相关产品推荐更多 >
万千商家帮你免费找货
0 人在求购买到急需产品
- 详细信息
- 文献和实验
- 技术资料
- 免疫原:
Recombinant fusion protein containing a sequence corresponding to amino acids 52-352 of human MME (NP_009220.2).
- 亚型:
IgG
- 形态:
Liquid
- 保存条件:
Store as concentrated solution. Centrifuge briefly prior to opening vial. For short-term storage (1-2 weeks), store at 4ºC. For long-term storage, aliquot and store at -20ºC or below. Avoid multiple freeze-thaw cycles.
- 克隆性:
Polyclonal
- 标记物:
Unconjugated
- 适应物种:
Human, Mouse, Rat
- 保质期:
12 months from the shipping date of the product.
- 抗原来源:
Human
- 目录编号:
GTX32493
- 级别:
Primary Antibodies
- 库存:
Available
- 供应商:
GeneTex
- 宿主:
Rabbit
- 应用范围:
WB, IHC-P
- 浓度:
Batch dependent (Please refer to the vial label for the specific concentration.)
- 靶点:
CD10
- 抗体英文名:
CD10 antibody
- 抗体名:
CD10 抗体
- 规格:
100 μl
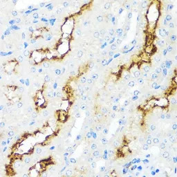
IHC-P analysis of mouse kidney tissue using GTX32493 CD10 antibody.
Dilution : 1:100
IHC-P analysis of human placenta tissue using GTX32493 CD10 antibody.
Blue : DAPI
Dilution : 1:100
WB analysis of various sample lysates using GTX32493 CD10 antibody.
Dilution : 1:1000
Loading : 25μg per lane
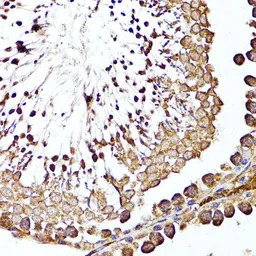
IHC-P analysis of rat testis tissue using GTX32493 CD10 antibody.
Dilution : 1:100
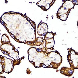
IHC-P analysis of human placenta tissue using GTX32493 CD10 antibody.
Dilution : 1:100
风险提示:丁香通仅作为第三方平台,为商家信息发布提供平台空间。用户咨询产品时请注意保护个人信息及财产安全,合理判断,谨慎选购商品,商家和用户对交易行为负责。对于医疗器械类产品,请先查证核实企业经营资质和医疗器械产品注册证情况。
文献和实验CD10 分子 CD10 常用单克隆抗体或代号:J5;(CALlA) 主要表达细胞:Pre-B,CAI。L,G[B] 分子质量(kDa)和结构:gp100(Ⅱ型膜分子) 功 能:为结合锌的金属蛋白酶,调节B细胞生长和增殖 CD10 Aka Common Acute Lymphoblastic Leukemia Antigen (CALLA), neutral endopeptidase 24.11, neprilysin
Generation of Antibody Molecules Through Antibody Engineering
been overcome to a large extent using genetic-engineering techniques to produce chimeric mouse/human and completely human antibodies. Such an approach is particularly suitable because of the domain structure of the antibody molecule ( 2 ), where functional
of patients with open heart surgery the expression of the membrane peptidases neprilysin/CD10 and aminopeptidase N/CD13, was determined on granulocytes in comparison to the monocytic HLA-DR expression. We used the QuantiBRITE™ flow cytometry
技术资料暂无技术资料 索取技术资料








![PKC theta (phospho Thr219) antibody [HL1157]](https://img1.dxycdn.com/2022/0329/795/2690812923898020453-14.jpg!wh200)
![EIF5A2 antibody [OTI6G7]](https://custom.dxycdn.com/trademd/upload/pic/2013/11/12/A1383891150.jpg!small.t.1)

