相关产品推荐更多 >
万千商家帮你免费找货
0 人在求购买到急需产品
- 详细信息
- 技术资料
- 免疫原:
Recombinant protein encompassing a sequence within the C-terminus region of human FAST. The exact sequence is proprietary.
- 亚型:
IgG
- 形态:
Liquid
- 保存条件:
Store as concentrated solution. Centrifuge briefly prior to opening vial. For short-term storage (1-2 weeks), store at 4ºC. For long-term storage, aliquot and store at -20ºC or below. Avoid multiple freeze-thaw cycles.
- 克隆性:
Polyclonal
- 标记物:
Unconjugated
- 适应物种:
Human, Mouse, Rat
- 保质期:
12 months from the shipping date of the product.
- 抗原来源:
Human
- 目录编号:
GTX102571
- 级别:
Primary Antibodies
- 库存:
Available
- 供应商:
GeneTex
- 宿主:
Rabbit
- 应用范围:
WB, ICC/IF, IHC-P
- 浓度:
6.56 mg/ml (Please refer to the vial label for the specific concentration.)
- 靶点:
FAST
- 抗体英文名:
FAST antibody
- 抗体名:
FAST 抗体
- 规格:
100 μl/25 μl
| 规格: | 100 μl | 产品价格: | ¥4000.0 |
|---|---|---|---|
| 规格: | 25 μl | 产品价格: | ¥1700.0 |
FAST antibody detects FAST protein at mitochondria by immunofluorescent analysis.
Sample: HeLa cells were fixed in ice-cold MeOH for 5 min.
Green: FAST protein stained by FAST antibody (GTX102571) diluted at 1:1000.
Blue: Hoechst 33342 staining.
Scale bar = 10 μm.
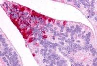
Immunohistochemical analysis of paraffin-embedded SCC15 xenograft, using FAST(GTX102571) antibody at 1:100 dilution.
Antigen Retrieval: Trilogy™ (EDTA based, pH 8.0) buffer, 15min
FAST antibody detects FASTK protein by Western blot analysis.
A. 30 μg PC-12 whole cell lysate/extract
7.5 % SDS-PAGE
FAST antibody (GTX102571) dilution: 1:1000
Sample (30 ug of whole cell lysate)
A:NIH-3T3
7.5% SDS PAGE
GTX102571 diluted at 1:1000
Immunofluorescence analysis of methanol-fixed HeLa, using FAST (GTX102571) antibody at 1:200 dilution.
FAST antibody detects FASTK protein by Western blot analysis.
A. 30 μg 293T whole cell lysate/extract
B. 30 μg A431 whole cell lysate/extract
C. 30 μg HeLa whole cell lysate/extract
D. 30 μg HepG2 whole cell lysate/extract
E. 30 μg A375 whole cell lysate/extract
7.5 % SDS-PAGE
FAST antibody (GTX102571) dilution: 1:1000
风险提示:丁香通仅作为第三方平台,为商家信息发布提供平台空间。用户咨询产品时请注意保护个人信息及财产安全,合理判断,谨慎选购商品,商家和用户对交易行为负责。对于医疗器械类产品,请先查证核实企业经营资质和医疗器械产品注册证情况。
技术资料暂无技术资料 索取技术资料






![NKX2.1 antibody [8G7G3/1] (ready-to-use)](https://img1.dxycdn.com/2022/0328/988/6689164044334500453-14.jpg!wh200)



