668300453-14.jpg!wh200)
![PROX1 antibody [5G10]](https://img1.dxycdn.com/2022/0328/008/1789761973307500453-14.jpg!wh200)


